Transient hepatic intensity differences: correlations with treatment outcomes and adverse events following DEB-TACE in hepatocellular carcinoma.

IF 4.5 2区 医学 Q1 RADIOLOGY, NUCLEAR MEDICINE & MEDICAL IMAGING
Noble Chibuike Opara, Shuwei Zhou, Weilang Wang, Shuhang Zhang, Xunjun Chen, Shenghong Ju, Yuan-Cheng Wang
{"title":"Transient hepatic intensity differences: correlations with treatment outcomes and adverse events following DEB-TACE in hepatocellular carcinoma.","authors":"Noble Chibuike Opara, Shuwei Zhou, Weilang Wang, Shuhang Zhang, Xunjun Chen, Shenghong Ju, Yuan-Cheng Wang","doi":"10.1186/s13244-025-02041-2","DOIUrl":null,"url":null,"abstract":"<p><strong>Background: </strong>Transient hepatic intensity differences (THID) on MRI are commonly observed in hepatocellular carcinoma (HCC) patients following drug-eluting bead transarterial chemoembolization (DEB-TACE). We evaluated the association between THID, treatment outcomes, and adverse events in HCC patients treated with DEB-TACE.</p><p><strong>Materials and methods: </strong>This retrospective analysis included data from a prospective study conducted with 102 consecutive HCC patients treated with DEB-TACE between December 2017 and December 2020. The chi-square test assessed correlations between THID and adverse events, including biliary injury, intrahepatic metastasis, and portal venous thrombosis. Kaplan-Meier method evaluated overall survival (OS) and progression-free survival (PFS), with log-rank tests comparing THID complexity (simple vs complex) and severity (mild, moderate, and severe). Logistic regression identified factors associated with THID development.</p><p><strong>Results: </strong>Among the 102 HCC patients, 74 (72.5%) developed THID after DEB-TACE. Patients with THID had significantly higher rates of biliary injury (47% vs 14.3%, p = 0.002) and intrahepatic metastasis (25.7% vs 7.1%, p = 0.030). Complex THID was associated with worse PFS (p = 0.024). Moderate-to-severe THID had worse OS (p = 0.019) and PFS (p = 0.038). Factors associated with THID development included a higher tumor burden, baseline THID, and Child-Pugh class A.</p><p><strong>Conclusion: </strong>THID correlates with an increased risk of biliary injury and intrahepatic metastasis and is associated with worse OS and PFS in HCC patients following DEB-TACE.</p><p><strong>Critical relevance statement: </strong>THID development after DEB-TACE correlates with higher incidence of biliary injury, intrahepatic metastasis, and worse OS/PFS, emphasizing its potential as a critical imaging biomarker. This study advances clinical radiology by highlighting THID as an important factor in treatment outcomes.</p><p><strong>Key points: </strong>THID after drug-eluting bead transcatheter arterial chemoembolization correlates with treatment outcomes and adverse events in HCC. THID correlates with higher biliary injury, intrahepatic metastasis, and reduced survival rates. Complex or severe THID correlates with poorer survival in HCC patients.</p>","PeriodicalId":13639,"journal":{"name":"Insights into Imaging","volume":"16 1","pages":"164"},"PeriodicalIF":4.5000,"publicationDate":"2025-08-01","publicationTypes":"Journal Article","fieldsOfStudy":null,"isOpenAccess":false,"openAccessPdf":"https://www.ncbi.nlm.nih.gov/pmc/articles/PMC12316659/pdf/","citationCount":"0","resultStr":null,"platform":"Semanticscholar","paperid":null,"PeriodicalName":"Insights into Imaging","FirstCategoryId":"3","ListUrlMain":"https://doi.org/10.1186/s13244-025-02041-2","RegionNum":2,"RegionCategory":"医学","ArticlePicture":[],"TitleCN":null,"AbstractTextCN":null,"PMCID":null,"EPubDate":"","PubModel":"","JCR":"Q1","JCRName":"RADIOLOGY, NUCLEAR MEDICINE & MEDICAL IMAGING","Score":null,"Total":0}
引用次数: 0

Abstract

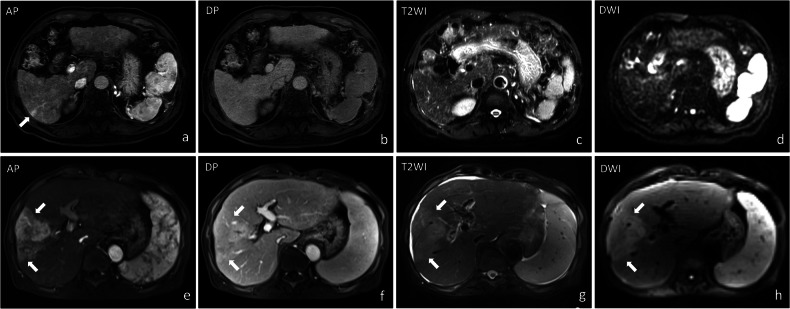
Background: Transient hepatic intensity differences (THID) on MRI are commonly observed in hepatocellular carcinoma (HCC) patients following drug-eluting bead transarterial chemoembolization (DEB-TACE). We evaluated the association between THID, treatment outcomes, and adverse events in HCC patients treated with DEB-TACE.

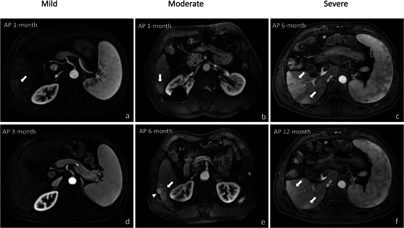
Materials and methods: This retrospective analysis included data from a prospective study conducted with 102 consecutive HCC patients treated with DEB-TACE between December 2017 and December 2020. The chi-square test assessed correlations between THID and adverse events, including biliary injury, intrahepatic metastasis, and portal venous thrombosis. Kaplan-Meier method evaluated overall survival (OS) and progression-free survival (PFS), with log-rank tests comparing THID complexity (simple vs complex) and severity (mild, moderate, and severe). Logistic regression identified factors associated with THID development.

Results: Among the 102 HCC patients, 74 (72.5%) developed THID after DEB-TACE. Patients with THID had significantly higher rates of biliary injury (47% vs 14.3%, p = 0.002) and intrahepatic metastasis (25.7% vs 7.1%, p = 0.030). Complex THID was associated with worse PFS (p = 0.024). Moderate-to-severe THID had worse OS (p = 0.019) and PFS (p = 0.038). Factors associated with THID development included a higher tumor burden, baseline THID, and Child-Pugh class A.

Conclusion: THID correlates with an increased risk of biliary injury and intrahepatic metastasis and is associated with worse OS and PFS in HCC patients following DEB-TACE.

Critical relevance statement: THID development after DEB-TACE correlates with higher incidence of biliary injury, intrahepatic metastasis, and worse OS/PFS, emphasizing its potential as a critical imaging biomarker. This study advances clinical radiology by highlighting THID as an important factor in treatment outcomes.

Key points: THID after drug-eluting bead transcatheter arterial chemoembolization correlates with treatment outcomes and adverse events in HCC. THID correlates with higher biliary injury, intrahepatic metastasis, and reduced survival rates. Complex or severe THID correlates with poorer survival in HCC patients.

Abstract Image

Abstract Image

Abstract Image

肝强度的短暂差异:与肝细胞癌DEB-TACE治疗结果和不良事件的相关性
背景:在肝细胞癌(HCC)患者行药物洗脱经动脉化疗栓塞(DEB-TACE)后,MRI上经常观察到短暂性肝脏强度差异(THID)。我们评估了肝细胞癌患者接受DEB-TACE治疗时THID、治疗结果和不良事件之间的关系。材料和方法:本回顾性分析纳入了2017年12月至2020年12月期间102例连续接受DEB-TACE治疗的HCC患者的前瞻性研究数据。卡方检验评估THID与不良事件的相关性,包括胆道损伤、肝内转移和门静脉血栓形成。Kaplan-Meier法评估总生存期(OS)和无进展生存期(PFS), log-rank检验比较THID复杂性(简单vs复杂)和严重程度(轻度、中度和重度)。逻辑回归确定了与第三型肝炎发展相关的因素。结果:102例HCC患者中,DEB-TACE术后发生THID 74例(72.5%)。THID患者的胆道损伤率(47% vs 14.3%, p = 0.002)和肝内转移率(25.7% vs 7.1%, p = 0.030)显著高于THID患者。复杂THID与较差的PFS相关(p = 0.024)。中重度THID的OS (p = 0.019)和PFS (p = 0.038)较差。与THID发展相关的因素包括更高的肿瘤负荷、基线THID和Child-Pugh a级。结论:THID与胆道损伤和肝内转移的风险增加相关,并与debtace后HCC患者更差的OS和PFS相关。关键相关性声明:deba - tace后THID的发展与胆道损伤、肝内转移和更差的OS/PFS的发生率相关,强调了其作为关键成像生物标志物的潜力。本研究强调THID是影响治疗结果的重要因素,从而推动了临床放射学的发展。重点:肝细胞癌药物洗脱头经导管动脉化疗栓塞后THID与治疗结果和不良事件相关。THID与胆道损伤、肝内转移和生存率降低相关。在HCC患者中,复杂或严重的THID与较差的生存率相关。
本文章由计算机程序翻译,如有差异,请以英文原文为准。
求助全文
约1分钟内获得全文 求助全文
来源期刊
Insights into Imaging
Insights into Imaging Medicine-Radiology, Nuclear Medicine and Imaging
CiteScore
7.30
自引率
4.30%
发文量
182
审稿时长
13 weeks
期刊介绍: Insights into Imaging (I³) is a peer-reviewed open access journal published under the brand SpringerOpen. All content published in the journal is freely available online to anyone, anywhere! I³ continuously updates scientific knowledge and progress in best-practice standards in radiology through the publication of original articles and state-of-the-art reviews and opinions, along with recommendations and statements from the leading radiological societies in Europe. Founded by the European Society of Radiology (ESR), I³ creates a platform for educational material, guidelines and recommendations, and a forum for topics of controversy. A balanced combination of review articles, original papers, short communications from European radiological congresses and information on society matters makes I³ an indispensable source for current information in this field. I³ is owned by the ESR, however authors retain copyright to their article according to the Creative Commons Attribution License (see Copyright and License Agreement). All articles can be read, redistributed and reused for free, as long as the author of the original work is cited properly. The open access fees (article-processing charges) for this journal are kindly sponsored by ESR for all Members. The journal went open access in 2012, which means that all articles published since then are freely available online.
×
引用
GB/T 7714-2015
复制
MLA
复制
APA
复制
导出至
BibTeX EndNote RefMan NoteFirst NoteExpress
×
提示
您的信息不完整,为了账户安全,请先补充。
现在去补充
×
提示
您因"违规操作"
具体请查看互助需知
我知道了
×
提示
确定
请完成安全验证×
copy
已复制链接
快去分享给好友吧!
我知道了
右上角分享
点击右上角分享
0
联系我们:info@booksci.cn Book学术提供免费学术资源搜索服务,方便国内外学者检索中英文文献。致力于提供最便捷和优质的服务体验。 Copyright © 2023 布克学术 All rights reserved.
京ICP备2023020795号-1
ghs 京公网安备 11010802042870号
Book学术文献互助
Book学术文献互助群
群 号:604180095
Book学术官方微信