TRP channels and cancer modulation: a voyage beyond metabolic reprogramming, oxidative stress and the advent of nanotechnologies in targeted therapy.

IF 12.8 1区 医学 Q1 ONCOLOGY
Marialaura Giannaccari, Chiara Florindi, Nora Bloise, Francesco Moccia, Francesco Lodola, Livia Visai
{"title":"TRP channels and cancer modulation: a voyage beyond metabolic reprogramming, oxidative stress and the advent of nanotechnologies in targeted therapy.","authors":"Marialaura Giannaccari, Chiara Florindi, Nora Bloise, Francesco Moccia, Francesco Lodola, Livia Visai","doi":"10.1186/s13046-025-03495-4","DOIUrl":null,"url":null,"abstract":"<p><p>Transient receptor potential (TRP) channels are a large family of non-selective cation channels that play critical roles in cellular homeostasis and signal transduction. Recent investigations have clearly highlighted their involvement in cancer biology, particularly in the regulation of cancer metabolism. Unlike normal cells, cancer cells tend to favour the energy inefficient glycolytic pathway over the more effective oxidative phosphorylation process. TRP channels are involved in critical steps of cancer-related metabolic reprogramming by influencing intracellular Ca<sup>2+</sup> signaling. Their dysregulation can intensify oxidative stress, thereby promoting oncogenic transformation and tumor progression. The intricate interplay between TRP channels, metabolic reprogramming and oxidative stress promotes cancer cell progression and resistance to treatment. This review highlights the crucial role of TRP channels in tumorigenesis. It examines how TRPM7 and TRPM8 contribute to metabolic reprogramming by its involvement in glycolysis pathway. Additionally, it explores the involvement of TRPML1, TRPA1, TRPM2, and TRPV1 in modulating reactive oxygen species (ROS) levels within cancer cells, analyzing the ROS dual role in tumor modulation. The advent of nanotechnology, particularly through the utilisation of engineered nanoparticles, has facilitated the selective modulation of TRPA1, TRPM2, and TRPV1 channels. This technological breakthrough has paved the way for novel and more targeted anticancer treatment strategies. The integration of molecular insights with cutting-edge technological approaches holds great promise for the development of more effective and targeted cancer treatments.</p>","PeriodicalId":50199,"journal":{"name":"Journal of Experimental & Clinical Cancer Research","volume":"44 1","pages":"240"},"PeriodicalIF":12.8000,"publicationDate":"2025-08-14","publicationTypes":"Journal Article","fieldsOfStudy":null,"isOpenAccess":false,"openAccessPdf":"https://www.ncbi.nlm.nih.gov/pmc/articles/PMC12351952/pdf/","citationCount":"0","resultStr":null,"platform":"Semanticscholar","paperid":null,"PeriodicalName":"Journal of Experimental & Clinical Cancer Research","FirstCategoryId":"3","ListUrlMain":"https://doi.org/10.1186/s13046-025-03495-4","RegionNum":1,"RegionCategory":"医学","ArticlePicture":[],"TitleCN":null,"AbstractTextCN":null,"PMCID":null,"EPubDate":"","PubModel":"","JCR":"Q1","JCRName":"ONCOLOGY","Score":null,"Total":0}
引用次数: 0

Abstract

Transient receptor potential (TRP) channels are a large family of non-selective cation channels that play critical roles in cellular homeostasis and signal transduction. Recent investigations have clearly highlighted their involvement in cancer biology, particularly in the regulation of cancer metabolism. Unlike normal cells, cancer cells tend to favour the energy inefficient glycolytic pathway over the more effective oxidative phosphorylation process. TRP channels are involved in critical steps of cancer-related metabolic reprogramming by influencing intracellular Ca2+ signaling. Their dysregulation can intensify oxidative stress, thereby promoting oncogenic transformation and tumor progression. The intricate interplay between TRP channels, metabolic reprogramming and oxidative stress promotes cancer cell progression and resistance to treatment. This review highlights the crucial role of TRP channels in tumorigenesis. It examines how TRPM7 and TRPM8 contribute to metabolic reprogramming by its involvement in glycolysis pathway. Additionally, it explores the involvement of TRPML1, TRPA1, TRPM2, and TRPV1 in modulating reactive oxygen species (ROS) levels within cancer cells, analyzing the ROS dual role in tumor modulation. The advent of nanotechnology, particularly through the utilisation of engineered nanoparticles, has facilitated the selective modulation of TRPA1, TRPM2, and TRPV1 channels. This technological breakthrough has paved the way for novel and more targeted anticancer treatment strategies. The integration of molecular insights with cutting-edge technological approaches holds great promise for the development of more effective and targeted cancer treatments.

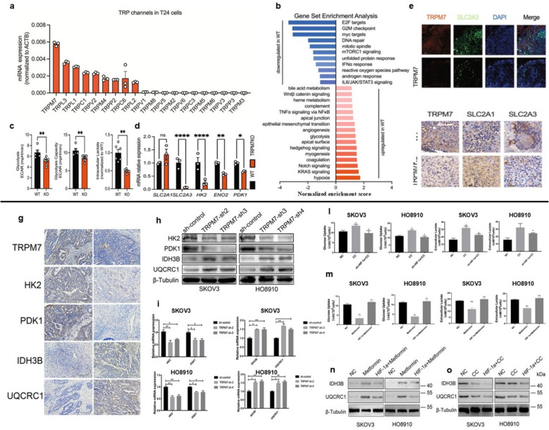
Abstract Image

Abstract Image

Abstract Image

TRP通道和癌症调节:超越代谢重编程、氧化应激和纳米技术在靶向治疗中的出现的旅程。
瞬时受体电位(TRP)通道是一类非选择性阳离子通道,在细胞稳态和信号转导中起着至关重要的作用。最近的研究清楚地强调了它们在癌症生物学中的作用,特别是在癌症代谢的调节方面。与正常细胞不同,癌细胞倾向于能量效率低下的糖酵解途径,而不是更有效的氧化磷酸化过程。TRP通道通过影响细胞内Ca2+信号参与癌症相关代谢重编程的关键步骤。它们的失调可以加强氧化应激,从而促进致癌转化和肿瘤进展。TRP通道、代谢重编程和氧化应激之间复杂的相互作用促进了癌细胞的进展和对治疗的抵抗。本文综述了TRP通道在肿瘤发生中的重要作用。研究了TRPM7和TRPM8如何通过参与糖酵解途径促进代谢重编程。此外,本研究还探讨了TRPML1、TRPA1、TRPM2和TRPV1在调节癌细胞内活性氧(ROS)水平中的作用,分析了ROS在肿瘤调节中的双重作用。纳米技术的出现,特别是通过利用工程纳米颗粒,促进了TRPA1、TRPM2和TRPV1通道的选择性调制。这一技术突破为新的和更有针对性的抗癌治疗策略铺平了道路。分子洞察与尖端技术方法的结合为开发更有效和更有针对性的癌症治疗提供了巨大的希望。
本文章由计算机程序翻译,如有差异,请以英文原文为准。
求助全文
约1分钟内获得全文 求助全文
来源期刊
CiteScore
18.20
自引率
1.80%
发文量
333
审稿时长
1 months
期刊介绍: The Journal of Experimental & Clinical Cancer Research is an esteemed peer-reviewed publication that focuses on cancer research, encompassing everything from fundamental discoveries to practical applications. We welcome submissions that showcase groundbreaking advancements in the field of cancer research, especially those that bridge the gap between laboratory findings and clinical implementation. Our goal is to foster a deeper understanding of cancer, improve prevention and detection strategies, facilitate accurate diagnosis, and enhance treatment options. We are particularly interested in manuscripts that shed light on the mechanisms behind the development and progression of cancer, including metastasis. Additionally, we encourage submissions that explore molecular alterations or biomarkers that can help predict the efficacy of different treatments or identify drug resistance. Translational research related to targeted therapies, personalized medicine, tumor immunotherapy, and innovative approaches applicable to clinical investigations are also of great interest to us. We provide a platform for the dissemination of large-scale molecular characterizations of human tumors and encourage researchers to share their insights, discoveries, and methodologies with the wider scientific community. By publishing high-quality research articles, reviews, and commentaries, the Journal of Experimental & Clinical Cancer Research strives to contribute to the continuous improvement of cancer care and make a meaningful impact on patients' lives.
×
引用
GB/T 7714-2015
复制
MLA
复制
APA
复制
导出至
BibTeX EndNote RefMan NoteFirst NoteExpress
×
提示
您的信息不完整,为了账户安全,请先补充。
现在去补充
×
提示
您因"违规操作"
具体请查看互助需知
我知道了
×
提示
确定
请完成安全验证×
copy
已复制链接
快去分享给好友吧!
我知道了
右上角分享
点击右上角分享
0
联系我们:info@booksci.cn Book学术提供免费学术资源搜索服务,方便国内外学者检索中英文文献。致力于提供最便捷和优质的服务体验。 Copyright © 2023 布克学术 All rights reserved.
京ICP备2023020795号-1
ghs 京公网安备 11010802042870号
Book学术文献互助
Book学术文献互助群
群 号:604180095
Book学术官方微信