A Case of Pneumococcal Periaortitis: Periaortitis is not Always Autoimmune.

Q3 Medicine
European journal of case reports in internal medicine Pub Date : 2025-07-23 eCollection Date: 2025-01-01 DOI:10.12890/2025_005633
Georges El Hasbani, John Wilson, Kenneth Warrington
{"title":"A Case of Pneumococcal Periaortitis: Periaortitis is not Always Autoimmune.","authors":"Georges El Hasbani, John Wilson, Kenneth Warrington","doi":"10.12890/2025_005633","DOIUrl":null,"url":null,"abstract":"<p><strong>Introduction: </strong>Periaortitis is a rare inflammatory condition with both infectious and non-infectious aetiologies, often presenting a diagnostic challenge. A comprehensive evaluation-including history, physical examination, imaging, and a broad infectious work-up-is essential, as negative blood cultures do not rule out infection, and premature use of glucocorticoids may be harmful in cases of infectious periaortitis.</p><p><strong>Case description: </strong>We report the case of a 70-year-old man presenting with flank pain and periaortitis, in whom positron emission tomography/computed tomography (PET/CT) scan revealed moderate-to-severe <sup>18</sup>F-fluorodeoxyglucose (FDG) uptake. Despite negative cultures, a Karius test and urine antigen confirmed <i>Streptococcus pneumoniae</i> as the causative agent. The patient underwent successful open surgical repair of a mycotic pararenal abdominal aortic aneurysm, followed by targeted antibiotic therapy.</p><p><strong>Discussion: </strong>Pneumococcal periaortitis is a rare condition with few reported cases, though <i>S. pneumoniae</i> has been implicated in various vascular infections including mycotic aneurysms, and diagnostic challenges persist, especially when blood cultures are negative. The Karius Spectrum<sup>™</sup>, despite its cost and limited guidance for use, and FDG-PET/CT imaging have emerged as helpful tools in identifying infectious aetiologies, with high maximum standardized uptake value values favouring infection over autoimmune causes, as seen in this case.</p><p><strong>Conclusion: </strong>Infectious periaortitis should be suspected when there is a high uptake of FDG on PET/CT prompting an infectious disease work-up which may include a Karius test.</p><p><strong>Learning points: </strong>Periaortitis may have an autoimmune aetiology; however, an infectious cause should always be considered, particularly when there is high <sup>18</sup>F-fluorodeoxyglucose uptake on positron emission tomography/computed tomography imaging.<i>Streptococcus pneumoniae</i> is a rare cause of periaortitis and has been more commonly reported in association with mycotic aneurysms.Microbial cell-free deoxyribonucleic acid testing, such as the Karius test, may be a useful tool for identifying specific bacteria, especially when blood cultures are negative.</p>","PeriodicalId":11908,"journal":{"name":"European journal of case reports in internal medicine","volume":"12 8","pages":"005633"},"PeriodicalIF":0.0000,"publicationDate":"2025-07-23","publicationTypes":"Journal Article","fieldsOfStudy":null,"isOpenAccess":false,"openAccessPdf":"https://www.ncbi.nlm.nih.gov/pmc/articles/PMC12331271/pdf/","citationCount":"0","resultStr":null,"platform":"Semanticscholar","paperid":null,"PeriodicalName":"European journal of case reports in internal medicine","FirstCategoryId":"1085","ListUrlMain":"https://doi.org/10.12890/2025_005633","RegionNum":0,"RegionCategory":null,"ArticlePicture":[],"TitleCN":null,"AbstractTextCN":null,"PMCID":null,"EPubDate":"2025/1/1 0:00:00","PubModel":"eCollection","JCR":"Q3","JCRName":"Medicine","Score":null,"Total":0}
引用次数: 0

Abstract

Introduction: Periaortitis is a rare inflammatory condition with both infectious and non-infectious aetiologies, often presenting a diagnostic challenge. A comprehensive evaluation-including history, physical examination, imaging, and a broad infectious work-up-is essential, as negative blood cultures do not rule out infection, and premature use of glucocorticoids may be harmful in cases of infectious periaortitis.

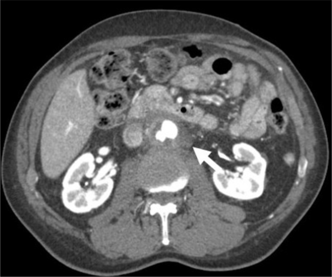
Case description: We report the case of a 70-year-old man presenting with flank pain and periaortitis, in whom positron emission tomography/computed tomography (PET/CT) scan revealed moderate-to-severe 18F-fluorodeoxyglucose (FDG) uptake. Despite negative cultures, a Karius test and urine antigen confirmed Streptococcus pneumoniae as the causative agent. The patient underwent successful open surgical repair of a mycotic pararenal abdominal aortic aneurysm, followed by targeted antibiotic therapy.

Discussion: Pneumococcal periaortitis is a rare condition with few reported cases, though S. pneumoniae has been implicated in various vascular infections including mycotic aneurysms, and diagnostic challenges persist, especially when blood cultures are negative. The Karius Spectrum, despite its cost and limited guidance for use, and FDG-PET/CT imaging have emerged as helpful tools in identifying infectious aetiologies, with high maximum standardized uptake value values favouring infection over autoimmune causes, as seen in this case.

Conclusion: Infectious periaortitis should be suspected when there is a high uptake of FDG on PET/CT prompting an infectious disease work-up which may include a Karius test.

Learning points: Periaortitis may have an autoimmune aetiology; however, an infectious cause should always be considered, particularly when there is high 18F-fluorodeoxyglucose uptake on positron emission tomography/computed tomography imaging.Streptococcus pneumoniae is a rare cause of periaortitis and has been more commonly reported in association with mycotic aneurysms.Microbial cell-free deoxyribonucleic acid testing, such as the Karius test, may be a useful tool for identifying specific bacteria, especially when blood cultures are negative.

Abstract Image

Abstract Image

Abstract Image

肺炎球菌性大动脉周围炎1例:大动脉周围炎并不总是自身免疫性的。
摘要:主动脉周炎是一种罕见的感染性和非感染性的炎症性疾病,通常是诊断上的挑战。全面的评估——包括病史、体格检查、影像学检查和广泛的感染性检查——是必要的,因为阴性血培养不能排除感染,过早使用糖皮质激素可能对感染性动脉周炎有害。病例描述:我们报告一例70岁男性患者,表现为侧腹疼痛和主动脉周围炎,其正电子发射断层扫描/计算机断层扫描(PET/CT)显示中度至重度18f -氟脱氧葡萄糖(FDG)摄取。尽管培养阴性,卡里乌斯试验和尿抗原证实肺炎链球菌为病原体。患者接受了成功的开放性手术修复真菌性肾旁腹主动脉瘤,随后进行了靶向抗生素治疗。讨论:肺炎球菌性主动脉周炎是一种罕见的疾病,报道的病例很少,尽管肺炎链球菌与包括真菌性动脉瘤在内的各种血管感染有关,但诊断仍然存在挑战,特别是当血培养呈阴性时。尽管Karius Spectrum™成本高且使用指南有限,但FDG-PET/CT成像已成为识别感染病因的有用工具,如本病例所示,其最大标准化摄取值高于自身免疫性原因,有利于感染。结论:当PET/CT显示FDG高摄取时,应怀疑感染性主动脉周炎,提示感染性疾病检查,可能包括卡里乌斯试验。学习要点:动脉周围炎可能有自身免疫性病因;然而,应始终考虑感染原因,特别是当正电子发射断层扫描/计算机断层扫描成像显示高18f -氟脱氧葡萄糖摄取时。肺炎链球菌是一种罕见的引起动脉周炎的原因,更常见的报道是与真菌性动脉瘤有关。微生物无细胞脱氧核糖核酸测试,如卡里乌斯试验,可能是识别特定细菌的有用工具,特别是当血液培养呈阴性时。
本文章由计算机程序翻译,如有差异,请以英文原文为准。
求助全文
约1分钟内获得全文 求助全文
来源期刊
CiteScore
2.10
自引率
0.00%
发文量
166
审稿时长
8 weeks
期刊介绍: The European Journal of Case Reports in Internal Medicine is an official journal of the European Federation of Internal Medicine (EFIM), representing 35 national societies from 33 European countries. The Journal''s mission is to promote the best medical practice and innovation in the field of acute and general medicine. It also provides a forum for internal medicine doctors where they can share new approaches with the aim of improving diagnostic and clinical skills in this field. EJCRIM welcomes high-quality case reports describing unusual or complex cases that an internist may encounter in everyday practice. The cases should either demonstrate the appropriateness of a diagnostic/therapeutic approach, describe a new procedure or maneuver, or show unusual manifestations of a disease or unexpected reactions. The Journal only accepts and publishes those case reports whose learning points provide new insight and/or contribute to advancing medical knowledge both in terms of diagnostics and therapeutic approaches. Case reports of medical errors, therefore, are also welcome as long as they provide innovative measures on how to prevent them in the current practice (Instructive Errors). The Journal may also consider brief and reasoned reports on issues relevant to the practice of Internal Medicine, as well as Abstracts submitted to the scientific meetings of acknowledged medical societies.
×
引用
GB/T 7714-2015
复制
MLA
复制
APA
复制
导出至
BibTeX EndNote RefMan NoteFirst NoteExpress
×
提示
您的信息不完整,为了账户安全,请先补充。
现在去补充
×
提示
您因"违规操作"
具体请查看互助需知
我知道了
×
提示
确定
请完成安全验证×
copy
已复制链接
快去分享给好友吧!
我知道了
右上角分享
点击右上角分享
0
联系我们:info@booksci.cn Book学术提供免费学术资源搜索服务,方便国内外学者检索中英文文献。致力于提供最便捷和优质的服务体验。 Copyright © 2023 布克学术 All rights reserved.
京ICP备2023020795号-1
ghs 京公网安备 11010802042870号
Book学术文献互助
Book学术文献互助群
群 号:604180095
Book学术官方微信