Transient systolic anterior motion in a patient with junctional rhythm in the intensive care unit.

IF 1.7 Q4 CRITICAL CARE MEDICINE
Journal of Critical Care Medicine Pub Date : 2025-07-31 eCollection Date: 2025-07-01 DOI:10.2478/jccm-2025-0021
Alfred Ibrahimi, Saimir Kuci, Ormir Shurdha, Romina Teliti
{"title":"Transient systolic anterior motion in a patient with junctional rhythm in the intensive care unit.","authors":"Alfred Ibrahimi, Saimir Kuci, Ormir Shurdha, Romina Teliti","doi":"10.2478/jccm-2025-0021","DOIUrl":null,"url":null,"abstract":"<p><p>Systolic anterior motion (SAM) of the mitral valve refers to the unusual movement of the anterior and sometimes the posterior mitral valve leaflets toward the left ventricular outflow tract (LVOT) during systole. This phenomenon is most frequently associated with the asymmetric septal variant of hypertrophic cardiomyopathy (HCM), but it can also occur in conditions like acute myocardial infarction, diabetes mellitus, hypertensive heart disease, after mitral valve repair, and even in asymptomatic individuals during dobutamine stress tests. We present a case of transient SAM induced by a junctional rhythm along with high doses of dobutamine and nitroglycerin in an intensive care unit (ICU) setting. Transesophageal echocardiography (TEE) played a crucial role in detecting SAM and showed that transitioning from a junctional rhythm to a ventricular paced rhythm led to an improvement in the SAM condition.</p>","PeriodicalId":44227,"journal":{"name":"Journal of Critical Care Medicine","volume":"11 3","pages":"307-311"},"PeriodicalIF":1.7000,"publicationDate":"2025-07-31","publicationTypes":"Journal Article","fieldsOfStudy":null,"isOpenAccess":false,"openAccessPdf":"https://www.ncbi.nlm.nih.gov/pmc/articles/PMC12321250/pdf/","citationCount":"0","resultStr":null,"platform":"Semanticscholar","paperid":null,"PeriodicalName":"Journal of Critical Care Medicine","FirstCategoryId":"1085","ListUrlMain":"https://doi.org/10.2478/jccm-2025-0021","RegionNum":0,"RegionCategory":null,"ArticlePicture":[],"TitleCN":null,"AbstractTextCN":null,"PMCID":null,"EPubDate":"2025/7/1 0:00:00","PubModel":"eCollection","JCR":"Q4","JCRName":"CRITICAL CARE MEDICINE","Score":null,"Total":0}
引用次数: 0

Abstract

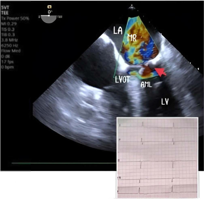
Systolic anterior motion (SAM) of the mitral valve refers to the unusual movement of the anterior and sometimes the posterior mitral valve leaflets toward the left ventricular outflow tract (LVOT) during systole. This phenomenon is most frequently associated with the asymmetric septal variant of hypertrophic cardiomyopathy (HCM), but it can also occur in conditions like acute myocardial infarction, diabetes mellitus, hypertensive heart disease, after mitral valve repair, and even in asymptomatic individuals during dobutamine stress tests. We present a case of transient SAM induced by a junctional rhythm along with high doses of dobutamine and nitroglycerin in an intensive care unit (ICU) setting. Transesophageal echocardiography (TEE) played a crucial role in detecting SAM and showed that transitioning from a junctional rhythm to a ventricular paced rhythm led to an improvement in the SAM condition.

Abstract Image

Abstract Image

Abstract Image

在重症监护病房的一过性收缩期前运动患者的结合节律。
二尖瓣收缩前运动(SAM)是指在心脏收缩期,二尖瓣前部和后部向左心室流出道(LVOT)的异常运动。这种现象最常与肥厚性心肌病(HCM)的不对称间隔变异有关,但它也可能发生在急性心肌梗死、糖尿病、高血压心脏病、二尖瓣修复后,甚至在多巴酚丁胺压力测试中无症状的个体中。我们在重症监护病房(ICU)提出了一个由高剂量多巴酚丁胺和硝酸甘油引起的暂时性SAM的病例。经食管超声心动图(TEE)在检测SAM中发挥了至关重要的作用,显示从交界性节律到心室节律的转变导致SAM病情的改善。
本文章由计算机程序翻译,如有差异,请以英文原文为准。
求助全文
约1分钟内获得全文 求助全文
来源期刊
Journal of Critical Care Medicine
Journal of Critical Care Medicine CRITICAL CARE MEDICINE-
CiteScore
2.00
自引率
9.10%
发文量
21
审稿时长
11 weeks
×
引用
GB/T 7714-2015
复制
MLA
复制
APA
复制
导出至
BibTeX EndNote RefMan NoteFirst NoteExpress
×
提示
您的信息不完整,为了账户安全,请先补充。
现在去补充
×
提示
您因"违规操作"
具体请查看互助需知
我知道了
×
提示
确定
请完成安全验证×
copy
已复制链接
快去分享给好友吧!
我知道了
右上角分享
点击右上角分享
0
联系我们:info@booksci.cn Book学术提供免费学术资源搜索服务,方便国内外学者检索中英文文献。致力于提供最便捷和优质的服务体验。 Copyright © 2023 布克学术 All rights reserved.
京ICP备2023020795号-1
ghs 京公网安备 11010802042870号
Book学术文献互助
Book学术文献互助群
群 号:604180095
Book学术官方微信