CD4+ Lymphocytopenia and Pneumocystis Jirovecii Pneumonia in A Metastatic Breast Cancer Patient Treated with Palbociclib and Corticosteroids.

Q3 Medicine
European journal of case reports in internal medicine Pub Date : 2025-07-11 eCollection Date: 2025-01-01 DOI:10.12890/2025_005519
Shahar Dekel, Emmanuelle Alaluf, Tal Sella, Avshalom Leibowitz, Ana Belkin
{"title":"CD4+ Lymphocytopenia and Pneumocystis Jirovecii Pneumonia in A Metastatic Breast Cancer Patient Treated with Palbociclib and Corticosteroids.","authors":"Shahar Dekel, Emmanuelle Alaluf, Tal Sella, Avshalom Leibowitz, Ana Belkin","doi":"10.12890/2025_005519","DOIUrl":null,"url":null,"abstract":"<p><strong>Background: </strong>Palbociclib, a cyclin-dependent kinase 4 and 6 (CDK4/6) inhibitor used to treat metastatic breast cancer, is known to cause myelotoxicity and primarily neutropenia, but its potential to induce severe lymphopenia and opportunistic infections is less understood.</p><p><strong>Case description: </strong>A 61-year-old woman with metastatic breast cancer treated with palbociclib and corticosteroids was admitted with fever and general weakness. Chest radiography and computed tomography showed bilateral consolidation. She was diagnosed with severe cellular immunodeficiency, very low CD4+ T cell count and several opportunistic infections including Pneumocystis jirovecii pneumonia (PCP).</p><p><strong>Conclusion: </strong>This case underscores the need for monitoring lymphocyte counts in patients on CDK4/6 inhibitors, particularly those on concomitant corticosteroid therapy. and considering the risk for opportunistic infections in relevant patients.</p><p><strong>Learning points: </strong>Palbociclib, a CDK4/6 inhibitor, may be associated with severe immunosuppression and low CD4+ T cell count.There may a greater risk for patients with additional risk factors such as concomitant corticosteroid therapy.Significant opportunistic infections such as Pneumocystis jirovecii pneumonia should be considered in clinically relevant patients.Safety measures should be taken such as blood count monitoring and even consideration of an antibiotic prophylaxis in relevant patients.</p>","PeriodicalId":11908,"journal":{"name":"European journal of case reports in internal medicine","volume":"12 8","pages":"005519"},"PeriodicalIF":0.0000,"publicationDate":"2025-07-11","publicationTypes":"Journal Article","fieldsOfStudy":null,"isOpenAccess":false,"openAccessPdf":"https://www.ncbi.nlm.nih.gov/pmc/articles/PMC12331285/pdf/","citationCount":"0","resultStr":null,"platform":"Semanticscholar","paperid":null,"PeriodicalName":"European journal of case reports in internal medicine","FirstCategoryId":"1085","ListUrlMain":"https://doi.org/10.12890/2025_005519","RegionNum":0,"RegionCategory":null,"ArticlePicture":[],"TitleCN":null,"AbstractTextCN":null,"PMCID":null,"EPubDate":"2025/1/1 0:00:00","PubModel":"eCollection","JCR":"Q3","JCRName":"Medicine","Score":null,"Total":0}
引用次数: 0

Abstract

Background: Palbociclib, a cyclin-dependent kinase 4 and 6 (CDK4/6) inhibitor used to treat metastatic breast cancer, is known to cause myelotoxicity and primarily neutropenia, but its potential to induce severe lymphopenia and opportunistic infections is less understood.

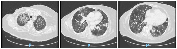
Case description: A 61-year-old woman with metastatic breast cancer treated with palbociclib and corticosteroids was admitted with fever and general weakness. Chest radiography and computed tomography showed bilateral consolidation. She was diagnosed with severe cellular immunodeficiency, very low CD4+ T cell count and several opportunistic infections including Pneumocystis jirovecii pneumonia (PCP).

Conclusion: This case underscores the need for monitoring lymphocyte counts in patients on CDK4/6 inhibitors, particularly those on concomitant corticosteroid therapy. and considering the risk for opportunistic infections in relevant patients.

Learning points: Palbociclib, a CDK4/6 inhibitor, may be associated with severe immunosuppression and low CD4+ T cell count.There may a greater risk for patients with additional risk factors such as concomitant corticosteroid therapy.Significant opportunistic infections such as Pneumocystis jirovecii pneumonia should be considered in clinically relevant patients.Safety measures should be taken such as blood count monitoring and even consideration of an antibiotic prophylaxis in relevant patients.

Abstract Image

Abstract Image

帕博西尼和皮质类固醇治疗的转移性乳腺癌患者CD4+淋巴细胞减少症和肺囊虫肺炎
背景:帕博西尼是一种用于治疗转移性乳腺癌的细胞周期蛋白依赖性激酶4和6 (CDK4/6)抑制剂,已知可引起骨髓毒性,主要是中性粒细胞减少,但其诱导严重淋巴细胞减少和机会性感染的潜力尚不清楚。病例描述:一名61岁的转移性乳腺癌妇女接受帕博西尼和皮质类固醇治疗,因发烧和全身虚弱入院。胸部x线摄影和计算机断层扫描显示双侧实变。她被诊断为严重的细胞免疫缺陷,CD4+ T细胞计数非常低,并有几次机会性感染,包括吉氏肺囊虫肺炎(PCP)。结论:本病例强调了监测CDK4/6抑制剂患者淋巴细胞计数的必要性,特别是那些同时接受皮质类固醇治疗的患者。并考虑相关患者机会性感染的风险。学习要点:帕博西尼是一种CDK4/6抑制剂,可能与严重的免疫抑制和低CD4+ T细胞计数有关。有其他危险因素的患者,如同时使用皮质类固醇治疗,可能有更大的风险。在临床相关患者中应考虑明显的机会性感染,如乙氏肺囊虫肺炎。应采取安全措施,如血细胞计数监测,甚至考虑对相关患者进行抗生素预防。
本文章由计算机程序翻译,如有差异,请以英文原文为准。
求助全文
约1分钟内获得全文 求助全文
来源期刊
CiteScore
2.10
自引率
0.00%
发文量
166
审稿时长
8 weeks
期刊介绍: The European Journal of Case Reports in Internal Medicine is an official journal of the European Federation of Internal Medicine (EFIM), representing 35 national societies from 33 European countries. The Journal''s mission is to promote the best medical practice and innovation in the field of acute and general medicine. It also provides a forum for internal medicine doctors where they can share new approaches with the aim of improving diagnostic and clinical skills in this field. EJCRIM welcomes high-quality case reports describing unusual or complex cases that an internist may encounter in everyday practice. The cases should either demonstrate the appropriateness of a diagnostic/therapeutic approach, describe a new procedure or maneuver, or show unusual manifestations of a disease or unexpected reactions. The Journal only accepts and publishes those case reports whose learning points provide new insight and/or contribute to advancing medical knowledge both in terms of diagnostics and therapeutic approaches. Case reports of medical errors, therefore, are also welcome as long as they provide innovative measures on how to prevent them in the current practice (Instructive Errors). The Journal may also consider brief and reasoned reports on issues relevant to the practice of Internal Medicine, as well as Abstracts submitted to the scientific meetings of acknowledged medical societies.
×
引用
GB/T 7714-2015
复制
MLA
复制
APA
复制
导出至
BibTeX EndNote RefMan NoteFirst NoteExpress
×
提示
您的信息不完整,为了账户安全,请先补充。
现在去补充
×
提示
您因"违规操作"
具体请查看互助需知
我知道了
×
提示
确定
请完成安全验证×
copy
已复制链接
快去分享给好友吧!
我知道了
右上角分享
点击右上角分享
0
联系我们:info@booksci.cn Book学术提供免费学术资源搜索服务,方便国内外学者检索中英文文献。致力于提供最便捷和优质的服务体验。 Copyright © 2023 布克学术 All rights reserved.
京ICP备2023020795号-1
ghs 京公网安备 11010802042870号
Book学术文献互助
Book学术文献互助群
群 号:604180095
Book学术官方微信