Dura Vibration Difference Between PTP Bone Resection and Upper Facet Joints En Bolc Resection in Posterior Thoracic Decompression.

IF 2.1 2区 医学 Q2 ORTHOPEDICS
Orthopaedic Surgery Pub Date : 2025-09-01 Epub Date: 2025-07-29 DOI:10.1111/os.70138
Rui Wang, Yingjie Zheng, Weixiang Ke, Junfei Hu, Guangming Xia, Yu Dai, Yuan Xue
{"title":"Dura Vibration Difference Between PTP Bone Resection and Upper Facet Joints En Bolc Resection in Posterior Thoracic Decompression.","authors":"Rui Wang, Yingjie Zheng, Weixiang Ke, Junfei Hu, Guangming Xia, Yu Dai, Yuan Xue","doi":"10.1111/os.70138","DOIUrl":null,"url":null,"abstract":"<p><strong>Objective: </strong>In thoracic posterior decompression surgery, the traditional pedicle-to-pedicle (PTP) approach may have limitations in achieving complete decompression and may also pose potential risks of injury to the spinal cord. Through comparative analysis with the PTP method, the study explored the safety of posterior thoracic decompression via the pedicle-ossification tunnel (POT), aiming to provide a more scientific and safer clinical surgical pathway selection.</p><p><strong>Methods: </strong>Combined with preoperative image data and intraoperative operation images, the POT decompression method was deeply analyzed. In this study, the thoracic vertebrae of sheep were taken as experimental specimens. The water sac was placed close to the joint level of the articular process to simulate the spinal cord, and the experiment was carried out by the surgical methods of PTP and POT respectively with a high-speed bur. The laser displacement sensor (LDS) was used to monitor the vibration displacement of the water sac, and the collected vibration data was divided into 0.1 s/frame (500 vibration signal data points), which were used to calculate the curvature change of the vibration displacement curve. The Wilcoxon rank sum test was used for statistical analysis. Milling parameters for the high-speed bur were set to: milling depth 0.5 mm, milling speed 0.5 mm/s, milling angle 45<sup>°</sup>, and spherical bit size 4 mm.</p><p><strong>Results: </strong>Combining the detailed preoperative image data and intraoperative images of key operations, the study first provides a detailed description of the surgical steps for safe posterior thoracic decompression via the POT. Then, based on Euler-Bernoulli beam theory, the vibration of the \"spinal cord\" under different surgery pathways (POT and PTP) in posterior thoracic decompression was further studied. The statistical analysis showed that the vibration amplitude and curvature value of the vibration curve of POT and PTP were significantly different (p < 0.05). As the milling position approached POT, the amplitude and curvature values also decreased gradually.</p><p><strong>Conclusion: </strong>Through theoretical analysis and experimental verification, the safety and effectiveness of posterior thoracic decompression via POT was thoroughly investigated. The milling pathway via POT could not only achieve the surgical purpose of complete decompression, but also avoid the contact area between OLF and dura as much as possible, thus reducing the irritation to the spinal cord.</p>","PeriodicalId":19566,"journal":{"name":"Orthopaedic Surgery","volume":" ","pages":"2735-2743"},"PeriodicalIF":2.1000,"publicationDate":"2025-09-01","publicationTypes":"Journal Article","fieldsOfStudy":null,"isOpenAccess":false,"openAccessPdf":"https://www.ncbi.nlm.nih.gov/pmc/articles/PMC12404885/pdf/","citationCount":"0","resultStr":null,"platform":"Semanticscholar","paperid":null,"PeriodicalName":"Orthopaedic Surgery","FirstCategoryId":"3","ListUrlMain":"https://doi.org/10.1111/os.70138","RegionNum":2,"RegionCategory":"医学","ArticlePicture":[],"TitleCN":null,"AbstractTextCN":null,"PMCID":null,"EPubDate":"2025/7/29 0:00:00","PubModel":"Epub","JCR":"Q2","JCRName":"ORTHOPEDICS","Score":null,"Total":0}
引用次数: 0

Abstract

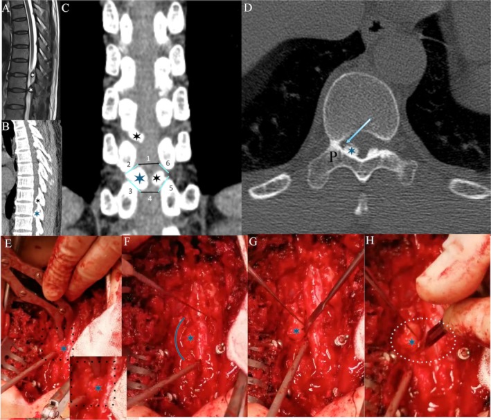
Objective: In thoracic posterior decompression surgery, the traditional pedicle-to-pedicle (PTP) approach may have limitations in achieving complete decompression and may also pose potential risks of injury to the spinal cord. Through comparative analysis with the PTP method, the study explored the safety of posterior thoracic decompression via the pedicle-ossification tunnel (POT), aiming to provide a more scientific and safer clinical surgical pathway selection.

Methods: Combined with preoperative image data and intraoperative operation images, the POT decompression method was deeply analyzed. In this study, the thoracic vertebrae of sheep were taken as experimental specimens. The water sac was placed close to the joint level of the articular process to simulate the spinal cord, and the experiment was carried out by the surgical methods of PTP and POT respectively with a high-speed bur. The laser displacement sensor (LDS) was used to monitor the vibration displacement of the water sac, and the collected vibration data was divided into 0.1 s/frame (500 vibration signal data points), which were used to calculate the curvature change of the vibration displacement curve. The Wilcoxon rank sum test was used for statistical analysis. Milling parameters for the high-speed bur were set to: milling depth 0.5 mm, milling speed 0.5 mm/s, milling angle 45°, and spherical bit size 4 mm.

Results: Combining the detailed preoperative image data and intraoperative images of key operations, the study first provides a detailed description of the surgical steps for safe posterior thoracic decompression via the POT. Then, based on Euler-Bernoulli beam theory, the vibration of the "spinal cord" under different surgery pathways (POT and PTP) in posterior thoracic decompression was further studied. The statistical analysis showed that the vibration amplitude and curvature value of the vibration curve of POT and PTP were significantly different (p < 0.05). As the milling position approached POT, the amplitude and curvature values also decreased gradually.

Conclusion: Through theoretical analysis and experimental verification, the safety and effectiveness of posterior thoracic decompression via POT was thoroughly investigated. The milling pathway via POT could not only achieve the surgical purpose of complete decompression, but also avoid the contact area between OLF and dura as much as possible, thus reducing the irritation to the spinal cord.

Abstract Image

Abstract Image

Abstract Image

胸椎后路减压术中PTP骨切除术与上关节突骨切除术的硬脑膜振动差异。
目的:在胸椎后路减压手术中,传统的椎弓根到椎弓根(PTP)入路在实现完全减压方面可能存在局限性,并且可能存在脊髓损伤的潜在风险。本研究通过与PTP方法的对比分析,探讨经椎弓根骨化隧道(POT)胸椎后路减压术的安全性,旨在为临床提供更科学、更安全的手术路径选择。方法:结合术前影像资料及术中影像,对POT减压方法进行深入分析。本研究以绵羊胸椎为实验标本。将水囊放置于关节突关节水平附近模拟脊髓,实验分别采用PTP和POT两种手术方式,高速穿刺。采用激光位移传感器(LDS)监测水囊的振动位移,将采集到的振动数据分成0.1 s/帧(500个振动信号数据点),用于计算振动位移曲线的曲率变化。采用Wilcoxon秩和检验进行统计分析。高速钻头铣削参数设置为:铣削深度0.5 mm,铣削速度0.5 mm/s,铣削角度45°,球形钻头尺寸4mm。结果:本研究结合详细的术前图像资料和关键手术术中图像,首先详细描述了经POT安全胸后减压的手术步骤,然后基于Euler-Bernoulli梁理论,进一步研究了不同手术路径(POT和PTP)下胸后减压“脊髓”的振动。统计分析表明,POT与PTP的振动曲线振幅和曲率值有显著性差异(p)。结论:通过理论分析和实验验证,深入探讨了POT胸后减压术的安全性和有效性。经POT磨径既能达到完全减压的手术目的,又能尽量避免黄韧带与硬脑膜的接触区域,减少对脊髓的刺激。
本文章由计算机程序翻译,如有差异,请以英文原文为准。
求助全文
约1分钟内获得全文 求助全文
来源期刊
Orthopaedic Surgery
Orthopaedic Surgery ORTHOPEDICS-
CiteScore
3.40
自引率
14.30%
发文量
374
审稿时长
20 weeks
期刊介绍: Orthopaedic Surgery (OS) is the official journal of the Chinese Orthopaedic Association, focusing on all aspects of orthopaedic technique and surgery. The journal publishes peer-reviewed articles in the following categories: Original Articles, Clinical Articles, Review Articles, Guidelines, Editorials, Commentaries, Surgical Techniques, Case Reports and Meeting Reports.
×
引用
GB/T 7714-2015
复制
MLA
复制
APA
复制
导出至
BibTeX EndNote RefMan NoteFirst NoteExpress
×
提示
您的信息不完整,为了账户安全,请先补充。
现在去补充
×
提示
您因"违规操作"
具体请查看互助需知
我知道了
×
提示
确定
请完成安全验证×
copy
已复制链接
快去分享给好友吧!
我知道了
右上角分享
点击右上角分享
0
联系我们:info@booksci.cn Book学术提供免费学术资源搜索服务,方便国内外学者检索中英文文献。致力于提供最便捷和优质的服务体验。 Copyright © 2023 布克学术 All rights reserved.
京ICP备2023020795号-1
ghs 京公网安备 11010802042870号
Book学术文献互助
Book学术文献互助群
群 号:604180095
Book学术官方微信