Diagnostic Value of Cryptococcal Glucuronoxylomannan Antigen Testing of Bronchoalveolar Lavage Fluid for Pulmonary Cryptococcosis in Immunocompetent Patients: A Clinical Study.

IF 3 0 RESPIRATORY SYSTEM
Shuangxia Dong, Xinjian Dai, Linyan Pang, Yang Huang
{"title":"Diagnostic Value of Cryptococcal Glucuronoxylomannan Antigen Testing of Bronchoalveolar Lavage Fluid for Pulmonary Cryptococcosis in Immunocompetent Patients: A Clinical Study.","authors":"Shuangxia Dong, Xinjian Dai, Linyan Pang, Yang Huang","doi":"10.1177/29768675251363301","DOIUrl":null,"url":null,"abstract":"<p><strong>Background: </strong>[No revision is required.]Pulmonary cryptococcosis (PC) is common in immunocompetent patients, and its early diagnosis is challenging. Multiple studies have addressed the detection of cryptococcal glucuronoxylomannan (GXM) antigen in serum, but few have investigated its detection in bronchoalveolar lavage fluid (BALF).</p><p><strong>Objectives: </strong>To evaluate the diagnostic value of the <i>Cryptococcus</i> GXM antigen test in BALF for PC in immunocompetent patients.</p><p><strong>Design: </strong>We collect the clinical data of 138 patients from October 2018 to March 2023 and divide them into a PC group (n = 48) and a non-PC group (n = 90). Perform serum and BALF GXM antigen test on all cases that meet the inclusion criteria.</p><p><strong>Methods: </strong>To analyze and compare the clinical characteristics of the PC group and non-PC group. We calculate the positive detection rate (PDR) and negative predictive value of BALF and serum GXM antigen tests, as well as their combination, for the PC group.</p><p><strong>Results: </strong>Most patients in the PC group are male (59.6%), with an average age of 49.4 years. Most of the patients have no underlying disease (51.9%). Diabetes and hypertension are the most common comorbidities. Most patients (53.8%) are asymptomatic. Cough and sputum are the most frequent clinical symptoms, followed by fever and chest distress. Nodules and exudative consolidation are the most common imaging findings, and the culture positivity rate is 25%. Forty patients are positive according to the BALF GXM test, for a positivity rate of 83.3% and a negative predictive value of 91.8%. Moreover, 39 patients are positive according to the serum GXM test, for a positivity rate of 81.3% and a negative predictive value of 90.9%. The positivity rate for serum plus BALF is 95.8%. There is no significant difference (P > 0.05) in diagnostic value between BALF and serum GXM tests for PC. GXM positivity rates differ significantly among paired BALF, serum, and BALF plus serum groups (P < 0.05).</p><p><strong>Conclusion: </strong>The BALF GXM test is useful for the early diagnosis of PC in immunocompetent patients. Simultaneous BALF and serum GXM testing would increase the rate of early PC diagnosis in immunocompetent patients.</p>","PeriodicalId":94361,"journal":{"name":"Therapeutic advances in pulmonary and critical care medicine","volume":"20 ","pages":"29768675251363301"},"PeriodicalIF":3.0000,"publicationDate":"2025-07-29","publicationTypes":"Journal Article","fieldsOfStudy":null,"isOpenAccess":false,"openAccessPdf":"https://www.ncbi.nlm.nih.gov/pmc/articles/PMC12308053/pdf/","citationCount":"0","resultStr":null,"platform":"Semanticscholar","paperid":null,"PeriodicalName":"Therapeutic advances in pulmonary and critical care medicine","FirstCategoryId":"1085","ListUrlMain":"https://doi.org/10.1177/29768675251363301","RegionNum":0,"RegionCategory":null,"ArticlePicture":[],"TitleCN":null,"AbstractTextCN":null,"PMCID":null,"EPubDate":"2025/1/1 0:00:00","PubModel":"eCollection","JCR":"0","JCRName":"RESPIRATORY SYSTEM","Score":null,"Total":0}
引用次数: 0

Abstract

Background: [No revision is required.]Pulmonary cryptococcosis (PC) is common in immunocompetent patients, and its early diagnosis is challenging. Multiple studies have addressed the detection of cryptococcal glucuronoxylomannan (GXM) antigen in serum, but few have investigated its detection in bronchoalveolar lavage fluid (BALF).

Objectives: To evaluate the diagnostic value of the Cryptococcus GXM antigen test in BALF for PC in immunocompetent patients.

Design: We collect the clinical data of 138 patients from October 2018 to March 2023 and divide them into a PC group (n = 48) and a non-PC group (n = 90). Perform serum and BALF GXM antigen test on all cases that meet the inclusion criteria.

Methods: To analyze and compare the clinical characteristics of the PC group and non-PC group. We calculate the positive detection rate (PDR) and negative predictive value of BALF and serum GXM antigen tests, as well as their combination, for the PC group.

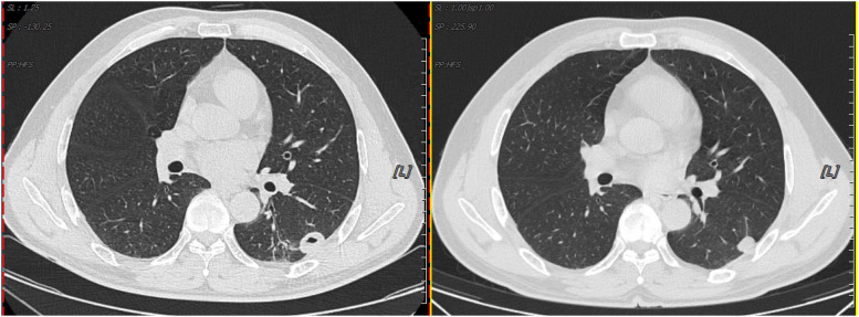
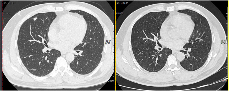
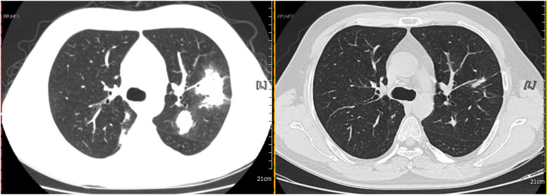
Results: Most patients in the PC group are male (59.6%), with an average age of 49.4 years. Most of the patients have no underlying disease (51.9%). Diabetes and hypertension are the most common comorbidities. Most patients (53.8%) are asymptomatic. Cough and sputum are the most frequent clinical symptoms, followed by fever and chest distress. Nodules and exudative consolidation are the most common imaging findings, and the culture positivity rate is 25%. Forty patients are positive according to the BALF GXM test, for a positivity rate of 83.3% and a negative predictive value of 91.8%. Moreover, 39 patients are positive according to the serum GXM test, for a positivity rate of 81.3% and a negative predictive value of 90.9%. The positivity rate for serum plus BALF is 95.8%. There is no significant difference (P > 0.05) in diagnostic value between BALF and serum GXM tests for PC. GXM positivity rates differ significantly among paired BALF, serum, and BALF plus serum groups (P < 0.05).

Conclusion: The BALF GXM test is useful for the early diagnosis of PC in immunocompetent patients. Simultaneous BALF and serum GXM testing would increase the rate of early PC diagnosis in immunocompetent patients.

Abstract Image

Abstract Image

Abstract Image

免疫功能正常患者支气管肺泡灌洗液隐球菌糖醛酸甘露聚糖抗原检测诊断肺隐球菌病的临床研究。
背景:[不需要修改。]肺隐球菌病(PC)常见于免疫功能正常的患者,其早期诊断具有挑战性。已有多项研究报道了血清中隐球菌葡萄糖醛酸甘露聚糖(GXM)抗原的检测,但很少有研究报道其在支气管肺泡灌洗液(BALF)中的检测。目的:探讨隐球菌GXM抗原BALF检测对免疫功能正常患者PC的诊断价值。设计:收集2018年10月至2023年3月138例患者的临床资料,将其分为PC组(n = 48)和非PC组(n = 90)。对所有符合纳入标准的病例进行血清和BALF GXM抗原检测。方法:分析比较PC组与非PC组的临床特点。计算PC组BALF和血清GXM抗原检测的阳性检出率(PDR)和阴性预测值,以及它们的组合。结果:PC组患者以男性为主(59.6%),平均年龄49.4岁。多数患者无基础疾病(51.9%)。糖尿病和高血压是最常见的合并症。大多数患者(53.8%)无症状。咳嗽和咳痰是最常见的临床症状,其次是发烧和胸闷。结节和渗出实变是最常见的影像学表现,培养阳性率为25%。BALF GXM试验阳性40例,阳性率为83.3%,阴性预测值为91.8%。血清GXM试验阳性39例,阳性率为81.3%,阴性预测值为90.9%。血清+ BALF阳性率为95.8%。BALF与血清GXM对PC的诊断价值差异无统计学意义(P < 0.05)。BALF配对组、血清组和BALF加血清组GXM阳性率差异有统计学意义(P)结论:BALF GXM检测对免疫功能正常患者PC的早期诊断有重要意义。同时检测BALF和血清GXM可提高免疫功能正常患者PC的早期诊断率。
本文章由计算机程序翻译,如有差异,请以英文原文为准。
求助全文
约1分钟内获得全文 求助全文
来源期刊
自引率
0.00%
发文量
0
×
引用
GB/T 7714-2015
复制
MLA
复制
APA
复制
导出至
BibTeX EndNote RefMan NoteFirst NoteExpress
×
提示
您的信息不完整,为了账户安全,请先补充。
现在去补充
×
提示
您因"违规操作"
具体请查看互助需知
我知道了
×
提示
确定
请完成安全验证×
copy
已复制链接
快去分享给好友吧!
我知道了
右上角分享
点击右上角分享
0
联系我们:info@booksci.cn Book学术提供免费学术资源搜索服务,方便国内外学者检索中英文文献。致力于提供最便捷和优质的服务体验。 Copyright © 2023 布克学术 All rights reserved.
京ICP备2023020795号-1
ghs 京公网安备 11010802042870号
Book学术文献互助
Book学术文献互助群
群 号:604180095
Book学术官方微信