Visualization of Vascular Inflammation Using Diffusion-Weighted Whole-Body Imaging with Background Body Signal Suppression.

IF 0.6 Q4 PERIPHERAL VASCULAR DISEASE
Annals of vascular diseases Pub Date : 2025-01-01 Epub Date: 2025-08-19 DOI:10.3400/avd.cr.25-00030
Ayaka Ohno, Kenjuro Higo, Sawako Hiwatari, Takeko Kawabata, Hitoshi Nakashima, Mitsuru Ohishi
{"title":"Visualization of Vascular Inflammation Using Diffusion-Weighted Whole-Body Imaging with Background Body Signal Suppression.","authors":"Ayaka Ohno, Kenjuro Higo, Sawako Hiwatari, Takeko Kawabata, Hitoshi Nakashima, Mitsuru Ohishi","doi":"10.3400/avd.cr.25-00030","DOIUrl":null,"url":null,"abstract":"<p><p>Diffusion-weighted whole-body imaging with background body signal suppression has been used to diagnose fever of unknown origin. An 86-year-old man who underwent bile duct jejunostomy for bile duct cancer presented with fever (body temperature, 40°C). <i>Escherichia coli</i> was detected in blood cultures. Diffusion-weighted whole-body imaging with background body signal suppression revealed accumulation in the aortic arch. Therefore, infectious aortitis secondary to retrograde cholangitis was diagnosed. The patient was treated with antibiotics, and the aortic arch accumulation disappeared. Diffusion-weighted whole-body imaging with background body signal suppression is a useful modality for diagnosing vasculitis and assessing treatment effectiveness.</p>","PeriodicalId":7995,"journal":{"name":"Annals of vascular diseases","volume":"18 1","pages":""},"PeriodicalIF":0.6000,"publicationDate":"2025-01-01","publicationTypes":"Journal Article","fieldsOfStudy":null,"isOpenAccess":false,"openAccessPdf":"https://www.ncbi.nlm.nih.gov/pmc/articles/PMC12370543/pdf/","citationCount":"0","resultStr":null,"platform":"Semanticscholar","paperid":null,"PeriodicalName":"Annals of vascular diseases","FirstCategoryId":"1085","ListUrlMain":"https://doi.org/10.3400/avd.cr.25-00030","RegionNum":0,"RegionCategory":null,"ArticlePicture":[],"TitleCN":null,"AbstractTextCN":null,"PMCID":null,"EPubDate":"2025/8/19 0:00:00","PubModel":"Epub","JCR":"Q4","JCRName":"PERIPHERAL VASCULAR DISEASE","Score":null,"Total":0}
引用次数: 0

Abstract

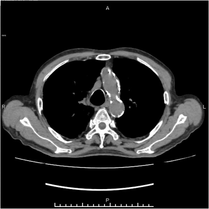
Diffusion-weighted whole-body imaging with background body signal suppression has been used to diagnose fever of unknown origin. An 86-year-old man who underwent bile duct jejunostomy for bile duct cancer presented with fever (body temperature, 40°C). Escherichia coli was detected in blood cultures. Diffusion-weighted whole-body imaging with background body signal suppression revealed accumulation in the aortic arch. Therefore, infectious aortitis secondary to retrograde cholangitis was diagnosed. The patient was treated with antibiotics, and the aortic arch accumulation disappeared. Diffusion-weighted whole-body imaging with background body signal suppression is a useful modality for diagnosing vasculitis and assessing treatment effectiveness.

Abstract Image

Abstract Image

Abstract Image

基于背景身体信号抑制的弥散加权全身成像血管炎症可视化。
具有背景身体信号抑制的弥散加权全身成像已被用于诊断不明原因的发热。86岁男性,因胆管癌行胆管空肠造瘘术,发热(体温40℃)。血培养中检出大肠杆菌。背景信号抑制的弥散加权全身成像显示主动脉弓内有堆积。因此,诊断为感染性大动脉炎继发于逆行性胆管炎。经抗生素治疗,主动脉弓积积消失。背景信号抑制的弥散加权全身成像是诊断血管炎和评估治疗效果的一种有效方式。
本文章由计算机程序翻译,如有差异,请以英文原文为准。
求助全文
约1分钟内获得全文 求助全文
来源期刊
Annals of vascular diseases
Annals of vascular diseases PERIPHERAL VASCULAR DISEASE-
自引率
0.00%
发文量
41
×
引用
GB/T 7714-2015
复制
MLA
复制
APA
复制
导出至
BibTeX EndNote RefMan NoteFirst NoteExpress
×
提示
您的信息不完整,为了账户安全,请先补充。
现在去补充
×
提示
您因"违规操作"
具体请查看互助需知
我知道了
×
提示
确定
请完成安全验证×
copy
已复制链接
快去分享给好友吧!
我知道了
右上角分享
点击右上角分享
0
联系我们:info@booksci.cn Book学术提供免费学术资源搜索服务,方便国内外学者检索中英文文献。致力于提供最便捷和优质的服务体验。 Copyright © 2023 布克学术 All rights reserved.
京ICP备2023020795号-1
ghs 京公网安备 11010802042870号
Book学术文献互助
Book学术文献互助群
群 号:604180095
Book学术官方微信