Metastatic Calcinosis Cutis in the Emergency Department: A Case Report.

Journal of education & teaching in emergency medicine Pub Date : 2025-07-31 eCollection Date: 2025-07-01 DOI:10.21980/J87Q00
Christian Hernandez-Zegada, Holly Conger, Brian Milman
{"title":"Metastatic Calcinosis Cutis in the Emergency Department: A Case Report.","authors":"Christian Hernandez-Zegada, Holly Conger, Brian Milman","doi":"10.21980/J87Q00","DOIUrl":null,"url":null,"abstract":"<p><p>Calcinosis cutis is a condition in which calcium-phosphate salt deposits are formed in cutaneous and subcutaneous tissue. A subtype, metastatic calcinosis cutis, can occur in patients with disorders that cause hypercalcemia or hyperphosphatemia such as end stage renal disease. We present a case of a 67-year-old man with end-stage renal disease (ESRD) on dialysis who presented to the emergency department with a draining left elbow wound. On exam, he had irregular, firm nodules palpable in the subcutaneous tissue of both large and small joints. The presence of calcinosis cutis on imaging and lack of other findings suggesting infection led to outpatient wound care treatment. Recognizing the appearance of calcinosis cutis on imaging and conditions that present with calcinosis cutis is important for the emergency physician.</p><p><strong>Topics: </strong>Calcinosis cutis, end-stage renal disease, ESRD, dialysis, subcutaneous calcifications.</p>","PeriodicalId":73721,"journal":{"name":"Journal of education & teaching in emergency medicine","volume":"10 3","pages":"V1-V4"},"PeriodicalIF":0.0000,"publicationDate":"2025-07-31","publicationTypes":"Journal Article","fieldsOfStudy":null,"isOpenAccess":false,"openAccessPdf":"https://www.ncbi.nlm.nih.gov/pmc/articles/PMC12321003/pdf/","citationCount":"0","resultStr":null,"platform":"Semanticscholar","paperid":null,"PeriodicalName":"Journal of education & teaching in emergency medicine","FirstCategoryId":"1085","ListUrlMain":"https://doi.org/10.21980/J87Q00","RegionNum":0,"RegionCategory":null,"ArticlePicture":[],"TitleCN":null,"AbstractTextCN":null,"PMCID":null,"EPubDate":"2025/7/1 0:00:00","PubModel":"eCollection","JCR":"","JCRName":"","Score":null,"Total":0}
引用次数: 0

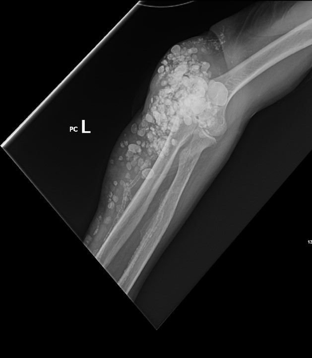
Abstract

Calcinosis cutis is a condition in which calcium-phosphate salt deposits are formed in cutaneous and subcutaneous tissue. A subtype, metastatic calcinosis cutis, can occur in patients with disorders that cause hypercalcemia or hyperphosphatemia such as end stage renal disease. We present a case of a 67-year-old man with end-stage renal disease (ESRD) on dialysis who presented to the emergency department with a draining left elbow wound. On exam, he had irregular, firm nodules palpable in the subcutaneous tissue of both large and small joints. The presence of calcinosis cutis on imaging and lack of other findings suggesting infection led to outpatient wound care treatment. Recognizing the appearance of calcinosis cutis on imaging and conditions that present with calcinosis cutis is important for the emergency physician.

Topics: Calcinosis cutis, end-stage renal disease, ESRD, dialysis, subcutaneous calcifications.

Abstract Image

Abstract Image

Abstract Image

急诊科转移性皮肤钙质沉着症1例报告
皮肤钙质沉着症是一种在皮肤和皮下组织中形成磷酸钙沉积的疾病。转移性皮肤钙质沉着症的一种亚型可发生在导致高钙血症或高磷血症的疾病(如终末期肾病)患者中。我们提出一个67岁的男子终末期肾病(ESRD)透析谁提出了急诊科引流左肘伤口。检查时,他的大小关节皮下组织均可见不规则、坚固的结节。皮肤钙质沉着在影像学上的存在和缺乏其他发现提示感染导致门诊伤口护理治疗。对急诊医生来说,在影像学上认识皮肤钙质沉着症的表现和出现皮肤钙质沉着症的条件是很重要的。主题:皮肤钙化症,终末期肾病,终末期肾病,透析,皮下钙化。
本文章由计算机程序翻译,如有差异,请以英文原文为准。
求助全文
约1分钟内获得全文 求助全文
来源期刊
自引率
0.00%
发文量
0
审稿时长
10 weeks
×
引用
GB/T 7714-2015
复制
MLA
复制
APA
复制
导出至
BibTeX EndNote RefMan NoteFirst NoteExpress
×
提示
您的信息不完整,为了账户安全,请先补充。
现在去补充
×
提示
您因"违规操作"
具体请查看互助需知
我知道了
×
提示
确定
请完成安全验证×
copy
已复制链接
快去分享给好友吧!
我知道了
右上角分享
点击右上角分享
0
联系我们:info@booksci.cn Book学术提供免费学术资源搜索服务,方便国内外学者检索中英文文献。致力于提供最便捷和优质的服务体验。 Copyright © 2023 布克学术 All rights reserved.
京ICP备2023020795号-1
ghs 京公网安备 11010802042870号
Book学术文献互助
Book学术文献互助群
群 号:604180095
Book学术官方微信