Accessory spleen torsion: a hidden etiology of acute abdominal emergency.

IF 0.5 Q4 RADIOLOGY, NUCLEAR MEDICINE & MEDICAL IMAGING
BJR Case Reports Pub Date : 2025-07-16 eCollection Date: 2025-07-01 DOI:10.1093/bjrcr/uaaf035
Lucía Sanabria Greciano, Ana Fernández Alfonso, Begoña Peinado Iribar, Raquel Cano Alonso, Ana Álvarez Vázquez, Vicente Martínez de Vega Fernández
{"title":"Accessory spleen torsion: a hidden etiology of acute abdominal emergency.","authors":"Lucía Sanabria Greciano, Ana Fernández Alfonso, Begoña Peinado Iribar, Raquel Cano Alonso, Ana Álvarez Vázquez, Vicente Martínez de Vega Fernández","doi":"10.1093/bjrcr/uaaf035","DOIUrl":null,"url":null,"abstract":"<p><p>Accessory spleen torsion is a rare but important cause of acute abdominal pain, often presenting with non-specific symptoms that overlap with more common abdominal pathologies. This case report discusses a 19-year-old female who presented with left-sided flank pain and leucocytosis. Imaging with abdominal CT and MRI revealed a well-defined lesion near the spleen and kidney, with mild vascular engorgement and surrounding inflammation. While these findings raised suspicion for accessory spleen torsion, the diagnosis was not immediately clear. The lesion's location, vascular congestion, and absence of typical characteristics for other pathologies, such as haematomas, abscesses, mesothelial cysts, or lymphangiomas pointed towards torsion, but confirmation required surgical intervention. During laparoscopic exploration, a 5 cm accessory spleen with ischaemic changes due to torsion of its pedicle was identified and successfully removed without complications. Accessory spleens, present in 10%-30% of the population, are usually asymptomatic but can become problematic if torsion, rupture, or infarction occurs. Imaging plays a critical role in identifying torsion, with CT and MRI revealing the characteristic \"whirlpool sign\" and vascular congestion. Early recognition is crucial to prevent complications such as necrosis and rupture, and surgical intervention, typically laparoscopic splenectomy, is the treatment of choice. This case highlights the importance of considering accessory spleen torsion in the differential diagnosis of acute abdominal pain, particularly in young patients with non-specific symptoms. Awareness of this condition can improve early diagnosis and outcomes, preventing severe consequences.</p>","PeriodicalId":45216,"journal":{"name":"BJR Case Reports","volume":"11 4","pages":"uaaf035"},"PeriodicalIF":0.5000,"publicationDate":"2025-07-16","publicationTypes":"Journal Article","fieldsOfStudy":null,"isOpenAccess":false,"openAccessPdf":"https://www.ncbi.nlm.nih.gov/pmc/articles/PMC12303862/pdf/","citationCount":"0","resultStr":null,"platform":"Semanticscholar","paperid":null,"PeriodicalName":"BJR Case Reports","FirstCategoryId":"1085","ListUrlMain":"https://doi.org/10.1093/bjrcr/uaaf035","RegionNum":0,"RegionCategory":null,"ArticlePicture":[],"TitleCN":null,"AbstractTextCN":null,"PMCID":null,"EPubDate":"2025/7/1 0:00:00","PubModel":"eCollection","JCR":"Q4","JCRName":"RADIOLOGY, NUCLEAR MEDICINE & MEDICAL IMAGING","Score":null,"Total":0}
引用次数: 0

Abstract

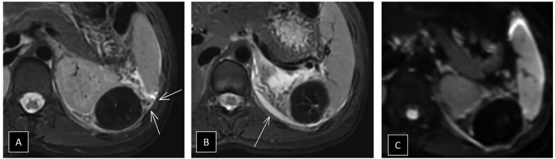
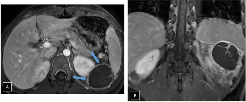
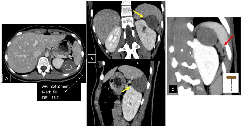
Accessory spleen torsion is a rare but important cause of acute abdominal pain, often presenting with non-specific symptoms that overlap with more common abdominal pathologies. This case report discusses a 19-year-old female who presented with left-sided flank pain and leucocytosis. Imaging with abdominal CT and MRI revealed a well-defined lesion near the spleen and kidney, with mild vascular engorgement and surrounding inflammation. While these findings raised suspicion for accessory spleen torsion, the diagnosis was not immediately clear. The lesion's location, vascular congestion, and absence of typical characteristics for other pathologies, such as haematomas, abscesses, mesothelial cysts, or lymphangiomas pointed towards torsion, but confirmation required surgical intervention. During laparoscopic exploration, a 5 cm accessory spleen with ischaemic changes due to torsion of its pedicle was identified and successfully removed without complications. Accessory spleens, present in 10%-30% of the population, are usually asymptomatic but can become problematic if torsion, rupture, or infarction occurs. Imaging plays a critical role in identifying torsion, with CT and MRI revealing the characteristic "whirlpool sign" and vascular congestion. Early recognition is crucial to prevent complications such as necrosis and rupture, and surgical intervention, typically laparoscopic splenectomy, is the treatment of choice. This case highlights the importance of considering accessory spleen torsion in the differential diagnosis of acute abdominal pain, particularly in young patients with non-specific symptoms. Awareness of this condition can improve early diagnosis and outcomes, preventing severe consequences.

Abstract Image

Abstract Image

Abstract Image

副脾扭转:急腹症的隐性病因。
副脾扭转是一种罕见但重要的急性腹痛原因,通常表现为与更常见的腹部病理重叠的非特异性症状。本病例报告讨论了一位19岁的女性,她表现为左侧腰痛和白细胞增多。腹部CT和MRI显示脾脏和肾脏附近有明确病灶,伴轻度血管扩张和周围炎症。虽然这些发现引起了对副脾扭转的怀疑,但诊断并不立即明确。病变的位置、血管充血以及没有血肿、脓肿、间皮囊肿或淋巴管瘤等其他病理的典型特征,都指向扭转,但需要手术干预才能确诊。在腹腔镜探查中,发现了一个5厘米的副脾,由于其蒂扭转而发生缺血改变,并成功切除,无并发症。副脾占人口的10%-30%,通常无症状,但如果发生扭转、破裂或梗死,则可能出现问题。影像学在识别扭转方面起着关键作用,CT和MRI显示特征性的“漩涡征”和血管充血。早期识别对于预防坏死和破裂等并发症至关重要,手术干预,通常是腹腔镜脾切除术,是治疗的选择。本病例强调了在鉴别诊断急性腹痛时考虑副脾扭转的重要性,特别是在有非特异性症状的年轻患者中。对这种情况的认识可以改善早期诊断和结果,防止严重后果。
本文章由计算机程序翻译,如有差异,请以英文原文为准。
求助全文
约1分钟内获得全文 求助全文
来源期刊
BJR Case Reports
BJR Case Reports RADIOLOGY, NUCLEAR MEDICINE & MEDICAL IMAGING-
自引率
0.00%
发文量
77
审稿时长
11 weeks
×
引用
GB/T 7714-2015
复制
MLA
复制
APA
复制
导出至
BibTeX EndNote RefMan NoteFirst NoteExpress
×
提示
您的信息不完整,为了账户安全,请先补充。
现在去补充
×
提示
您因"违规操作"
具体请查看互助需知
我知道了
×
提示
确定
请完成安全验证×
copy
已复制链接
快去分享给好友吧!
我知道了
右上角分享
点击右上角分享
0
联系我们:info@booksci.cn Book学术提供免费学术资源搜索服务,方便国内外学者检索中英文文献。致力于提供最便捷和优质的服务体验。 Copyright © 2023 布克学术 All rights reserved.
京ICP备2023020795号-1
ghs 京公网安备 11010802042870号
Book学术文献互助
Book学术文献互助群
群 号:604180095
Book学术官方微信