Chronic Lymphocytic Lymphoma Complicated by Mycobacterium Avium and Scedosporium Apiospermum.

Q3 Medicine
European journal of case reports in internal medicine Pub Date : 2025-07-17 eCollection Date: 2025-01-01 DOI:10.12890/2025_005621
Dhiran Sivasubramanian, Bala Vignesh Kalyanasundaram, Nithish Nanda Palanisamy, Sivakumar Nagaraju
{"title":"Chronic Lymphocytic Lymphoma Complicated by Mycobacterium Avium and Scedosporium Apiospermum.","authors":"Dhiran Sivasubramanian, Bala Vignesh Kalyanasundaram, Nithish Nanda Palanisamy, Sivakumar Nagaraju","doi":"10.12890/2025_005621","DOIUrl":null,"url":null,"abstract":"<p><strong>Introduction: </strong>Chronic lymphocytic leukaemia (CLL), the most common adult leukaemia in Western countries, poses unique management challenges, particularly when complicated by opportunistic infections. This report presents a rare case of CLL with concurrent <i>Mycobacterium avium</i> and <i>Scedosporium apiospermum</i> infections-pathogens increasingly recognized for causing severe disease in immunocompromised individuals. Their coexistence highlights the need for heightened awareness of diverse infectious complications in CLL patients.</p><p><strong>Case description: </strong>We present a case of a 78-year-old male with CLL receiving chemotherapy, who developed burning pain in the tongue and oral mucosa, accompanied by a non-productive cough. He was initially diagnosed with pneumonia, but further investigation revealed co-infection involving <i>M. avium</i> and <i>S. apiospermum</i>.</p><p><strong>Discussion: </strong>The coexistence of <i>M. avium</i> and <i>S. apiospermum</i> underscores the complexity of infectious complications in CLL. The patient's chemotherapy was halted due to active pneumonitis observed on imaging in order to improve his leukocyte count. Antifungal therapy was not initiated due to a lack of evidence of invasive fungal infection. Antimycobacterial therapy for <i>M. avium</i> complex was initiated.</p><p><strong>Conclusion: </strong>This case highlights the necessity of a multidisciplinary approach and continued research to optimize management strategies and improve outcomes in CLL patients with dual infections.</p><p><strong>Learning points: </strong>A high index of suspicion is needed for rare infections, such as <i>Mycobacterium avium</i> and <i>Scedosporium apiospermum</i>, when typical symptoms are absent or mild in immunocompromised patients with chronic lymphocytic leukaemia.An individualized, evidence-based approach is needed in choosing the treatment for opportunistic organisms while withholding cancer therapy.</p>","PeriodicalId":11908,"journal":{"name":"European journal of case reports in internal medicine","volume":"12 8","pages":"005621"},"PeriodicalIF":0.0000,"publicationDate":"2025-07-17","publicationTypes":"Journal Article","fieldsOfStudy":null,"isOpenAccess":false,"openAccessPdf":"https://www.ncbi.nlm.nih.gov/pmc/articles/PMC12331267/pdf/","citationCount":"0","resultStr":null,"platform":"Semanticscholar","paperid":null,"PeriodicalName":"European journal of case reports in internal medicine","FirstCategoryId":"1085","ListUrlMain":"https://doi.org/10.12890/2025_005621","RegionNum":0,"RegionCategory":null,"ArticlePicture":[],"TitleCN":null,"AbstractTextCN":null,"PMCID":null,"EPubDate":"2025/1/1 0:00:00","PubModel":"eCollection","JCR":"Q3","JCRName":"Medicine","Score":null,"Total":0}
引用次数: 0

Abstract

Introduction: Chronic lymphocytic leukaemia (CLL), the most common adult leukaemia in Western countries, poses unique management challenges, particularly when complicated by opportunistic infections. This report presents a rare case of CLL with concurrent Mycobacterium avium and Scedosporium apiospermum infections-pathogens increasingly recognized for causing severe disease in immunocompromised individuals. Their coexistence highlights the need for heightened awareness of diverse infectious complications in CLL patients.

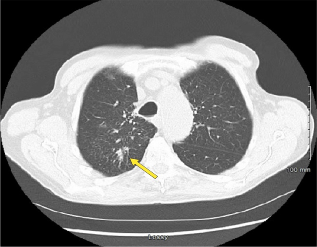
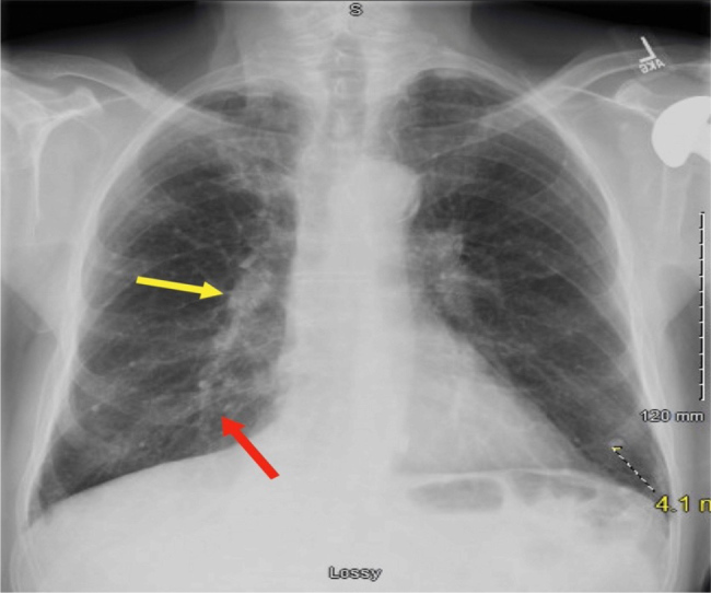
Case description: We present a case of a 78-year-old male with CLL receiving chemotherapy, who developed burning pain in the tongue and oral mucosa, accompanied by a non-productive cough. He was initially diagnosed with pneumonia, but further investigation revealed co-infection involving M. avium and S. apiospermum.

Discussion: The coexistence of M. avium and S. apiospermum underscores the complexity of infectious complications in CLL. The patient's chemotherapy was halted due to active pneumonitis observed on imaging in order to improve his leukocyte count. Antifungal therapy was not initiated due to a lack of evidence of invasive fungal infection. Antimycobacterial therapy for M. avium complex was initiated.

Conclusion: This case highlights the necessity of a multidisciplinary approach and continued research to optimize management strategies and improve outcomes in CLL patients with dual infections.

Learning points: A high index of suspicion is needed for rare infections, such as Mycobacterium avium and Scedosporium apiospermum, when typical symptoms are absent or mild in immunocompromised patients with chronic lymphocytic leukaemia.An individualized, evidence-based approach is needed in choosing the treatment for opportunistic organisms while withholding cancer therapy.

Abstract Image

Abstract Image

慢性淋巴细胞性淋巴瘤合并鸟分枝杆菌和顶精子隐孢子菌。
慢性淋巴细胞白血病(CLL)是西方国家最常见的成人白血病,它带来了独特的管理挑战,特别是当合并机会性感染时。本报告报告了一例罕见的CLL并发鸟分枝杆菌和顶精子隐孢子菌感染的病例,这些病原体越来越被认为在免疫功能低下的个体中引起严重的疾病。它们的共存突出了需要提高对CLL患者各种感染并发症的认识。病例描述:我们报告了一例78岁的CLL患者接受化疗,他出现了舌头和口腔黏膜灼痛,并伴有非生产性咳嗽。他最初被诊断为肺炎,但进一步的调查显示合并感染涉及鸟支原体和顶孢链球菌。讨论:鸟分枝杆菌和尖孢链球菌的共存强调了CLL感染并发症的复杂性。由于影像学观察到活动性肺炎,患者停止化疗,以改善白细胞计数。由于缺乏侵袭性真菌感染的证据,未开始抗真菌治疗。开始了对鸟分枝杆菌复合体的抗细菌治疗。结论:该病例强调了多学科方法和持续研究的必要性,以优化双重感染的CLL患者的管理策略和改善预后。学习要点:当慢性淋巴细胞白血病的免疫功能低下患者没有典型症状或症状轻微时,需要高度怀疑罕见感染,如鸟分枝杆菌和尖孢梭菌。在拒绝癌症治疗的同时,需要一种个性化的、基于证据的方法来选择机会性生物体的治疗方法。
本文章由计算机程序翻译,如有差异,请以英文原文为准。
求助全文
约1分钟内获得全文 求助全文
来源期刊
CiteScore
2.10
自引率
0.00%
发文量
166
审稿时长
8 weeks
期刊介绍: The European Journal of Case Reports in Internal Medicine is an official journal of the European Federation of Internal Medicine (EFIM), representing 35 national societies from 33 European countries. The Journal''s mission is to promote the best medical practice and innovation in the field of acute and general medicine. It also provides a forum for internal medicine doctors where they can share new approaches with the aim of improving diagnostic and clinical skills in this field. EJCRIM welcomes high-quality case reports describing unusual or complex cases that an internist may encounter in everyday practice. The cases should either demonstrate the appropriateness of a diagnostic/therapeutic approach, describe a new procedure or maneuver, or show unusual manifestations of a disease or unexpected reactions. The Journal only accepts and publishes those case reports whose learning points provide new insight and/or contribute to advancing medical knowledge both in terms of diagnostics and therapeutic approaches. Case reports of medical errors, therefore, are also welcome as long as they provide innovative measures on how to prevent them in the current practice (Instructive Errors). The Journal may also consider brief and reasoned reports on issues relevant to the practice of Internal Medicine, as well as Abstracts submitted to the scientific meetings of acknowledged medical societies.
×
引用
GB/T 7714-2015
复制
MLA
复制
APA
复制
导出至
BibTeX EndNote RefMan NoteFirst NoteExpress
×
提示
您的信息不完整,为了账户安全,请先补充。
现在去补充
×
提示
您因"违规操作"
具体请查看互助需知
我知道了
×
提示
确定
请完成安全验证×
copy
已复制链接
快去分享给好友吧!
我知道了
右上角分享
点击右上角分享
0
联系我们:info@booksci.cn Book学术提供免费学术资源搜索服务,方便国内外学者检索中英文文献。致力于提供最便捷和优质的服务体验。 Copyright © 2023 布克学术 All rights reserved.
京ICP备2023020795号-1
ghs 京公网安备 11010802042870号
Book学术文献互助
Book学术文献互助群
群 号:604180095
Book学术官方微信