Leukemic Arthritis Mimicking Septic Arthritis in a Pediatric Patient.

Alyssa Barré, Daniel Hayes, Shawn Dripchak, Ryan Muchow
{"title":"Leukemic Arthritis Mimicking Septic Arthritis in a Pediatric Patient.","authors":"Alyssa Barré, Daniel Hayes, Shawn Dripchak, Ryan Muchow","doi":"10.1016/j.jposna.2025.100214","DOIUrl":null,"url":null,"abstract":"<p><strong>Case: </strong>A 7-year-old girl presented with a painful effusion in her right knee, fever, and a negative joint aspirate. One week later, she presented again with an effusion in her left elbow, elevated inflammatory markers, and a joint aspirate that raised concerns for septic arthritis. Irrigation and debridement of the elbow were performed, and the cultures returned negative results. Subsequently, the child experienced ongoing migratory polyarthropathy over several months, which was ultimately identified as leukemia. The initiation of chemotherapy resolved her symptoms. Although the orthopaedic literature is limited, leukemic arthritis should be considered in the differential diagnosis for a pediatric patient with a painful, swollen joint, especially when symptoms migrate without a clear cause.</p><p><strong>Key concepts: </strong>(1)Leukemic arthritis appears as a painful, swollen joint that is clinically similar to septic arthritis, based on both examination and serum and synovial laboratory values.(2)A prompt diagnosis of acute leukemia is essential as leukemic arthritis can be the first presenting symptom.(3)Recognizing and understanding leukemic arthritis is essential for orthopaedic providers to ensure the timely diagnosis of leukemia and prevent unnecessary procedures and surgeries for these children.</p>","PeriodicalId":520850,"journal":{"name":"Journal of the Pediatric Orthopaedic Society of North America","volume":"12 ","pages":"100214"},"PeriodicalIF":0.0000,"publicationDate":"2025-05-30","publicationTypes":"Journal Article","fieldsOfStudy":null,"isOpenAccess":false,"openAccessPdf":"https://www.ncbi.nlm.nih.gov/pmc/articles/PMC12317431/pdf/","citationCount":"0","resultStr":null,"platform":"Semanticscholar","paperid":null,"PeriodicalName":"Journal of the Pediatric Orthopaedic Society of North America","FirstCategoryId":"1085","ListUrlMain":"https://doi.org/10.1016/j.jposna.2025.100214","RegionNum":0,"RegionCategory":null,"ArticlePicture":[],"TitleCN":null,"AbstractTextCN":null,"PMCID":null,"EPubDate":"2025/8/1 0:00:00","PubModel":"eCollection","JCR":"","JCRName":"","Score":null,"Total":0}
引用次数: 0

Abstract

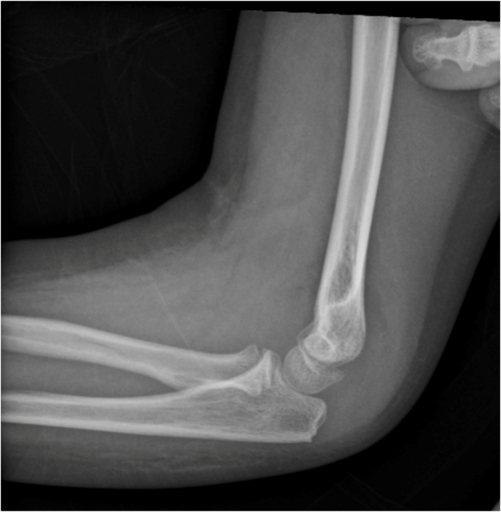
Case: A 7-year-old girl presented with a painful effusion in her right knee, fever, and a negative joint aspirate. One week later, she presented again with an effusion in her left elbow, elevated inflammatory markers, and a joint aspirate that raised concerns for septic arthritis. Irrigation and debridement of the elbow were performed, and the cultures returned negative results. Subsequently, the child experienced ongoing migratory polyarthropathy over several months, which was ultimately identified as leukemia. The initiation of chemotherapy resolved her symptoms. Although the orthopaedic literature is limited, leukemic arthritis should be considered in the differential diagnosis for a pediatric patient with a painful, swollen joint, especially when symptoms migrate without a clear cause.

Key concepts: (1)Leukemic arthritis appears as a painful, swollen joint that is clinically similar to septic arthritis, based on both examination and serum and synovial laboratory values.(2)A prompt diagnosis of acute leukemia is essential as leukemic arthritis can be the first presenting symptom.(3)Recognizing and understanding leukemic arthritis is essential for orthopaedic providers to ensure the timely diagnosis of leukemia and prevent unnecessary procedures and surgeries for these children.

Abstract Image

白血病关节炎模拟化脓性关节炎的儿科患者。
病例:一名7岁女孩,右膝积液疼痛,发热,关节抽吸阴性。一周后,患者再次出现左肘积液,炎症标志物升高,关节抽吸,提示脓毒性关节炎。对肘部进行冲洗和清创,培养结果为阴性。随后,该儿童经历了持续数月的迁移性多关节病,最终确诊为白血病。化疗的开始缓解了她的症状。尽管骨科文献有限,但对于关节疼痛、肿胀的儿童患者,特别是当症状无明确原因的转移时,应考虑白血病关节炎的鉴别诊断。关键概念:(1)基于检查和血清和滑膜实验室值,白血病关节炎表现为疼痛,肿胀的关节,临床类似于脓毒性关节炎(2)急性白血病的及时诊断至关重要,因为白血病关节炎可能是第一个出现的症状(3)认识和了解白血病关节炎对于骨科医生来说至关重要,以确保白血病的及时诊断,并防止这些儿童不必要的手术和手术。
本文章由计算机程序翻译,如有差异,请以英文原文为准。
求助全文
约1分钟内获得全文 求助全文
来源期刊
自引率
0.00%
发文量
0
×
引用
GB/T 7714-2015
复制
MLA
复制
APA
复制
导出至
BibTeX EndNote RefMan NoteFirst NoteExpress
×
提示
您的信息不完整,为了账户安全,请先补充。
现在去补充
×
提示
您因"违规操作"
具体请查看互助需知
我知道了
×
提示
确定
请完成安全验证×
copy
已复制链接
快去分享给好友吧!
我知道了
右上角分享
点击右上角分享
0
联系我们:info@booksci.cn Book学术提供免费学术资源搜索服务,方便国内外学者检索中英文文献。致力于提供最便捷和优质的服务体验。 Copyright © 2023 布克学术 All rights reserved.
京ICP备2023020795号-1
ghs 京公网安备 11010802042870号
Book学术文献互助
Book学术文献互助群
群 号:604180095
Book学术官方微信