Superior Vena Cava Syndrome Mimicking an Allergic Angioedema: A Diagnostic Odyssey from Allergic Reaction to Mediastinal B-Cell Lymphoma.

Q3 Medicine
European journal of case reports in internal medicine Pub Date : 2025-07-03 eCollection Date: 2025-01-01 DOI:10.12890/2025_005577
Simone Burgener-Enderli, Andreas Schmitt, Stefano Bassetti, Mark Kirsch
{"title":"Superior Vena Cava Syndrome Mimicking an Allergic Angioedema: A Diagnostic Odyssey from Allergic Reaction to Mediastinal B-Cell Lymphoma.","authors":"Simone Burgener-Enderli, Andreas Schmitt, Stefano Bassetti, Mark Kirsch","doi":"10.12890/2025_005577","DOIUrl":null,"url":null,"abstract":"<p><p>An 18-year-old woman presented to her general practitioner with a history of non-itching facial swelling, erythematous skin rash and a slightly coarse voice for a few days. She denied dyspnoea, B-symptoms and pain. Physical examination revealed generalized facial and neck swelling not involving the tongue or the oral mucous membranes. There was no lymphadenopathy. These findings resulted in the diagnosis of allergic angioedema and in oral treatment with corticosteroids and antihistamines. The swelling responded partially but reoccurred with dose reduction of the corticosteroids. Outpatient referrals to a dermatologist, an endocrinologist and a rheumatologist resulted in confirmation of the diagnosis of allergic angioedema, suspected iatrogenic Cushing syndrome and possible connective tissue disease, respectively. Three months after the first outpatient presentation the patient was admitted to our hospital with severe fatigue and left-sided chest pain. The clinical examination showed the known facial and neck swelling- and a sinus tachycardia (120 bpm) without any fever. Furthermore, the neck swelling seemed to be slightly asymmetrical. This was accompanied by leucocytosis, elevated C-reactive protein, and lactate dehydrogenase. An electrocardiogram showed sinus tachycardia (120/min) with a S1Q3-type. An ultrasound of the neck showed thrombosis of the left jugular vein. Subsequent computed tomography scan of the chest revealed a large mediastinal mass causing acute superior vena cava syndrome. Mediastinal large B-cell lymphoma was confirmed by biopsy. The patient underwent six cycles of DA-R-EPOCH (rituximab, etoposide, prednisolone, vincristine, cyclophosphamide, doxorubicin). Treatment resulted in complete response.</p><p><strong>Learning points: </strong>Vena cava superior syndrome is caused in over 60% of the cases by malignancies (bronchogenic carcinoma, lymphoma, germ cell tumour).Facial swelling, plethora of the upper chest without itchiness and hoarseness are classical symptoms of thoracic central venous obstruction.At every patient visit open-minded clinical reasoning should be used to avoid anchoring bias.</p>","PeriodicalId":11908,"journal":{"name":"European journal of case reports in internal medicine","volume":"12 8","pages":"005577"},"PeriodicalIF":0.0000,"publicationDate":"2025-07-03","publicationTypes":"Journal Article","fieldsOfStudy":null,"isOpenAccess":false,"openAccessPdf":"https://www.ncbi.nlm.nih.gov/pmc/articles/PMC12331284/pdf/","citationCount":"0","resultStr":null,"platform":"Semanticscholar","paperid":null,"PeriodicalName":"European journal of case reports in internal medicine","FirstCategoryId":"1085","ListUrlMain":"https://doi.org/10.12890/2025_005577","RegionNum":0,"RegionCategory":null,"ArticlePicture":[],"TitleCN":null,"AbstractTextCN":null,"PMCID":null,"EPubDate":"2025/1/1 0:00:00","PubModel":"eCollection","JCR":"Q3","JCRName":"Medicine","Score":null,"Total":0}
引用次数: 0

Abstract

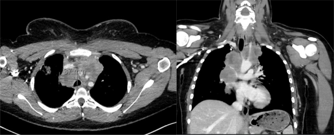
An 18-year-old woman presented to her general practitioner with a history of non-itching facial swelling, erythematous skin rash and a slightly coarse voice for a few days. She denied dyspnoea, B-symptoms and pain. Physical examination revealed generalized facial and neck swelling not involving the tongue or the oral mucous membranes. There was no lymphadenopathy. These findings resulted in the diagnosis of allergic angioedema and in oral treatment with corticosteroids and antihistamines. The swelling responded partially but reoccurred with dose reduction of the corticosteroids. Outpatient referrals to a dermatologist, an endocrinologist and a rheumatologist resulted in confirmation of the diagnosis of allergic angioedema, suspected iatrogenic Cushing syndrome and possible connective tissue disease, respectively. Three months after the first outpatient presentation the patient was admitted to our hospital with severe fatigue and left-sided chest pain. The clinical examination showed the known facial and neck swelling- and a sinus tachycardia (120 bpm) without any fever. Furthermore, the neck swelling seemed to be slightly asymmetrical. This was accompanied by leucocytosis, elevated C-reactive protein, and lactate dehydrogenase. An electrocardiogram showed sinus tachycardia (120/min) with a S1Q3-type. An ultrasound of the neck showed thrombosis of the left jugular vein. Subsequent computed tomography scan of the chest revealed a large mediastinal mass causing acute superior vena cava syndrome. Mediastinal large B-cell lymphoma was confirmed by biopsy. The patient underwent six cycles of DA-R-EPOCH (rituximab, etoposide, prednisolone, vincristine, cyclophosphamide, doxorubicin). Treatment resulted in complete response.

Learning points: Vena cava superior syndrome is caused in over 60% of the cases by malignancies (bronchogenic carcinoma, lymphoma, germ cell tumour).Facial swelling, plethora of the upper chest without itchiness and hoarseness are classical symptoms of thoracic central venous obstruction.At every patient visit open-minded clinical reasoning should be used to avoid anchoring bias.

Abstract Image

Abstract Image

模拟过敏性血管水肿的上腔静脉综合征:对纵隔b细胞淋巴瘤的过敏反应的诊断奥德赛。
一名18岁女性,因面部无瘙痒性肿胀、红斑性皮疹和轻微粗音数日就诊全科医生。她否认呼吸困难b症状和疼痛体格检查发现广泛性面部和颈部肿胀,不累及舌头或口腔粘膜。无淋巴结病变。这些结果导致过敏性血管性水肿的诊断和口服皮质类固醇和抗组胺药治疗。肿胀部分缓解,但随着皮质类固醇剂量的减少再次发生。门诊转诊皮肤科医生、内分泌科医生和风湿科医生,分别确诊为过敏性血管性水肿、疑似医源性库欣综合征和可能的结缔组织病。首次门诊就诊三个月后,患者因严重疲劳和左侧胸痛入院。临床检查显示面部和颈部肿胀,窦性心动过速(每分钟120次),无发热。此外,颈部肿胀似乎略有不对称。伴有白细胞增多、c反应蛋白升高和乳酸脱氢酶升高。心电图示窦性心动过速(120/min),为s1q3型。颈部超声检查显示左颈静脉血栓形成。随后的胸部计算机断层扫描显示一个大的纵隔肿块引起急性上腔静脉综合征。纵隔大b细胞淋巴瘤活检证实。患者接受了6个周期的DA-R-EPOCH(利妥昔单抗、依托泊苷、强的松龙、长春新碱、环磷酰胺、阿霉素)治疗。治疗后完全缓解。学习要点:60%以上的病例由恶性肿瘤(支气管癌、淋巴瘤、生殖细胞瘤)引起的上腔静脉综合征。面部肿胀、上胸肿大而无瘙痒和声音嘶哑是胸中央静脉阻塞的典型症状。在每次患者就诊时,应使用开放的临床推理来避免锚定偏差。
本文章由计算机程序翻译,如有差异,请以英文原文为准。
求助全文
约1分钟内获得全文 求助全文
来源期刊
CiteScore
2.10
自引率
0.00%
发文量
166
审稿时长
8 weeks
期刊介绍: The European Journal of Case Reports in Internal Medicine is an official journal of the European Federation of Internal Medicine (EFIM), representing 35 national societies from 33 European countries. The Journal''s mission is to promote the best medical practice and innovation in the field of acute and general medicine. It also provides a forum for internal medicine doctors where they can share new approaches with the aim of improving diagnostic and clinical skills in this field. EJCRIM welcomes high-quality case reports describing unusual or complex cases that an internist may encounter in everyday practice. The cases should either demonstrate the appropriateness of a diagnostic/therapeutic approach, describe a new procedure or maneuver, or show unusual manifestations of a disease or unexpected reactions. The Journal only accepts and publishes those case reports whose learning points provide new insight and/or contribute to advancing medical knowledge both in terms of diagnostics and therapeutic approaches. Case reports of medical errors, therefore, are also welcome as long as they provide innovative measures on how to prevent them in the current practice (Instructive Errors). The Journal may also consider brief and reasoned reports on issues relevant to the practice of Internal Medicine, as well as Abstracts submitted to the scientific meetings of acknowledged medical societies.
×
引用
GB/T 7714-2015
复制
MLA
复制
APA
复制
导出至
BibTeX EndNote RefMan NoteFirst NoteExpress
×
提示
您的信息不完整,为了账户安全,请先补充。
现在去补充
×
提示
您因"违规操作"
具体请查看互助需知
我知道了
×
提示
确定
请完成安全验证×
copy
已复制链接
快去分享给好友吧!
我知道了
右上角分享
点击右上角分享
0
联系我们:info@booksci.cn Book学术提供免费学术资源搜索服务,方便国内外学者检索中英文文献。致力于提供最便捷和优质的服务体验。 Copyright © 2023 布克学术 All rights reserved.
京ICP备2023020795号-1
ghs 京公网安备 11010802042870号
Book学术文献互助
Book学术文献互助群
群 号:604180095
Book学术官方微信