Histopathological findings in obese patients undergoing laparoscopic sleeve gastrectomy in the Western region of Saudi Arabia.

Annals of Saudi medicine Pub Date : 2025-07-01 Epub Date: 2025-08-07 DOI:10.5144/0256-4947.2025.218
Samah Saharti, Reem Aljohani
{"title":"Histopathological findings in obese patients undergoing laparoscopic sleeve gastrectomy in the Western region of Saudi Arabia.","authors":"Samah Saharti, Reem Aljohani","doi":"10.5144/0256-4947.2025.218","DOIUrl":null,"url":null,"abstract":"<p><strong>Background: </strong>Metabolic and bariatric surgeries are effective interventions in reducing weight and mortality. Laparoscopic sleeve gastrectomy is the most commonly performed procedure, particularly in the Middle East and North Africa (MENA) region. It involves resection of approximately 80% of the stomach, yielding large specimens for histopathological evaluation.</p><p><strong>Objectives: </strong>To identify histopathological findings in gastric specimens, evaluate the incidence of unexpected gastrointestinal stromal tumors (GISTs), and characterize the metabolic and bariatric surgery population in Saudi Arabia.</p><p><strong>Design: </strong>Retrospective cohort.</p><p><strong>Settings: </strong>Single-center tertiary care in Saudi Arabia.</p><p><strong>Patients and methods: </strong>The study included patients who underwent laparoscopic gastric sleeve between May 2015 and April 2021. Inclusion criteria were patients with BMI ≥ 30 kg/m<sup>2</sup> who underwent surgery as treatment for obesity.</p><p><strong>Main outco me measures: </strong>Gastric histopathological findings, unexpected GIST incidence and metabolic and bariatric surgery population.</p><p><strong>Sample size: </strong>211 patients with obesity.</p><p><strong>Results: </strong>Patients' mean age was 38.2 years with a mean Body mass index (BMI) of 44.24 kg/m<sup>2</sup>. The majority were females (60.2%). Normal histology findings accounted for 43.1% of findings, followed by chronic inactive gastritis (35.5%). Intestinal metaplasia was found in 1 (0.5%) patient while incidental GIST was found in 2 (0.9%) patients. <i>Helicobacter pylori (H. pylori)</i> was identified in 12.8% of cases, with a mean patient age of 36.7 years. Among <i>H. pylori</i>-positive patients, 48% presented with chronic active gastritis, 33% with chronic inactive gastritis, 14.8% with active follicular gastritis, and 3.7% with inactive follicular gastritis. A history of prior endoscopy was noted in 16.1% of patients, of whom 11.76% were found to have <i>H. pylori</i> postoperatively.</p><p><strong>Conclusions: </strong>H. pylori infection was detected at a mean age of 36.7 years and showed a significant association with higher BMI (mean difference: 2.2 kg/m<sup>2</sup>, <i>P</i>=.04). While this suggests a potential link between obesity and <i>H. pylori</i> susceptibility, the clinical significance of this small absolute difference requires further investigation. <i>H. pylori</i> remained strongly associated with follicular gastritis (<i>P</i>=.003) but showed no difference between males and females.</p><p><strong>Limitations: </strong>Retrospective design and Giemsa stain was not done for all specimens to investigate <i>H. pylori</i>.</p>","PeriodicalId":93875,"journal":{"name":"Annals of Saudi medicine","volume":"45 4","pages":"218-224"},"PeriodicalIF":0.0000,"publicationDate":"2025-07-01","publicationTypes":"Journal Article","fieldsOfStudy":null,"isOpenAccess":false,"openAccessPdf":"https://www.ncbi.nlm.nih.gov/pmc/articles/PMC12318246/pdf/","citationCount":"0","resultStr":null,"platform":"Semanticscholar","paperid":null,"PeriodicalName":"Annals of Saudi medicine","FirstCategoryId":"1085","ListUrlMain":"https://doi.org/10.5144/0256-4947.2025.218","RegionNum":0,"RegionCategory":null,"ArticlePicture":[],"TitleCN":null,"AbstractTextCN":null,"PMCID":null,"EPubDate":"2025/8/7 0:00:00","PubModel":"Epub","JCR":"","JCRName":"","Score":null,"Total":0}
引用次数: 0

Abstract

Background: Metabolic and bariatric surgeries are effective interventions in reducing weight and mortality. Laparoscopic sleeve gastrectomy is the most commonly performed procedure, particularly in the Middle East and North Africa (MENA) region. It involves resection of approximately 80% of the stomach, yielding large specimens for histopathological evaluation.

Objectives: To identify histopathological findings in gastric specimens, evaluate the incidence of unexpected gastrointestinal stromal tumors (GISTs), and characterize the metabolic and bariatric surgery population in Saudi Arabia.

Design: Retrospective cohort.

Settings: Single-center tertiary care in Saudi Arabia.

Patients and methods: The study included patients who underwent laparoscopic gastric sleeve between May 2015 and April 2021. Inclusion criteria were patients with BMI ≥ 30 kg/m2 who underwent surgery as treatment for obesity.

Main outco me measures: Gastric histopathological findings, unexpected GIST incidence and metabolic and bariatric surgery population.

Sample size: 211 patients with obesity.

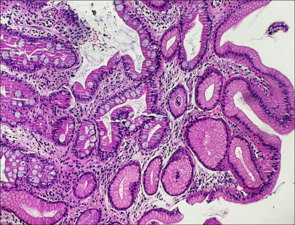
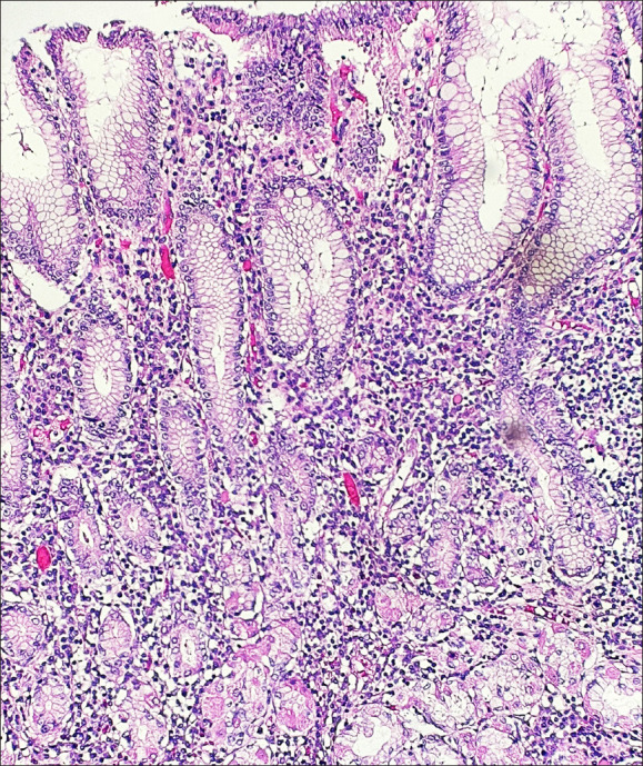
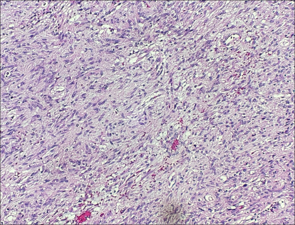
Results: Patients' mean age was 38.2 years with a mean Body mass index (BMI) of 44.24 kg/m2. The majority were females (60.2%). Normal histology findings accounted for 43.1% of findings, followed by chronic inactive gastritis (35.5%). Intestinal metaplasia was found in 1 (0.5%) patient while incidental GIST was found in 2 (0.9%) patients. Helicobacter pylori (H. pylori) was identified in 12.8% of cases, with a mean patient age of 36.7 years. Among H. pylori-positive patients, 48% presented with chronic active gastritis, 33% with chronic inactive gastritis, 14.8% with active follicular gastritis, and 3.7% with inactive follicular gastritis. A history of prior endoscopy was noted in 16.1% of patients, of whom 11.76% were found to have H. pylori postoperatively.

Conclusions: H. pylori infection was detected at a mean age of 36.7 years and showed a significant association with higher BMI (mean difference: 2.2 kg/m2, P=.04). While this suggests a potential link between obesity and H. pylori susceptibility, the clinical significance of this small absolute difference requires further investigation. H. pylori remained strongly associated with follicular gastritis (P=.003) but showed no difference between males and females.

Limitations: Retrospective design and Giemsa stain was not done for all specimens to investigate H. pylori.

Abstract Image

Abstract Image

Abstract Image

沙特阿拉伯西部地区接受腹腔镜袖胃切除术的肥胖患者的组织病理学结果。
背景:代谢和减肥手术是降低体重和死亡率的有效干预措施。腹腔镜袖式胃切除术是最常见的手术,特别是在中东和北非地区。它包括切除约80%的胃,产生大标本用于组织病理学评估。目的:确定胃标本的组织病理学发现,评估意外的胃肠道间质瘤(gist)的发生率,并表征沙特阿拉伯的代谢和减肥手术人群。设计:回顾性队列。环境:沙特阿拉伯的单中心三级保健。患者和方法:该研究包括2015年5月至2021年4月期间接受腹腔镜胃套管手术的患者。纳入标准为BMI≥30 kg/m2且接受手术治疗肥胖的患者。主要结局指标:胃组织病理学结果、意想不到的GIST发生率、代谢和减肥手术人群。样本量:211例肥胖患者。结果:患者平均年龄38.2岁,平均身体质量指数(BMI)为44.24 kg/m2。以女性居多(60.2%)。组织学正常占43.1%,其次为慢性非活动性胃炎(35.5%)。1例(0.5%)发生肠化生,2例(0.9%)发生胃肠道间质瘤。12.8%的病例中发现幽门螺杆菌(h.p ylori),患者平均年龄36.7岁。幽门螺杆菌阳性患者中,慢性活动性胃炎占48%,慢性非活动性胃炎占33%,活动性滤泡性胃炎占14.8%,非活动性滤泡性胃炎占3.7%。16.1%的患者有内窥镜检查史,其中11.76%的患者术后发现幽门螺杆菌。结论:幽门螺杆菌感染的平均年龄为36.7岁,与BMI增高有显著相关性(平均差值为2.2 kg/m2, P= 0.04)。虽然这表明肥胖和幽门螺杆菌易感性之间存在潜在的联系,但这种微小的绝对差异的临床意义需要进一步研究。幽门螺旋杆菌与滤泡性胃炎仍有很强的相关性(P= 0.003),但在男性和女性之间没有差异。局限性:没有对所有标本进行回顾性设计和吉姆萨染色来调查幽门螺杆菌。
本文章由计算机程序翻译,如有差异,请以英文原文为准。
求助全文
约1分钟内获得全文 求助全文
来源期刊
自引率
0.00%
发文量
0
×
引用
GB/T 7714-2015
复制
MLA
复制
APA
复制
导出至
BibTeX EndNote RefMan NoteFirst NoteExpress
×
提示
您的信息不完整,为了账户安全,请先补充。
现在去补充
×
提示
您因"违规操作"
具体请查看互助需知
我知道了
×
提示
确定
请完成安全验证×
copy
已复制链接
快去分享给好友吧!
我知道了
右上角分享
点击右上角分享
0
联系我们:info@booksci.cn Book学术提供免费学术资源搜索服务,方便国内外学者检索中英文文献。致力于提供最便捷和优质的服务体验。 Copyright © 2023 布克学术 All rights reserved.
京ICP备2023020795号-1
ghs 京公网安备 11010802042870号
Book学术文献互助
Book学术文献互助群
群 号:604180095
Book学术官方微信