Evaluation of delayed diagnosis of osteoid osteoma in adolescents and young patients with hip pain.

IF 1.9 Q2 ORTHOPEDICS
Ferit Tufan Özgezmez, Gül Öznur Karabıçak, Emre Çullu
{"title":"Evaluation of delayed diagnosis of osteoid osteoma in adolescents and young patients with hip pain.","authors":"Ferit Tufan Özgezmez, Gül Öznur Karabıçak, Emre Çullu","doi":"10.52312/jdrs.2025.2199","DOIUrl":null,"url":null,"abstract":"<p><strong>Objectives: </strong>This study aims to evaluate delayed diagnosis of osteoid osteoma (OO) in pediatric patients with hip pain and to identify the diagnostic challenges and errors encountered during this period.</p><p><strong>Patients and methods: </strong>Between May 2010 and July 2022, a total of 18 patients (11 males; 7 females; median age: 12 years; range, 6 to 20 years) with a confirmed diagnosis of OO were retrospectively analyzed. Demographic, clinical, and radiographic data were recorded. The time from symptom onset to diagnosis was calculated for each patient. The date of radiological diagnosis was accepted as the time of diagnosis.</p><p><strong>Results: </strong>The median time from symptom onset to diagnosis was 12 months. Right-sided involvement was observed in 61.1% of cases. The most common lesion location was the femoral neck (61.1%), and 66.7% of cases had intra-articular lesions. A limping gait was observed in 61.1% of patients. Additionally, 33.3% of cases reported atrophy of the thigh muscles and/or lower extremities. Night pain was present in 83.3% of cases. A total of 72.2% of cases had a diagnostic delay exceeding six months. Half (50%) of the patients required more than five visits to healthcare providers before receiving an accurate diagnosis.</p><p><strong>Conclusion: </strong>The diagnostic delays for OO located in the hip region can be seen in among children and young adults, primarily due to misdiagnosis and reliance on inconclusive initial imaging findings. To minimize such delays, clinicians should maintain a high index of suspicion, particularly in patients with persistent, unexplained hip pain, and consider imaging studies. Pain lasting over three weeks warrants further diagnostic evaluation in this patient group.</p>","PeriodicalId":73560,"journal":{"name":"Joint diseases and related surgery","volume":"36 3","pages":"640-647"},"PeriodicalIF":1.9000,"publicationDate":"2025-07-07","publicationTypes":"Journal Article","fieldsOfStudy":null,"isOpenAccess":false,"openAccessPdf":"https://www.ncbi.nlm.nih.gov/pmc/articles/PMC12456355/pdf/","citationCount":"0","resultStr":null,"platform":"Semanticscholar","paperid":null,"PeriodicalName":"Joint diseases and related surgery","FirstCategoryId":"1085","ListUrlMain":"https://doi.org/10.52312/jdrs.2025.2199","RegionNum":0,"RegionCategory":null,"ArticlePicture":[],"TitleCN":null,"AbstractTextCN":null,"PMCID":null,"EPubDate":"","PubModel":"","JCR":"Q2","JCRName":"ORTHOPEDICS","Score":null,"Total":0}
引用次数: 0

Abstract

Objectives: This study aims to evaluate delayed diagnosis of osteoid osteoma (OO) in pediatric patients with hip pain and to identify the diagnostic challenges and errors encountered during this period.

Patients and methods: Between May 2010 and July 2022, a total of 18 patients (11 males; 7 females; median age: 12 years; range, 6 to 20 years) with a confirmed diagnosis of OO were retrospectively analyzed. Demographic, clinical, and radiographic data were recorded. The time from symptom onset to diagnosis was calculated for each patient. The date of radiological diagnosis was accepted as the time of diagnosis.

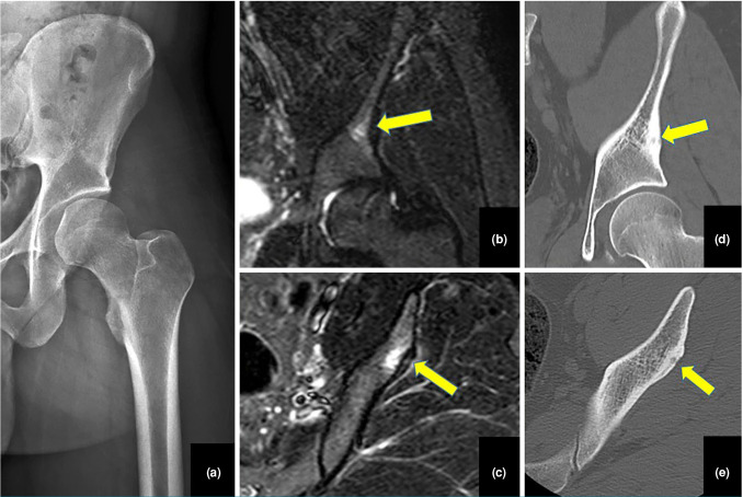
Results: The median time from symptom onset to diagnosis was 12 months. Right-sided involvement was observed in 61.1% of cases. The most common lesion location was the femoral neck (61.1%), and 66.7% of cases had intra-articular lesions. A limping gait was observed in 61.1% of patients. Additionally, 33.3% of cases reported atrophy of the thigh muscles and/or lower extremities. Night pain was present in 83.3% of cases. A total of 72.2% of cases had a diagnostic delay exceeding six months. Half (50%) of the patients required more than five visits to healthcare providers before receiving an accurate diagnosis.

Conclusion: The diagnostic delays for OO located in the hip region can be seen in among children and young adults, primarily due to misdiagnosis and reliance on inconclusive initial imaging findings. To minimize such delays, clinicians should maintain a high index of suspicion, particularly in patients with persistent, unexplained hip pain, and consider imaging studies. Pain lasting over three weeks warrants further diagnostic evaluation in this patient group.

Abstract Image

青少年和年轻髋部疼痛患者骨样骨瘤延迟诊断的评价。
目的:本研究旨在评估儿童髋关节疼痛患者的骨样骨瘤(OO)的延迟诊断,并确定在此期间遇到的诊断挑战和错误。患者与方法:2010年5月至2022年7月,共18例患者(男性11例;7女性;中位年龄:12岁;回顾性分析确诊为OO的患者(年龄6 ~ 20岁)。记录了人口统计学、临床和放射学数据。计算每位患者从症状出现到诊断的时间。以影像学诊断日期为诊断时间。结果:从症状出现到诊断的中位时间为12个月。右侧受累占61.1%。最常见的病变部位为股骨颈(61.1%),66.7%的病例为关节内病变。61.1%的患者出现跛行步态。此外,33.3%的病例报告大腿肌肉和/或下肢萎缩。83.3%的病例出现夜间疼痛。总共72.2%的病例诊断延迟超过6个月。一半(50%)的患者在得到准确诊断之前需要访问医疗保健提供者五次以上。结论:位于髋部的OO的诊断延迟可以在儿童和年轻人中看到,主要是由于误诊和依赖不确定的初始影像学发现。为了尽量减少这种延误,临床医生应该保持高度的怀疑指数,特别是对于持续的、不明原因的髋关节疼痛患者,并考虑影像学检查。疼痛持续超过三周需要进一步的诊断评估。
本文章由计算机程序翻译,如有差异,请以英文原文为准。
求助全文
约1分钟内获得全文 求助全文
来源期刊
CiteScore
2.50
自引率
0.00%
发文量
0
×
引用
GB/T 7714-2015
复制
MLA
复制
APA
复制
导出至
BibTeX EndNote RefMan NoteFirst NoteExpress
×
提示
您的信息不完整,为了账户安全,请先补充。
现在去补充
×
提示
您因"违规操作"
具体请查看互助需知
我知道了
×
提示
确定
请完成安全验证×
copy
已复制链接
快去分享给好友吧!
我知道了
右上角分享
点击右上角分享
0
联系我们:info@booksci.cn Book学术提供免费学术资源搜索服务,方便国内外学者检索中英文文献。致力于提供最便捷和优质的服务体验。 Copyright © 2023 布克学术 All rights reserved.
京ICP备2023020795号-1
ghs 京公网安备 11010802042870号
Book学术文献互助
Book学术文献互助群
群 号:604180095
Book学术官方微信