Primary Burkitt Lymphoma of the Thyroid Associated With Hashimoto Thyroiditis Masquerading as Post-COVID Thyroiditis.

JCEM case reports Pub Date : 2025-08-14 eCollection Date: 2025-09-01 DOI:10.1210/jcemcr/luaf178
Yotsapon Thewjitcharoen, Waralee Chatchomchuan, Ekgaluck Wanothayaroj, Veekij Veerasomboonsin, Somboon Keelawat, Thep Himathongkam
{"title":"Primary Burkitt Lymphoma of the Thyroid Associated With Hashimoto Thyroiditis Masquerading as Post-COVID Thyroiditis.","authors":"Yotsapon Thewjitcharoen, Waralee Chatchomchuan, Ekgaluck Wanothayaroj, Veekij Veerasomboonsin, Somboon Keelawat, Thep Himathongkam","doi":"10.1210/jcemcr/luaf178","DOIUrl":null,"url":null,"abstract":"<p><p>Primary thyroid lymphoma accounts for only 2% to 5% of all thyroid tumors, and Burkitt lymphoma of the thyroid is even rarer than other types of B-cell lymphoma. It is a highly aggressive non-Hodgkin lymphoma characterized by intermediate-sized lymphoid cells with a \"starry sky\" appearance and exhibits chromosomal translocations that activate the <i>MYC</i> oncogene. A male predominance and an aggressive clinical course with a high risk of central nervous system involvement and tumor lysis syndrome are all well-recognized features of Burkitt lymphoma. We present a case of a 28-year-old man with primary Burkitt lymphoma of the thyroid initially misdiagnosed as post-COVID thyroiditis. Core needle biopsy showed round, intermediate-sized lymphoid cells admixed with scattered tingible body macrophages displaying a \"starry sky\" appearance. Following the final histological diagnosis of primary thyroid Burkitt lymphoma, the patient received intensive chemotherapy. Six months after the diagnosis, the patient succumbed to disease progression, causing upper airway obstruction. Primary Burkitt lymphoma of the thyroid can cause pain and other symptoms due to the rapidly growing mass in the neck. Adequate pathological diagnosis with core needle biopsy rather than fine needle aspiration is essential for treatment planning and outcome improvement.</p>","PeriodicalId":73540,"journal":{"name":"JCEM case reports","volume":"3 9","pages":"luaf178"},"PeriodicalIF":0.0000,"publicationDate":"2025-08-14","publicationTypes":"Journal Article","fieldsOfStudy":null,"isOpenAccess":false,"openAccessPdf":"https://www.ncbi.nlm.nih.gov/pmc/articles/PMC12352296/pdf/","citationCount":"0","resultStr":null,"platform":"Semanticscholar","paperid":null,"PeriodicalName":"JCEM case reports","FirstCategoryId":"1085","ListUrlMain":"https://doi.org/10.1210/jcemcr/luaf178","RegionNum":0,"RegionCategory":null,"ArticlePicture":[],"TitleCN":null,"AbstractTextCN":null,"PMCID":null,"EPubDate":"2025/9/1 0:00:00","PubModel":"eCollection","JCR":"","JCRName":"","Score":null,"Total":0}
引用次数: 0

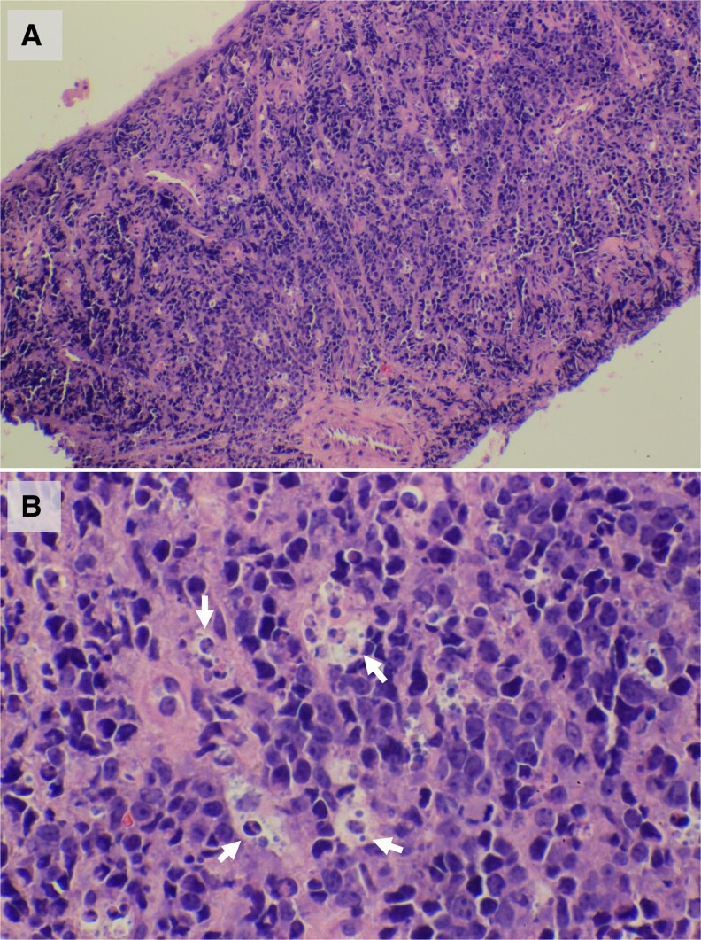
Abstract

Primary thyroid lymphoma accounts for only 2% to 5% of all thyroid tumors, and Burkitt lymphoma of the thyroid is even rarer than other types of B-cell lymphoma. It is a highly aggressive non-Hodgkin lymphoma characterized by intermediate-sized lymphoid cells with a "starry sky" appearance and exhibits chromosomal translocations that activate the MYC oncogene. A male predominance and an aggressive clinical course with a high risk of central nervous system involvement and tumor lysis syndrome are all well-recognized features of Burkitt lymphoma. We present a case of a 28-year-old man with primary Burkitt lymphoma of the thyroid initially misdiagnosed as post-COVID thyroiditis. Core needle biopsy showed round, intermediate-sized lymphoid cells admixed with scattered tingible body macrophages displaying a "starry sky" appearance. Following the final histological diagnosis of primary thyroid Burkitt lymphoma, the patient received intensive chemotherapy. Six months after the diagnosis, the patient succumbed to disease progression, causing upper airway obstruction. Primary Burkitt lymphoma of the thyroid can cause pain and other symptoms due to the rapidly growing mass in the neck. Adequate pathological diagnosis with core needle biopsy rather than fine needle aspiration is essential for treatment planning and outcome improvement.

Abstract Image

Abstract Image

Abstract Image

原发性甲状腺伯基特淋巴瘤与桥本甲状腺炎相关,伪装为covid后甲状腺炎。
原发性甲状腺淋巴瘤仅占所有甲状腺肿瘤的2% ~ 5%,甲状腺的伯基特淋巴瘤比其他类型的b细胞淋巴瘤更为罕见。它是一种高度侵袭性的非霍奇金淋巴瘤,以中等大小的淋巴样细胞为特征,具有“星空”外观,并表现出激活MYC癌基因的染色体易位。男性居多,临床病程积极,累及中枢神经系统和肿瘤溶解综合征的风险高,这些都是伯基特淋巴瘤公认的特征。我们报告一例28岁男性原发性甲状腺伯基特淋巴瘤,最初误诊为后冠状病毒甲状腺炎。核心穿刺活检显示圆形,中等大小的淋巴样细胞与分散的可针刺体巨噬细胞混合,呈“星空”状。在最终的组织学诊断为原发性甲状腺伯基特淋巴瘤后,患者接受了强化化疗。诊断后6个月,患者因疾病进展而死亡,引起上呼吸道阻塞。原发性甲状腺伯基特淋巴瘤可引起疼痛和其他症状,由于快速增长的肿块在颈部。充分的病理诊断与核心针活检,而不是细针抽吸是必不可少的治疗计划和改善结果。
本文章由计算机程序翻译,如有差异,请以英文原文为准。
求助全文
约1分钟内获得全文 求助全文
来源期刊
自引率
0.00%
发文量
0
×
引用
GB/T 7714-2015
复制
MLA
复制
APA
复制
导出至
BibTeX EndNote RefMan NoteFirst NoteExpress
×
提示
您的信息不完整,为了账户安全,请先补充。
现在去补充
×
提示
您因"违规操作"
具体请查看互助需知
我知道了
×
提示
确定
请完成安全验证×
copy
已复制链接
快去分享给好友吧!
我知道了
右上角分享
点击右上角分享
0
联系我们:info@booksci.cn Book学术提供免费学术资源搜索服务,方便国内外学者检索中英文文献。致力于提供最便捷和优质的服务体验。 Copyright © 2023 布克学术 All rights reserved.
京ICP备2023020795号-1
ghs 京公网安备 11010802042870号
Book学术文献互助
Book学术文献互助群
群 号:604180095
Book学术官方微信