Proximal Femoral Replacement or Revision Stem Hemiarthroplasty for Metastatic Disease of the Proximal Femur-Is There Any Notable Difference?

IF 2.1 Q2 ORTHOPEDICS
Jan Lesensky, Ondrej Blecha, Josef Vcelak, Ana C Belzarena
{"title":"Proximal Femoral Replacement or Revision Stem Hemiarthroplasty for Metastatic Disease of the Proximal Femur-Is There Any Notable Difference?","authors":"Jan Lesensky, Ondrej Blecha, Josef Vcelak, Ana C Belzarena","doi":"10.5435/JAAOSGlobal-D-24-00243","DOIUrl":null,"url":null,"abstract":"<p><strong>Background: </strong>The incidence of metastatic cancer continues to increase, becoming a prevalent condition in oncology orthopaedic practice. The proximal femur is the third most common site of skeletal metastases. Two possible options for endoprosthetic reconstruction of proximal femur metastasis include proximal femur resection and replacement with megaprosthesis and hemiarthroplasty with a long-cemented revision stem.</p><p><strong>Methods: </strong>To facilitate better decision making, we conducted a retrospective study comparing these alternatives. This is a single-institution, retrospective, observational study. Patients with metastatic disease of proximal femur who had a reconstruction with either a proximal femoral replacement (group A, 27 patients) or reconstruction using a hemiarthroplasty with long revision cemented stem (group B, 31 patients) were included for analysis.</p><p><strong>Results: </strong>Group A was associated with higher estimated blood loss than group B (1027.8 vs. 491.9 mL, P = 0.007). Group A was associated with higher surgical time (148.9 vs. 116.6 minutes, P = 0.04). More patients were associated with intense care unit transfer in group A (P = 0.04). Group B was associated with a shorter average time to full weight-bearing (6.2 vs. 11.5 weeks, P = 0.03). Group B was associated with shorter time to discharge (9.4 vs. 17.0 days, P = 0.04). Group A was associated with more postoperative complications (n = 5, 18.5% vs. n = 0, 0%), (P = 0.02).</p><p><strong>Conclusion: </strong>In patients with metastatic disease of the proximal femur, reconstruction with a long revision stem hemiarthroplasty was associated with better performance regarding surgical outcomes (estimated blood loss, surgical time, transfer to intensive care unit vs. regular floor). Furthermore, patients with hemiarthroplasties presented an association with shorter rehabilitation time and less complications.</p>","PeriodicalId":45062,"journal":{"name":"Journal of the American Academy of Orthopaedic Surgeons Global Research and Reviews","volume":"9 8","pages":""},"PeriodicalIF":2.1000,"publicationDate":"2025-07-29","publicationTypes":"Journal Article","fieldsOfStudy":null,"isOpenAccess":false,"openAccessPdf":"https://www.ncbi.nlm.nih.gov/pmc/articles/PMC12309908/pdf/","citationCount":"0","resultStr":null,"platform":"Semanticscholar","paperid":null,"PeriodicalName":"Journal of the American Academy of Orthopaedic Surgeons Global Research and Reviews","FirstCategoryId":"1085","ListUrlMain":"https://doi.org/10.5435/JAAOSGlobal-D-24-00243","RegionNum":0,"RegionCategory":null,"ArticlePicture":[],"TitleCN":null,"AbstractTextCN":null,"PMCID":null,"EPubDate":"2025/8/1 0:00:00","PubModel":"eCollection","JCR":"Q2","JCRName":"ORTHOPEDICS","Score":null,"Total":0}
引用次数: 0

Abstract

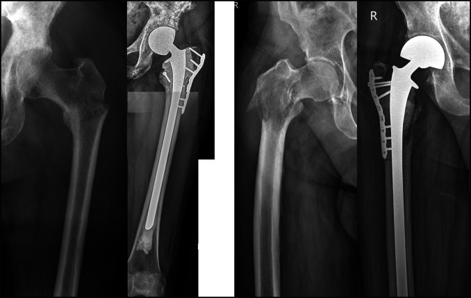
Background: The incidence of metastatic cancer continues to increase, becoming a prevalent condition in oncology orthopaedic practice. The proximal femur is the third most common site of skeletal metastases. Two possible options for endoprosthetic reconstruction of proximal femur metastasis include proximal femur resection and replacement with megaprosthesis and hemiarthroplasty with a long-cemented revision stem.

Methods: To facilitate better decision making, we conducted a retrospective study comparing these alternatives. This is a single-institution, retrospective, observational study. Patients with metastatic disease of proximal femur who had a reconstruction with either a proximal femoral replacement (group A, 27 patients) or reconstruction using a hemiarthroplasty with long revision cemented stem (group B, 31 patients) were included for analysis.

Results: Group A was associated with higher estimated blood loss than group B (1027.8 vs. 491.9 mL, P = 0.007). Group A was associated with higher surgical time (148.9 vs. 116.6 minutes, P = 0.04). More patients were associated with intense care unit transfer in group A (P = 0.04). Group B was associated with a shorter average time to full weight-bearing (6.2 vs. 11.5 weeks, P = 0.03). Group B was associated with shorter time to discharge (9.4 vs. 17.0 days, P = 0.04). Group A was associated with more postoperative complications (n = 5, 18.5% vs. n = 0, 0%), (P = 0.02).

Conclusion: In patients with metastatic disease of the proximal femur, reconstruction with a long revision stem hemiarthroplasty was associated with better performance regarding surgical outcomes (estimated blood loss, surgical time, transfer to intensive care unit vs. regular floor). Furthermore, patients with hemiarthroplasties presented an association with shorter rehabilitation time and less complications.

Abstract Image

Abstract Image

Abstract Image

股骨近端转移性疾病的股骨近端置换术或改良半关节置换术-有显著差异吗?
背景:转移性癌症的发病率持续增加,成为肿瘤骨科实践中的普遍情况。股骨近端是第三个最常见的骨骼转移部位。股骨近端转移的两种可能的假体内重建方法包括股骨近端切除术和大型假体置换以及长骨水泥修复柄半关节置换术。方法:为了便于更好的决策,我们进行了一项回顾性研究,比较了这些选择。这是一项单机构、回顾性、观察性研究。采用股骨近端置换术重建的股骨近端转移性疾病患者(a组,27例)或采用长翻修骨水泥半关节置换术重建的股骨近端转移性疾病患者(B组,31例)被纳入分析。结果:A组的估计失血量高于B组(1027.8 mL vs 491.9 mL, P = 0.007)。A组手术时间较长(148.9 vs 116.6分钟,P = 0.04)。A组患者转入重症监护病房的比例更高(P = 0.04)。B组达到完全负重的平均时间较短(6.2周对11.5周,P = 0.03)。B组患者出院时间较短(9.4天比17.0天,P = 0.04)。A组术后并发症发生率较高(n = 5, 18.5% vs. n = 0, 0%), (P = 0.02)。结论:在股骨近端转移性疾病患者中,长翻修半关节置换术重建在手术结果方面具有更好的表现(估计失血量、手术时间、转重症监护病房与常规手术相比)。此外,半关节置换术患者的康复时间更短,并发症更少。
本文章由计算机程序翻译,如有差异,请以英文原文为准。
求助全文
约1分钟内获得全文 求助全文
来源期刊
CiteScore
2.60
自引率
6.70%
发文量
282
审稿时长
8 weeks
×
引用
GB/T 7714-2015
复制
MLA
复制
APA
复制
导出至
BibTeX EndNote RefMan NoteFirst NoteExpress
×
提示
您的信息不完整,为了账户安全,请先补充。
现在去补充
×
提示
您因"违规操作"
具体请查看互助需知
我知道了
×
提示
确定
请完成安全验证×
copy
已复制链接
快去分享给好友吧!
我知道了
右上角分享
点击右上角分享
0
联系我们:info@booksci.cn Book学术提供免费学术资源搜索服务,方便国内外学者检索中英文文献。致力于提供最便捷和优质的服务体验。 Copyright © 2023 布克学术 All rights reserved.
京ICP备2023020795号-1
ghs 京公网安备 11010802042870号
Book学术文献互助
Book学术文献互助群
群 号:604180095
Book学术官方微信