Benign metastasizing leiomyoma with retroperitoneal lymph node involvement in a patient with a history of renal cell carcinoma.

IF 0.9 Q3 UROLOGY & NEPHROLOGY
Alireza Ghoreifi, Richard Mateo Mora, Shivani Kandukuri, Hooman Djaladat
{"title":"Benign metastasizing leiomyoma with retroperitoneal lymph node involvement in a patient with a history of renal cell carcinoma.","authors":"Alireza Ghoreifi, Richard Mateo Mora, Shivani Kandukuri, Hooman Djaladat","doi":"10.4103/iju.iju_461_24","DOIUrl":null,"url":null,"abstract":"<p><p>Benign metastasizing leiomyoma (BML) is thought to arise from either coelomic metaplasia of mesenchymal tissue or peritoneal seeding of uterine fibroid tissue, though its exact etiology is unknown. Herein, we present a 44-year-old Hispanic female with BML identified in the retroperitoneum in the setting of clear cell renal carcinoma. Routine follow-up computed tomography scan, 18 months after a robotic left partial nephrectomy for stage 1 renal tumor, revealed retroperitoneal (para-aortic) adenopathy. Percutaneous biopsy followed by robotic lymph node dissection confirmed the presence of BML. The patient remained asymptomatic with unremarkable imaging and laboratories within a 3-year follow-up.</p>","PeriodicalId":47352,"journal":{"name":"Indian Journal of Urology","volume":"41 3","pages":"222-224"},"PeriodicalIF":0.9000,"publicationDate":"2025-07-01","publicationTypes":"Journal Article","fieldsOfStudy":null,"isOpenAccess":false,"openAccessPdf":"https://www.ncbi.nlm.nih.gov/pmc/articles/PMC12312831/pdf/","citationCount":"0","resultStr":null,"platform":"Semanticscholar","paperid":null,"PeriodicalName":"Indian Journal of Urology","FirstCategoryId":"1085","ListUrlMain":"https://doi.org/10.4103/iju.iju_461_24","RegionNum":0,"RegionCategory":null,"ArticlePicture":[],"TitleCN":null,"AbstractTextCN":null,"PMCID":null,"EPubDate":"","PubModel":"","JCR":"Q3","JCRName":"UROLOGY & NEPHROLOGY","Score":null,"Total":0}
引用次数: 0

Abstract

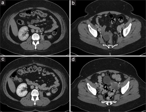
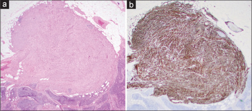
Benign metastasizing leiomyoma (BML) is thought to arise from either coelomic metaplasia of mesenchymal tissue or peritoneal seeding of uterine fibroid tissue, though its exact etiology is unknown. Herein, we present a 44-year-old Hispanic female with BML identified in the retroperitoneum in the setting of clear cell renal carcinoma. Routine follow-up computed tomography scan, 18 months after a robotic left partial nephrectomy for stage 1 renal tumor, revealed retroperitoneal (para-aortic) adenopathy. Percutaneous biopsy followed by robotic lymph node dissection confirmed the presence of BML. The patient remained asymptomatic with unremarkable imaging and laboratories within a 3-year follow-up.

Abstract Image

Abstract Image

一例有肾细胞癌病史的良性转移性平滑肌瘤伴腹膜后淋巴结受累。
良性转移性平滑肌瘤(BML)被认为是由间质组织的体腔化生或子宫肌瘤组织的腹膜播种引起的,尽管其确切的病因尚不清楚。在此,我们报告一位44岁的西班牙裔女性,在透明细胞肾癌的背景下,在腹膜后发现BML。常规随访计算机断层扫描,在机器人左肾部分切除1期肾肿瘤18个月后,发现腹膜后(主动脉旁)腺病变。经皮活检和机器人淋巴结清扫证实了BML的存在。在3年的随访中,患者无明显的影像学和实验室症状。
本文章由计算机程序翻译,如有差异,请以英文原文为准。
求助全文
约1分钟内获得全文 求助全文
来源期刊
Indian Journal of Urology
Indian Journal of Urology UROLOGY & NEPHROLOGY-
CiteScore
1.90
自引率
0.00%
发文量
62
审稿时长
33 weeks
期刊介绍: Indian Journal of Urology-IJU (ISSN 0970-1591) is official publication of the Urological Society of India. The journal is published Quarterly. Bibliographic listings: The journal is indexed with Abstracts on Hygiene and Communicable Diseases, CAB Abstracts, Caspur, DOAJ, EBSCO Publishing’s Electronic Databases, Excerpta Medica / EMBASE, Expanded Academic ASAP, Genamics JournalSeek, Global Health, Google Scholar, Health & Wellness Research Center, Health Reference Center Academic, Hinari, Index Copernicus, IndMed, OpenJGate, PubMed, Pubmed Central, Scimago Journal Ranking, SCOLOAR, SCOPUS, SIIC databases, SNEMB, Tropical Diseases Bulletin, Ulrich’s International Periodical Directory
×
引用
GB/T 7714-2015
复制
MLA
复制
APA
复制
导出至
BibTeX EndNote RefMan NoteFirst NoteExpress
×
提示
您的信息不完整,为了账户安全,请先补充。
现在去补充
×
提示
您因"违规操作"
具体请查看互助需知
我知道了
×
提示
确定
请完成安全验证×
copy
已复制链接
快去分享给好友吧!
我知道了
右上角分享
点击右上角分享
0
联系我们:info@booksci.cn Book学术提供免费学术资源搜索服务,方便国内外学者检索中英文文献。致力于提供最便捷和优质的服务体验。 Copyright © 2023 布克学术 All rights reserved.
京ICP备2023020795号-1
ghs 京公网安备 11010802042870号
Book学术文献互助
Book学术文献互助群
群 号:604180095
Book学术官方微信