Anatomical Pelvic Parameters Using the Anterior Pelvic Plane: Relationships with Standing Sagittal Spinal Alignment and Estimated Lumbar Alignment in Healthy Volunteers.

IF 1.2 Q3 SURGERY
Spine Surgery and Related Research Pub Date : 2024-12-20 eCollection Date: 2025-07-27 DOI:10.22603/ssrr.2024-0283
Masayuki Ohashi, Kazuhiro Hasegawa, Shun Hatsushikano, Norio Imai, Hideki Tashi, Yohei Shibuya, Keitaro Minato, Masayuki Sato, Hiroyuki Sekimoto, Kei Watanabe, Hiroyuki Kawashima
{"title":"Anatomical Pelvic Parameters Using the Anterior Pelvic Plane: Relationships with Standing Sagittal Spinal Alignment and Estimated Lumbar Alignment in Healthy Volunteers.","authors":"Masayuki Ohashi, Kazuhiro Hasegawa, Shun Hatsushikano, Norio Imai, Hideki Tashi, Yohei Shibuya, Keitaro Minato, Masayuki Sato, Hiroyuki Sekimoto, Kei Watanabe, Hiroyuki Kawashima","doi":"10.22603/ssrr.2024-0283","DOIUrl":null,"url":null,"abstract":"<p><strong>Introduction: </strong>To estimate natural standing sagittal alignment in patients with adult spinal deformity (ASD), we previously reported the normative values of anatomical pelvic parameters in a healthy population, based on the anterior pelvic plane (APP), and observed the relationships between anatomical and positional pelvic parameters in the standing position. As the second step, we aim to investigate the relationships between anatomical pelvic parameters and standing spinal sagittal alignment in a healthy population.</p><p><strong>Methods: </strong>We analyzed biplanar, slot-scanning, full-body stereo radiography of 140 healthy Japanese volunteers (mean age, 39.5 years; 59.3% women). The APP was defined by bilateral anterior superior iliac spines and anterior surface of the pubis symphysis. Anatomical sacral slope (aSS) and anatomical pelvic tilt (aPT) were calculated as angles of the SS and PT regarding the APP.</p><p><strong>Results: </strong>The APP was tilted anteriorly in the sagittal plane by an average of 0.7°. Anatomical pelvic parameters significantly correlated with standing sagittal parameters, except for cervical lordosis and T4-12 thoracic kyphosis (TK) (p<0.05). L4-S1 lumbar lordosis (LL) significantly correlated with aPT and aSS, but not with pelvic incidence (PI). In addition, T1-12 TK significantly correlated with aSS. Multiple linear regression analysis for lumbar alignment produced the following equations: L1-S1 LL (°)=0.588×aSS+30.522, L4-S1 LL (°)=0.165×aSS-0.248×aPT+32.825, lordosis distribution index (%)=-0.662×PI+102.8.</p><p><strong>Conclusions: </strong>Novel relationships in a healthy population were identified between the anatomical characteristics of the pelvis and standing sagittal parameters not represented by PI. This novel measurement concept based on the APP may estimate natural standing sagittal alignments and proportions using anatomical pelvic parameters in ASD.</p>","PeriodicalId":22253,"journal":{"name":"Spine Surgery and Related Research","volume":"9 4","pages":"469-476"},"PeriodicalIF":1.2000,"publicationDate":"2024-12-20","publicationTypes":"Journal Article","fieldsOfStudy":null,"isOpenAccess":false,"openAccessPdf":"https://www.ncbi.nlm.nih.gov/pmc/articles/PMC12330368/pdf/","citationCount":"0","resultStr":null,"platform":"Semanticscholar","paperid":null,"PeriodicalName":"Spine Surgery and Related Research","FirstCategoryId":"1085","ListUrlMain":"https://doi.org/10.22603/ssrr.2024-0283","RegionNum":0,"RegionCategory":null,"ArticlePicture":[],"TitleCN":null,"AbstractTextCN":null,"PMCID":null,"EPubDate":"2025/7/27 0:00:00","PubModel":"eCollection","JCR":"Q3","JCRName":"SURGERY","Score":null,"Total":0}
引用次数: 0

Abstract

Introduction: To estimate natural standing sagittal alignment in patients with adult spinal deformity (ASD), we previously reported the normative values of anatomical pelvic parameters in a healthy population, based on the anterior pelvic plane (APP), and observed the relationships between anatomical and positional pelvic parameters in the standing position. As the second step, we aim to investigate the relationships between anatomical pelvic parameters and standing spinal sagittal alignment in a healthy population.

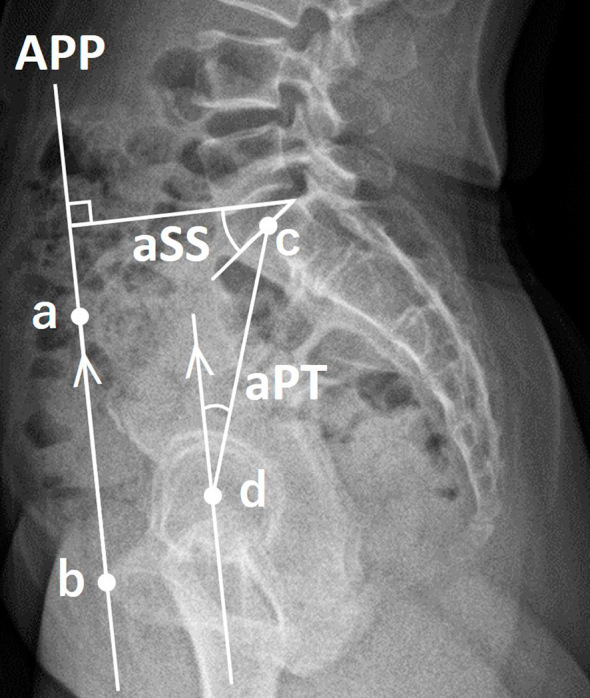
Methods: We analyzed biplanar, slot-scanning, full-body stereo radiography of 140 healthy Japanese volunteers (mean age, 39.5 years; 59.3% women). The APP was defined by bilateral anterior superior iliac spines and anterior surface of the pubis symphysis. Anatomical sacral slope (aSS) and anatomical pelvic tilt (aPT) were calculated as angles of the SS and PT regarding the APP.

Results: The APP was tilted anteriorly in the sagittal plane by an average of 0.7°. Anatomical pelvic parameters significantly correlated with standing sagittal parameters, except for cervical lordosis and T4-12 thoracic kyphosis (TK) (p<0.05). L4-S1 lumbar lordosis (LL) significantly correlated with aPT and aSS, but not with pelvic incidence (PI). In addition, T1-12 TK significantly correlated with aSS. Multiple linear regression analysis for lumbar alignment produced the following equations: L1-S1 LL (°)=0.588×aSS+30.522, L4-S1 LL (°)=0.165×aSS-0.248×aPT+32.825, lordosis distribution index (%)=-0.662×PI+102.8.

Conclusions: Novel relationships in a healthy population were identified between the anatomical characteristics of the pelvis and standing sagittal parameters not represented by PI. This novel measurement concept based on the APP may estimate natural standing sagittal alignments and proportions using anatomical pelvic parameters in ASD.

Abstract Image

Abstract Image

骨盆前平面解剖参数:与健康志愿者站立矢状脊柱直线和估计腰椎直线的关系
为了估计成人脊柱畸形(ASD)患者的自然站立矢状面对齐,我们之前报道了健康人群中基于骨盆前平面(APP)的骨盆解剖参数的规范值,并观察了站立姿势时骨盆解剖参数与体位参数之间的关系。作为第二步,我们的目标是研究健康人群中骨盆解剖参数与站立脊柱矢状位对齐之间的关系。方法:对140名日本健康志愿者(平均年龄39.5岁;59.3%的女性)。APP由双侧髂前上棘和耻骨联合前表面确定。解剖骶骨斜率(aSS)和解剖骨盆倾斜(aPT)作为SS和PT相对于APP的角度。结果:APP在矢状面平均前倾0.7°。除了颈椎前凸和T4-12胸椎后凸(TK)外,骨盆解剖参数与站立矢状面参数显著相关(结论:在健康人群中,骨盆解剖特征与站立矢状面参数之间存在新的关系,而PI不代表站立矢状面参数。这种基于APP的新颖测量概念可以利用ASD的骨盆解剖参数来估计自然站立矢状位和比例。
本文章由计算机程序翻译,如有差异,请以英文原文为准。
求助全文
约1分钟内获得全文 求助全文
来源期刊
CiteScore
1.80
自引率
0.00%
发文量
71
审稿时长
15 weeks
×
引用
GB/T 7714-2015
复制
MLA
复制
APA
复制
导出至
BibTeX EndNote RefMan NoteFirst NoteExpress
×
提示
您的信息不完整,为了账户安全,请先补充。
现在去补充
×
提示
您因"违规操作"
具体请查看互助需知
我知道了
×
提示
确定
请完成安全验证×
copy
已复制链接
快去分享给好友吧!
我知道了
右上角分享
点击右上角分享
0
联系我们:info@booksci.cn Book学术提供免费学术资源搜索服务,方便国内外学者检索中英文文献。致力于提供最便捷和优质的服务体验。 Copyright © 2023 布克学术 All rights reserved.
京ICP备2023020795号-1
ghs 京公网安备 11010802042870号
Book学术文献互助
Book学术文献互助群
群 号:604180095
Book学术官方微信