Papillary Thyroid Carcinoma Arising Within a Mature Ovarian Cystic Teratoma: A Case Report.

IF 0.9 Q4 ENDOCRINOLOGY & METABOLISM
Case Reports in Endocrinology Pub Date : 2025-07-24 eCollection Date: 2025-01-01 DOI:10.1155/crie/7914933
Pakaworn Vorasart, Rangsima Aroonroch, Naparat Rermluk, Orawin Vallibhakara, Chutintorn Sriphrapradang
{"title":"Papillary Thyroid Carcinoma Arising Within a Mature Ovarian Cystic Teratoma: A Case Report.","authors":"Pakaworn Vorasart, Rangsima Aroonroch, Naparat Rermluk, Orawin Vallibhakara, Chutintorn Sriphrapradang","doi":"10.1155/crie/7914933","DOIUrl":null,"url":null,"abstract":"<p><p><b>Introduction:</b> Mature cystic teratoma is a common benign ovarian germ cell tumor containing well-differentiated cells from three germ layers. Malignant transformation within these teratomas, such as papillary thyroid carcinoma, is extremely rare. <b>Case Report:</b> A 62-year-old asymptomatic woman was found to have a 5 cm hyperechoic lesion with an internal cystic component in her left ovary, suspected to be a mature teratoma. A total hysterectomy with bilateral salpingo-oophorectomy was performed, removing an unruptured, thin-walled ovarian tumor. Gross pathology revealed a uni-loculated solid-cystic lesion with smooth serosa, a homogenous tan solid part containing soft tan hair, and no papillary projections, adhesions, or ascites. Pathology identified a 2 cm papillary thyroid carcinoma (classic subtype) arising in a 4.7 cm mature teratoma, without lymphovascular invasion or ovarian surface involvement. Thyroid ultrasound, thyroid function tests, and PET imaging showed no abnormalities or metastasis. The role for total thyroidectomy and radioactive iodine ablation was discussed. After reviewing the pathology and confirming the absence of aggressive tumor behavior, shared decision-making led to opting against further treatment. Three years postoperatively, there was no recurrence or metastasis. <b>Conclusions:</b> This case describes the rare occurrence of papillary thyroid carcinoma within a mature ovarian teratoma. Currently, there is a lack of consensus on postoperative management. In selected cases with no evidence of metastasis or aggressive features, conservative management may be a reasonable option after thorough evaluation.</p>","PeriodicalId":9621,"journal":{"name":"Case Reports in Endocrinology","volume":"2025 ","pages":"7914933"},"PeriodicalIF":0.9000,"publicationDate":"2025-07-24","publicationTypes":"Journal Article","fieldsOfStudy":null,"isOpenAccess":false,"openAccessPdf":"https://www.ncbi.nlm.nih.gov/pmc/articles/PMC12313371/pdf/","citationCount":"0","resultStr":null,"platform":"Semanticscholar","paperid":null,"PeriodicalName":"Case Reports in Endocrinology","FirstCategoryId":"1085","ListUrlMain":"https://doi.org/10.1155/crie/7914933","RegionNum":0,"RegionCategory":null,"ArticlePicture":[],"TitleCN":null,"AbstractTextCN":null,"PMCID":null,"EPubDate":"2025/1/1 0:00:00","PubModel":"eCollection","JCR":"Q4","JCRName":"ENDOCRINOLOGY & METABOLISM","Score":null,"Total":0}
引用次数: 0

Abstract

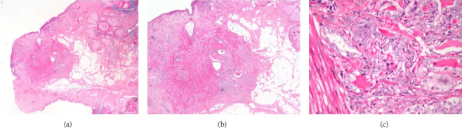
Introduction: Mature cystic teratoma is a common benign ovarian germ cell tumor containing well-differentiated cells from three germ layers. Malignant transformation within these teratomas, such as papillary thyroid carcinoma, is extremely rare. Case Report: A 62-year-old asymptomatic woman was found to have a 5 cm hyperechoic lesion with an internal cystic component in her left ovary, suspected to be a mature teratoma. A total hysterectomy with bilateral salpingo-oophorectomy was performed, removing an unruptured, thin-walled ovarian tumor. Gross pathology revealed a uni-loculated solid-cystic lesion with smooth serosa, a homogenous tan solid part containing soft tan hair, and no papillary projections, adhesions, or ascites. Pathology identified a 2 cm papillary thyroid carcinoma (classic subtype) arising in a 4.7 cm mature teratoma, without lymphovascular invasion or ovarian surface involvement. Thyroid ultrasound, thyroid function tests, and PET imaging showed no abnormalities or metastasis. The role for total thyroidectomy and radioactive iodine ablation was discussed. After reviewing the pathology and confirming the absence of aggressive tumor behavior, shared decision-making led to opting against further treatment. Three years postoperatively, there was no recurrence or metastasis. Conclusions: This case describes the rare occurrence of papillary thyroid carcinoma within a mature ovarian teratoma. Currently, there is a lack of consensus on postoperative management. In selected cases with no evidence of metastasis or aggressive features, conservative management may be a reasonable option after thorough evaluation.

Abstract Image

Abstract Image

甲状腺乳头状癌并发成熟卵巢囊性畸胎瘤1例。
简介:成熟囊性畸胎瘤是一种常见的良性卵巢生殖细胞肿瘤,由三种胚层的高分化细胞组成。这些畸胎瘤内的恶性转化,如甲状腺乳头状癌,是极其罕见的。病例报告:一名62岁无症状女性在左侧卵巢发现5厘米高回声病变并伴有内囊性成分,怀疑为成熟畸胎瘤。行全子宫切除术及双侧输卵管卵巢切除术,切除未破裂的薄壁卵巢肿瘤。大体病理显示为单室实性囊性病变,浆膜光滑,均匀的棕褐色实性部分包含柔软的棕褐色毛发,无乳头状突起、粘连或腹水。病理发现一2厘米乳头状甲状腺癌(典型亚型)起源于4.7厘米的成熟畸胎瘤,未见淋巴血管侵犯或卵巢表面受损伤。甲状腺超声、甲状腺功能检查及PET显像未见异常或转移。讨论了甲状腺全切除术和放射性碘消融的作用。在回顾病理并确认没有侵袭性肿瘤行为后,共同的决策导致选择不进一步治疗。术后3年无复发和转移。结论:本病例描述了成熟卵巢畸胎瘤中罕见的甲状腺乳头状癌。目前,对术后处理缺乏共识。在没有转移或侵袭性特征的特定病例中,经过全面评估后保守治疗可能是合理的选择。
本文章由计算机程序翻译,如有差异,请以英文原文为准。
求助全文
约1分钟内获得全文 求助全文
来源期刊
Case Reports in Endocrinology
Case Reports in Endocrinology ENDOCRINOLOGY & METABOLISM-
CiteScore
2.10
自引率
0.00%
发文量
45
审稿时长
13 weeks
×
引用
GB/T 7714-2015
复制
MLA
复制
APA
复制
导出至
BibTeX EndNote RefMan NoteFirst NoteExpress
×
提示
您的信息不完整,为了账户安全,请先补充。
现在去补充
×
提示
您因"违规操作"
具体请查看互助需知
我知道了
×
提示
确定
请完成安全验证×
copy
已复制链接
快去分享给好友吧!
我知道了
右上角分享
点击右上角分享
0
联系我们:info@booksci.cn Book学术提供免费学术资源搜索服务,方便国内外学者检索中英文文献。致力于提供最便捷和优质的服务体验。 Copyright © 2023 布克学术 All rights reserved.
京ICP备2023020795号-1
ghs 京公网安备 11010802042870号
Book学术文献互助
Book学术文献互助群
群 号:604180095
Book学术官方微信