Ectopic ACTH Secretion Induced by an Olfactory Neuroblastoma: A Case Report.

IF 0.9 Q4 ENDOCRINOLOGY & METABOLISM
Case Reports in Endocrinology Pub Date : 2025-07-18 eCollection Date: 2025-01-01 DOI:10.1155/crie/8834392
Jérôme Houdu, Roger Jankowski, Duc-Trung Nguyen
{"title":"Ectopic ACTH Secretion Induced by an Olfactory Neuroblastoma: A Case Report.","authors":"Jérôme Houdu, Roger Jankowski, Duc-Trung Nguyen","doi":"10.1155/crie/8834392","DOIUrl":null,"url":null,"abstract":"<p><p><b>Background:</b> Olfactory neuroblastoma (ONB) is a rare tumor of the nasal cavity. It may sometimes present with Cushing's syndrome due to adrenocorticotropic hormone (ACTH) secretion, making it challenging to diagnose. <b>Methods:</b> A 65-year-old man with hypokalemia and general weakness presented to the emergency department for Cushing's syndrome. Brain imaging revealed a tumor originating from the ethmoid bone with peritumoral cysts. The first biopsy suggested an ectopic corticotropic pituitary adenoma or a well-differentiated neuroendocrine tumor. However, the second biopsy confirmed an ONB, as suspected by the otolaryngologist. Treatment consisted of neoadjuvant chemotherapy, surgery, and radiotherapy. <b>Results:</b> The patient was cured of Cushing's syndrome and remained in remission at 10 years of follow-up. <b>Conclusion:</b> An unusual mode of discovering ONB is via the diagnosis of Cushing's syndrome caused by ACTH secretion, which may manifest throughout the course of follow-up. Imaging analysis and discussion with pathologists are essential to achieve an accurate diagnosis.</p>","PeriodicalId":9621,"journal":{"name":"Case Reports in Endocrinology","volume":"2025 ","pages":"8834392"},"PeriodicalIF":0.9000,"publicationDate":"2025-07-18","publicationTypes":"Journal Article","fieldsOfStudy":null,"isOpenAccess":false,"openAccessPdf":"https://www.ncbi.nlm.nih.gov/pmc/articles/PMC12297143/pdf/","citationCount":"0","resultStr":null,"platform":"Semanticscholar","paperid":null,"PeriodicalName":"Case Reports in Endocrinology","FirstCategoryId":"1085","ListUrlMain":"https://doi.org/10.1155/crie/8834392","RegionNum":0,"RegionCategory":null,"ArticlePicture":[],"TitleCN":null,"AbstractTextCN":null,"PMCID":null,"EPubDate":"2025/1/1 0:00:00","PubModel":"eCollection","JCR":"Q4","JCRName":"ENDOCRINOLOGY & METABOLISM","Score":null,"Total":0}
引用次数: 0

Abstract

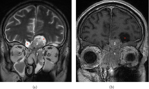
Background: Olfactory neuroblastoma (ONB) is a rare tumor of the nasal cavity. It may sometimes present with Cushing's syndrome due to adrenocorticotropic hormone (ACTH) secretion, making it challenging to diagnose. Methods: A 65-year-old man with hypokalemia and general weakness presented to the emergency department for Cushing's syndrome. Brain imaging revealed a tumor originating from the ethmoid bone with peritumoral cysts. The first biopsy suggested an ectopic corticotropic pituitary adenoma or a well-differentiated neuroendocrine tumor. However, the second biopsy confirmed an ONB, as suspected by the otolaryngologist. Treatment consisted of neoadjuvant chemotherapy, surgery, and radiotherapy. Results: The patient was cured of Cushing's syndrome and remained in remission at 10 years of follow-up. Conclusion: An unusual mode of discovering ONB is via the diagnosis of Cushing's syndrome caused by ACTH secretion, which may manifest throughout the course of follow-up. Imaging analysis and discussion with pathologists are essential to achieve an accurate diagnosis.

Abstract Image

Abstract Image

Abstract Image

嗅觉神经母细胞瘤诱导异位ACTH分泌1例。
背景:嗅神经母细胞瘤是一种罕见的鼻腔肿瘤。由于促肾上腺皮质激素(ACTH)分泌,有时可能会出现库欣综合征,使其难以诊断。方法:65岁男性,低血钾,全身虚弱,以库欣综合征就诊。脑成像显示肿瘤起源于筛骨并伴有瘤周囊肿。第一次活检提示异位促皮质垂体腺瘤或分化良好的神经内分泌肿瘤。然而,第二次活检证实了ONB,正如耳鼻喉科医生所怀疑的那样。治疗包括新辅助化疗、手术和放疗。结果:患者库欣综合征治愈,随访10年,病情持续缓解。结论:通过ACTH分泌引起的库欣综合征的诊断是发现ONB的一种不寻常的方式,这种诊断可能贯穿整个随访过程。影像学分析和与病理学家的讨论是实现准确诊断的必要条件。
本文章由计算机程序翻译,如有差异,请以英文原文为准。
求助全文
约1分钟内获得全文 求助全文
来源期刊
Case Reports in Endocrinology
Case Reports in Endocrinology ENDOCRINOLOGY & METABOLISM-
CiteScore
2.10
自引率
0.00%
发文量
45
审稿时长
13 weeks
×
引用
GB/T 7714-2015
复制
MLA
复制
APA
复制
导出至
BibTeX EndNote RefMan NoteFirst NoteExpress
×
提示
您的信息不完整,为了账户安全,请先补充。
现在去补充
×
提示
您因"违规操作"
具体请查看互助需知
我知道了
×
提示
确定
请完成安全验证×
copy
已复制链接
快去分享给好友吧!
我知道了
右上角分享
点击右上角分享
0
联系我们:info@booksci.cn Book学术提供免费学术资源搜索服务,方便国内外学者检索中英文文献。致力于提供最便捷和优质的服务体验。 Copyright © 2023 布克学术 All rights reserved.
京ICP备2023020795号-1
ghs 京公网安备 11010802042870号
Book学术文献互助
Book学术文献互助群
群 号:604180095
Book学术官方微信