Primary central nervous system mucosa-associated lymphoid tissue lymphoma: a diagnostic challenge.

IF 0.5 Q4 RADIOLOGY, NUCLEAR MEDICINE & MEDICAL IMAGING
BJR Case Reports Pub Date : 2025-07-17 eCollection Date: 2025-07-01 DOI:10.1093/bjrcr/uaaf037
Danial Nasiri, Theoni Maragkou, Andreas Raabe, Anna Katharina Krähenbühl, Franca Wagner
{"title":"Primary central nervous system mucosa-associated lymphoid tissue lymphoma: a diagnostic challenge.","authors":"Danial Nasiri, Theoni Maragkou, Andreas Raabe, Anna Katharina Krähenbühl, Franca Wagner","doi":"10.1093/bjrcr/uaaf037","DOIUrl":null,"url":null,"abstract":"<p><p>Primary central nervous system (CNS) mucosa-associated lymphoid tissue (MALT) lymphoma is a rare condition frequently mistaken for meningioma. Since these conditions require distinct treatment approaches, recognizing their imaging characteristics is essential for accurate clinical decision-making. A 69-year-old woman presented with headaches and forehead swelling, prompting MRI of the CNS. Suspecting an intracranial meningioma, the tumour board recommended surgical resection. However, histopathological analysis identified the lesion as a primary CNS MALT lymphoma. Follow-up revealed secondary cutaneous tumour infiltration, leading to a delay in adjuvant radiotherapy. Understanding the differential diagnoses of meningioma is critical for neuroradiologists and neurosurgeons to ensure appropriate treatment planning. This case highlights a misdiagnosis of meningioma that was ultimately identified as a primary CNS MALT lymphoma, emphasizing key imaging and clinical characteristics essential for distinguishing between the most important differential diagnoses of primary CNS MALT lymphoma.</p>","PeriodicalId":45216,"journal":{"name":"BJR Case Reports","volume":"11 4","pages":"uaaf037"},"PeriodicalIF":0.5000,"publicationDate":"2025-07-17","publicationTypes":"Journal Article","fieldsOfStudy":null,"isOpenAccess":false,"openAccessPdf":"https://www.ncbi.nlm.nih.gov/pmc/articles/PMC12308279/pdf/","citationCount":"0","resultStr":null,"platform":"Semanticscholar","paperid":null,"PeriodicalName":"BJR Case Reports","FirstCategoryId":"1085","ListUrlMain":"https://doi.org/10.1093/bjrcr/uaaf037","RegionNum":0,"RegionCategory":null,"ArticlePicture":[],"TitleCN":null,"AbstractTextCN":null,"PMCID":null,"EPubDate":"2025/7/1 0:00:00","PubModel":"eCollection","JCR":"Q4","JCRName":"RADIOLOGY, NUCLEAR MEDICINE & MEDICAL IMAGING","Score":null,"Total":0}
引用次数: 0

Abstract

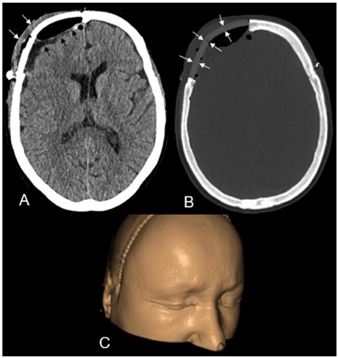
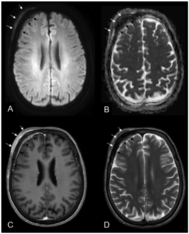
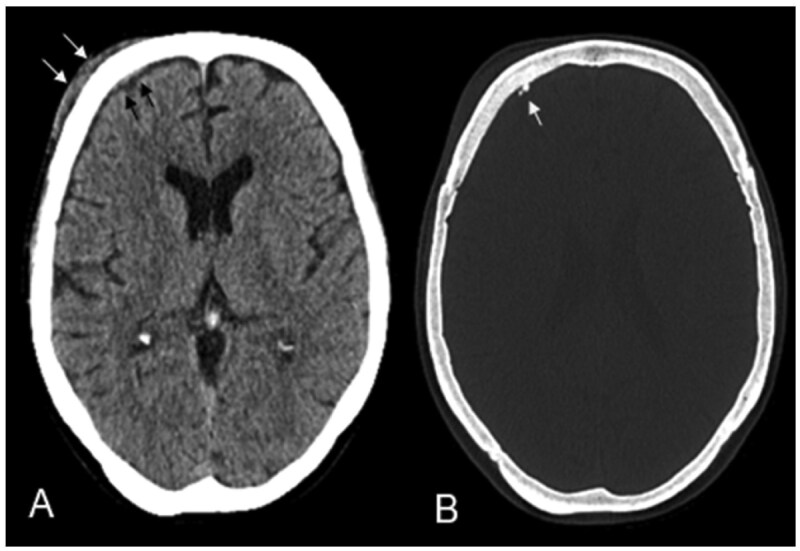
Primary central nervous system (CNS) mucosa-associated lymphoid tissue (MALT) lymphoma is a rare condition frequently mistaken for meningioma. Since these conditions require distinct treatment approaches, recognizing their imaging characteristics is essential for accurate clinical decision-making. A 69-year-old woman presented with headaches and forehead swelling, prompting MRI of the CNS. Suspecting an intracranial meningioma, the tumour board recommended surgical resection. However, histopathological analysis identified the lesion as a primary CNS MALT lymphoma. Follow-up revealed secondary cutaneous tumour infiltration, leading to a delay in adjuvant radiotherapy. Understanding the differential diagnoses of meningioma is critical for neuroradiologists and neurosurgeons to ensure appropriate treatment planning. This case highlights a misdiagnosis of meningioma that was ultimately identified as a primary CNS MALT lymphoma, emphasizing key imaging and clinical characteristics essential for distinguishing between the most important differential diagnoses of primary CNS MALT lymphoma.

Abstract Image

Abstract Image

Abstract Image

原发性中枢神经系统粘膜相关淋巴组织淋巴瘤:一个诊断挑战。
原发性中枢神经系统(CNS)粘膜相关淋巴组织(MALT)淋巴瘤是一种罕见的疾病,常被误认为脑膜瘤。由于这些疾病需要不同的治疗方法,因此识别其影像学特征对于准确的临床决策至关重要。一名69岁的女性表现为头痛和前额肿胀,提示对中枢神经系统进行MRI检查。肿瘤委员会怀疑是颅内脑膜瘤,建议手术切除。然而,组织病理学分析确定病变为原发性中枢神经系统MALT淋巴瘤。随访发现继发性皮肤肿瘤浸润,导致辅助放疗延迟。了解脑膜瘤的鉴别诊断对神经放射学家和神经外科医生确保适当的治疗计划至关重要。本病例强调了脑膜瘤的误诊,最终被确定为原发性中枢神经系统MALT淋巴瘤,强调了区分原发性中枢神经系统MALT淋巴瘤最重要鉴别诊断的关键影像学和临床特征。
本文章由计算机程序翻译,如有差异,请以英文原文为准。
求助全文
约1分钟内获得全文 求助全文
来源期刊
BJR Case Reports
BJR Case Reports RADIOLOGY, NUCLEAR MEDICINE & MEDICAL IMAGING-
自引率
0.00%
发文量
77
审稿时长
11 weeks
×
引用
GB/T 7714-2015
复制
MLA
复制
APA
复制
导出至
BibTeX EndNote RefMan NoteFirst NoteExpress
×
提示
您的信息不完整,为了账户安全,请先补充。
现在去补充
×
提示
您因"违规操作"
具体请查看互助需知
我知道了
×
提示
确定
请完成安全验证×
copy
已复制链接
快去分享给好友吧!
我知道了
右上角分享
点击右上角分享
0
联系我们:info@booksci.cn Book学术提供免费学术资源搜索服务,方便国内外学者检索中英文文献。致力于提供最便捷和优质的服务体验。 Copyright © 2023 布克学术 All rights reserved.
京ICP备2023020795号-1
ghs 京公网安备 11010802042870号
Book学术文献互助
Book学术文献互助群
群 号:604180095
Book学术官方微信