Increased Surgical Invasiveness but Favorable Scoliosis Research Society-22 Scores in Adult Idiopathic Scoliosis with Major Thoracic Curves: A Comparative Study with Adolescent Idiopathic Scoliosis.

IF 1.2 Q3 SURGERY
Spine Surgery and Related Research Pub Date : 2025-03-07 eCollection Date: 2025-07-27 DOI:10.22603/ssrr.2024-0299
Yasuhiro Kamata, Satoshi Suzuki, Kazuki Takeda, Takahito Iga, Yohei Takahashi, Osahiko Tsuji, Narihito Nagoshi, Morio Matsumoto, Masaya Nakamura, Kota Watanabe
{"title":"Increased Surgical Invasiveness but Favorable Scoliosis Research Society-22 Scores in Adult Idiopathic Scoliosis with Major Thoracic Curves: A Comparative Study with Adolescent Idiopathic Scoliosis.","authors":"Yasuhiro Kamata, Satoshi Suzuki, Kazuki Takeda, Takahito Iga, Yohei Takahashi, Osahiko Tsuji, Narihito Nagoshi, Morio Matsumoto, Masaya Nakamura, Kota Watanabe","doi":"10.22603/ssrr.2024-0299","DOIUrl":null,"url":null,"abstract":"<p><strong>Introduction: </strong>Surgical outcomes for adult patients with residual adolescent idiopathic scoliosis (AdIS) with a major thoracic curve are expected to be inferior to those of AIS but have not been well reported. This study aimed to evaluate surgical, radiographical, and clinical results in adult patients with AdIS and to characterize these patients by comparing their results with those of patients with adolescent idiopathic scoliosis (AIS).</p><p><strong>Methods: </strong>Thirty-five patients with AdIS, who were diagnosed with AIS Lenke type 1 or 2 before the age of 19 years and underwent surgery after the age of 20 years, were included in the study. As a control group, 84 patients with AIS Lenke type 1 or 2 who underwent surgery before the age of 19 were included. Both groups were matched on the basis of the preoperative main thoracic (MT) and proximal thoracic (PT) Cobb angles, causing 30 patients to be selected in each group.</p><p><strong>Results: </strong>The AdIS group exhibited a greater preoperative bending Cobb angle of the MT and PT curves (MT: 35.1° vs. 31.3°, PT: 17.8° vs. 13.8°) and a lower MT curve flexibility index than in the AIS group (36.6% vs. 42.2%). Postoperatively, the AdIS group had a higher number of fused intervertebral segments than did the AIS group (8.2 vs. 7.4), but the correction rate was comparable in the 2 groups. Moreover, the intraoperative time was longer and blood loss was larger in the AdIS group. In the Scoliosis Research Society (SRS)-22 score, self-image and mental health domains were significantly lower preoperatively in the AdIS group. Postoperative improvement of self-image domain was significantly greater in the AdIS group (Δ self-image: 1.6 vs. 0.9), and postoperative satisfaction was similar in the 2 groups.</p><p><strong>Conclusions: </strong>Surgical invasiveness was increased in AdIS, and preoperative SRS-22 scores were lower in self-image and mental health domains than in AIS. However, postoperative SRS-22 scores were comparable, and postoperative self-image improvement was significantly greater in AdIS than in AIS.</p>","PeriodicalId":22253,"journal":{"name":"Spine Surgery and Related Research","volume":"9 4","pages":"453-459"},"PeriodicalIF":1.2000,"publicationDate":"2025-03-07","publicationTypes":"Journal Article","fieldsOfStudy":null,"isOpenAccess":false,"openAccessPdf":"https://www.ncbi.nlm.nih.gov/pmc/articles/PMC12330367/pdf/","citationCount":"0","resultStr":null,"platform":"Semanticscholar","paperid":null,"PeriodicalName":"Spine Surgery and Related Research","FirstCategoryId":"1085","ListUrlMain":"https://doi.org/10.22603/ssrr.2024-0299","RegionNum":0,"RegionCategory":null,"ArticlePicture":[],"TitleCN":null,"AbstractTextCN":null,"PMCID":null,"EPubDate":"2025/7/27 0:00:00","PubModel":"eCollection","JCR":"Q3","JCRName":"SURGERY","Score":null,"Total":0}
引用次数: 0

Abstract

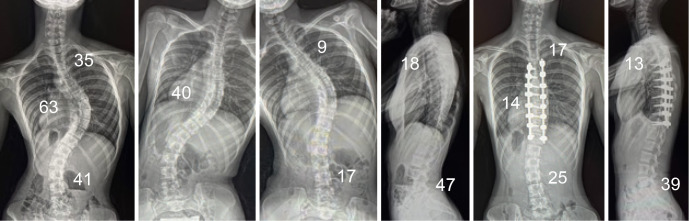
Introduction: Surgical outcomes for adult patients with residual adolescent idiopathic scoliosis (AdIS) with a major thoracic curve are expected to be inferior to those of AIS but have not been well reported. This study aimed to evaluate surgical, radiographical, and clinical results in adult patients with AdIS and to characterize these patients by comparing their results with those of patients with adolescent idiopathic scoliosis (AIS).

Methods: Thirty-five patients with AdIS, who were diagnosed with AIS Lenke type 1 or 2 before the age of 19 years and underwent surgery after the age of 20 years, were included in the study. As a control group, 84 patients with AIS Lenke type 1 or 2 who underwent surgery before the age of 19 were included. Both groups were matched on the basis of the preoperative main thoracic (MT) and proximal thoracic (PT) Cobb angles, causing 30 patients to be selected in each group.

Results: The AdIS group exhibited a greater preoperative bending Cobb angle of the MT and PT curves (MT: 35.1° vs. 31.3°, PT: 17.8° vs. 13.8°) and a lower MT curve flexibility index than in the AIS group (36.6% vs. 42.2%). Postoperatively, the AdIS group had a higher number of fused intervertebral segments than did the AIS group (8.2 vs. 7.4), but the correction rate was comparable in the 2 groups. Moreover, the intraoperative time was longer and blood loss was larger in the AdIS group. In the Scoliosis Research Society (SRS)-22 score, self-image and mental health domains were significantly lower preoperatively in the AdIS group. Postoperative improvement of self-image domain was significantly greater in the AdIS group (Δ self-image: 1.6 vs. 0.9), and postoperative satisfaction was similar in the 2 groups.

Conclusions: Surgical invasiveness was increased in AdIS, and preoperative SRS-22 scores were lower in self-image and mental health domains than in AIS. However, postoperative SRS-22 scores were comparable, and postoperative self-image improvement was significantly greater in AdIS than in AIS.

Abstract Image

Abstract Image

成人特发性脊柱侧凸伴主要胸椎弯曲的手术侵入性增加但脊柱侧凸研究协会-22评分有利:与青少年特发性脊柱侧凸的比较研究。
导言:伴有主要胸椎弯曲的残留青少年特发性脊柱侧凸(AdIS)的成年患者的手术结果预计不如AIS,但尚未有很好的报道。本研究旨在评估成年AdIS患者的手术、影像学和临床结果,并通过将这些患者的结果与青少年特发性脊柱侧凸(AIS)患者的结果进行比较来确定这些患者的特征。方法:纳入35例AdIS患者,这些患者在19岁前被诊断为AIS Lenke 1型或2型,在20岁后接受手术治疗。84例19岁前接受手术的AIS Lenke 1型或2型患者作为对照组。两组在术前主胸(MT)和近胸(PT) Cobb角的基础上进行匹配,每组选择30例患者。结果:与AIS组相比,AdIS组术前MT和PT弯曲Cobb角更大(MT: 35.1°vs. 31.3°,PT: 17.8°vs. 13.8°),MT曲线柔韧性指数更低(36.6% vs. 42.2%)。术后,AdIS组融合椎节数高于AIS组(8.2 vs. 7.4),但两组的矫正率相当。AdIS组术中时间更长,出血量更大。在脊柱侧凸研究学会(SRS)-22评分中,AdIS组的自我形象和心理健康领域均显著低于术前。AdIS组术后自我形象域改善明显大于AdIS组(Δ self-image: 1.6 vs. 0.9),两组术后满意度相似。结论:AdIS患者手术侵入性增加,术前自我形象和心理健康领域的SRS-22评分低于AIS患者。然而,术后SRS-22评分具有可比性,AdIS患者术后自我形象改善明显大于AIS患者。
本文章由计算机程序翻译,如有差异,请以英文原文为准。
求助全文
约1分钟内获得全文 求助全文
来源期刊
CiteScore
1.80
自引率
0.00%
发文量
71
审稿时长
15 weeks
×
引用
GB/T 7714-2015
复制
MLA
复制
APA
复制
导出至
BibTeX EndNote RefMan NoteFirst NoteExpress
×
提示
您的信息不完整,为了账户安全,请先补充。
现在去补充
×
提示
您因"违规操作"
具体请查看互助需知
我知道了
×
提示
确定
请完成安全验证×
copy
已复制链接
快去分享给好友吧!
我知道了
右上角分享
点击右上角分享
0
联系我们:info@booksci.cn Book学术提供免费学术资源搜索服务,方便国内外学者检索中英文文献。致力于提供最便捷和优质的服务体验。 Copyright © 2023 布克学术 All rights reserved.
京ICP备2023020795号-1
ghs 京公网安备 11010802042870号
Book学术文献互助
Book学术文献互助群
群 号:604180095
Book学术官方微信