First Case of Infective Endocarditis Caused by Vibrio metschnikovii: Clinico-Diagnostic Complexities and a Systematic Literature Review.

IF 2.2 Q2 MEDICINE, GENERAL & INTERNAL
Alessandro Carrozzo, Vittorio Bolcato, Luigi Martinelli, Ferdinando Dodi, Antonella Vulcano, Giuseppe Basile, Livio P Tronconi
{"title":"First Case of Infective Endocarditis Caused by <i>Vibrio metschnikovii</i>: Clinico-Diagnostic Complexities and a Systematic Literature Review.","authors":"Alessandro Carrozzo, Vittorio Bolcato, Luigi Martinelli, Ferdinando Dodi, Antonella Vulcano, Giuseppe Basile, Livio P Tronconi","doi":"10.3390/clinpract15070118","DOIUrl":null,"url":null,"abstract":"<p><strong>Background: </strong>Non-cholera Vibrio species are rare waterborne pathogens that can cause severe infections. Among these, few cases of <i>Vibrio metschnikovii</i> infections have been reported, especially in the gastrointestinal tract, with no cardiac tissue involvement as a result. Following the PRISMA checklist, we conducted a literature review, and thirteen articles for twenty-two cases overall were included: seven cases of sepsis (in three cases, the echocardiographic results were negative), seven cases of pneumonia, two skin infections, eleven cases of diarrhoea, and a gastroenteritis outbreak. This report documents the expanding clinical spectrum and the role played by <i>V. metschnikovii</i> in infective endocarditis.</p><p><strong>Case report: </strong>A 28-year-old male patient was referred to the cardiac surgery unit for urgent mitral valve replacement due to suspicion of infective endocarditis. Microbiological tests yielded negative results. Following recovery and discharge with antimicrobial therapy for 6 weeks, the patient experienced prosthesis detachment, necessitating re-hospitalisation for an emergency valve replacement. <i>Vibrio metschnikovii</i> was identified on the prosthesis valve through PCR and successfully treated with ciprofloxacin. However, a spontaneous rupture of the ascending thoracic aorta led to a neurological injury.</p><p><strong>Discussion: </strong>This case represents the first case of valve infection caused by <i>Vibrio metschnikovii</i>, characterised by diagnostic and therapeutic challenges and the involvement of the great vessels. Also considered in this case, for a disease with a median age of 58 years (11-83) and a male-to-female ratio of 2.2, were one male neonate and six cases for whom neither sex nor age was indicated. Excluding gastrointestinal cases, the septic forms are associated with high morbidity, although the single case described involved a young and healthy subject. Risk factors for the pathogen or predisposing/pathological conditions for endocarditis did not emerge. The routes and the time of infection could not be determined, deepening the possibility of occupational exposure via the patient's position as a boat worker. Poor sensitivity to third-generation cephalosporins has been reported in the literature: the absence of an antibiogram does not allow for a comparison, although resolution was achieved with ciprofloxacin.</p><p><strong>Conclusion: </strong>The rising global incidence of non-cholera Vibrio infections, driven by environmental changes, calls for urgent research into the factors behind their pathogenicity and infection routes. Diagnostic complexities have emerged together with clinical severity.</p>","PeriodicalId":45306,"journal":{"name":"Clinics and Practice","volume":"15 7","pages":""},"PeriodicalIF":2.2000,"publicationDate":"2025-06-25","publicationTypes":"Journal Article","fieldsOfStudy":null,"isOpenAccess":false,"openAccessPdf":"https://www.ncbi.nlm.nih.gov/pmc/articles/PMC12294080/pdf/","citationCount":"0","resultStr":null,"platform":"Semanticscholar","paperid":null,"PeriodicalName":"Clinics and Practice","FirstCategoryId":"1085","ListUrlMain":"https://doi.org/10.3390/clinpract15070118","RegionNum":0,"RegionCategory":null,"ArticlePicture":[],"TitleCN":null,"AbstractTextCN":null,"PMCID":null,"EPubDate":"","PubModel":"","JCR":"Q2","JCRName":"MEDICINE, GENERAL & INTERNAL","Score":null,"Total":0}
引用次数: 0

Abstract

Background: Non-cholera Vibrio species are rare waterborne pathogens that can cause severe infections. Among these, few cases of Vibrio metschnikovii infections have been reported, especially in the gastrointestinal tract, with no cardiac tissue involvement as a result. Following the PRISMA checklist, we conducted a literature review, and thirteen articles for twenty-two cases overall were included: seven cases of sepsis (in three cases, the echocardiographic results were negative), seven cases of pneumonia, two skin infections, eleven cases of diarrhoea, and a gastroenteritis outbreak. This report documents the expanding clinical spectrum and the role played by V. metschnikovii in infective endocarditis.

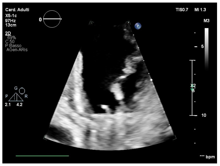
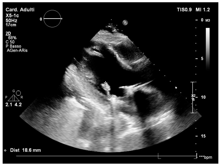
Case report: A 28-year-old male patient was referred to the cardiac surgery unit for urgent mitral valve replacement due to suspicion of infective endocarditis. Microbiological tests yielded negative results. Following recovery and discharge with antimicrobial therapy for 6 weeks, the patient experienced prosthesis detachment, necessitating re-hospitalisation for an emergency valve replacement. Vibrio metschnikovii was identified on the prosthesis valve through PCR and successfully treated with ciprofloxacin. However, a spontaneous rupture of the ascending thoracic aorta led to a neurological injury.

Discussion: This case represents the first case of valve infection caused by Vibrio metschnikovii, characterised by diagnostic and therapeutic challenges and the involvement of the great vessels. Also considered in this case, for a disease with a median age of 58 years (11-83) and a male-to-female ratio of 2.2, were one male neonate and six cases for whom neither sex nor age was indicated. Excluding gastrointestinal cases, the septic forms are associated with high morbidity, although the single case described involved a young and healthy subject. Risk factors for the pathogen or predisposing/pathological conditions for endocarditis did not emerge. The routes and the time of infection could not be determined, deepening the possibility of occupational exposure via the patient's position as a boat worker. Poor sensitivity to third-generation cephalosporins has been reported in the literature: the absence of an antibiogram does not allow for a comparison, although resolution was achieved with ciprofloxacin.

Conclusion: The rising global incidence of non-cholera Vibrio infections, driven by environmental changes, calls for urgent research into the factors behind their pathogenicity and infection routes. Diagnostic complexities have emerged together with clinical severity.

Abstract Image

Abstract Image

Abstract Image

梅茨尼科夫弧菌引起的感染性心内膜炎首例:临床诊断复杂性和系统文献综述。
背景:非霍乱弧菌是一种罕见的水传播病原体,可引起严重感染。其中,很少有梅氏弧菌感染的病例报道,特别是在胃肠道,没有心脏组织受累的结果。根据PRISMA检查表,我们进行了文献回顾,共纳入了22例病例的13篇文章:7例败血症(其中3例超声心动图结果为阴性),7例肺炎,2例皮肤感染,11例腹泻和1例肠胃炎爆发。本报告记录了metschnikov在感染性心内膜炎中扩大的临床范围和作用。病例报告:一名28岁男性患者因怀疑感染性心内膜炎被转介到心脏外科进行紧急二尖瓣置换术。微生物检测结果为阴性。在抗菌药物治疗6周后恢复出院,患者出现假体脱离,需要再次住院进行紧急瓣膜置换术。经PCR鉴定假体瓣膜上有梅氏弧菌,并用环丙沙星成功治疗。然而,自发性胸升主动脉破裂导致神经损伤。讨论:本病例是首例由梅氏弧菌引起的瓣膜感染,其特点是诊断和治疗困难,并累及大血管。本病例还考虑到,对于中位年龄为58岁(11-83岁)、男女比例为2.2的疾病,有1例男性新生儿和6例未注明性别和年龄的病例。除胃肠道病例外,脓毒症形式与高发病率相关,尽管所描述的单个病例涉及年轻健康的受试者。病原体或心内膜炎易感/病理条件的危险因素未出现。感染途径和时间无法确定,这加大了通过患者作为船工的职业接触的可能性。文献中有对第三代头孢菌素敏感性差的报道:尽管使用环丙沙星可以解决问题,但由于缺乏抗生素谱,无法进行比较。结论:在环境变化的驱动下,全球非霍乱弧菌感染发病率不断上升,迫切需要对其致病性和感染途径背后的因素进行研究。诊断复杂性与临床严重性一起出现。
本文章由计算机程序翻译,如有差异,请以英文原文为准。
求助全文
约1分钟内获得全文 求助全文
来源期刊
Clinics and Practice
Clinics and Practice MEDICINE, GENERAL & INTERNAL-
CiteScore
2.60
自引率
4.30%
发文量
91
审稿时长
10 weeks
×
引用
GB/T 7714-2015
复制
MLA
复制
APA
复制
导出至
BibTeX EndNote RefMan NoteFirst NoteExpress
×
提示
您的信息不完整,为了账户安全,请先补充。
现在去补充
×
提示
您因"违规操作"
具体请查看互助需知
我知道了
×
提示
确定
请完成安全验证×
copy
已复制链接
快去分享给好友吧!
我知道了
右上角分享
点击右上角分享
0
联系我们:info@booksci.cn Book学术提供免费学术资源搜索服务,方便国内外学者检索中英文文献。致力于提供最便捷和优质的服务体验。 Copyright © 2023 布克学术 All rights reserved.
京ICP备2023020795号-1
ghs 京公网安备 11010802042870号
Book学术文献互助
Book学术文献互助群
群 号:604180095
Book学术官方微信