Invasive Pulmonary Aspergillosis and Nocardia Pneumonia in a Pediatric Patient With Chronic Lung Disease: A Case Report.

IF 0.5 Q4 PEDIATRICS
Case Reports in Pediatrics Pub Date : 2025-07-17 eCollection Date: 2025-01-01 DOI:10.1155/crpe/6659641
Ahmed H Ali, Mahmoud Kamal, Mohammed E Elyan
{"title":"Invasive Pulmonary Aspergillosis and Nocardia Pneumonia in a Pediatric Patient With Chronic Lung Disease: A Case Report.","authors":"Ahmed H Ali, Mahmoud Kamal, Mohammed E Elyan","doi":"10.1155/crpe/6659641","DOIUrl":null,"url":null,"abstract":"<p><p>This case illustrates the susceptibility of pediatric patients with chronic lung disease, here, a 3-year-old male with structural airway injury and impaired mucociliary clearance from recurrent aspiration (due to Chiari II malformation and spinal dysgenesis), to life-threatening polymicrobial co-infections, even without classic immunodeficiency. The child was admitted with acute respiratory failure and sepsis; imaging demonstrated necrotizing pneumonia and pneumatoceles; bronchoalveolar lavage confirmed ∗<i>Aspergillus</i>∗ galactomannan positivity and ∗<i>Nocardia</i>∗ species, warranting broad antimicrobial therapy and mechanical ventilation. Diagnosis of invasive aspergillosis and treatment initiation were delayed; despite therapy, he developed multiorgan failure and died. This highlights how chronic lung disease predisposes children to catastrophic fungal-bacterial synergies and reinforces the value of early bronchoscopy for targeted treatment. Advanced disease with structural damage portends poor outcomes, underscoring the need for enhanced surveillance in this high-risk cohort.</p>","PeriodicalId":9623,"journal":{"name":"Case Reports in Pediatrics","volume":"2025 ","pages":"6659641"},"PeriodicalIF":0.5000,"publicationDate":"2025-07-17","publicationTypes":"Journal Article","fieldsOfStudy":null,"isOpenAccess":false,"openAccessPdf":"https://www.ncbi.nlm.nih.gov/pmc/articles/PMC12289372/pdf/","citationCount":"0","resultStr":null,"platform":"Semanticscholar","paperid":null,"PeriodicalName":"Case Reports in Pediatrics","FirstCategoryId":"1085","ListUrlMain":"https://doi.org/10.1155/crpe/6659641","RegionNum":0,"RegionCategory":null,"ArticlePicture":[],"TitleCN":null,"AbstractTextCN":null,"PMCID":null,"EPubDate":"2025/1/1 0:00:00","PubModel":"eCollection","JCR":"Q4","JCRName":"PEDIATRICS","Score":null,"Total":0}
引用次数: 0

Abstract

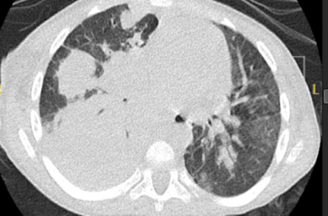
This case illustrates the susceptibility of pediatric patients with chronic lung disease, here, a 3-year-old male with structural airway injury and impaired mucociliary clearance from recurrent aspiration (due to Chiari II malformation and spinal dysgenesis), to life-threatening polymicrobial co-infections, even without classic immunodeficiency. The child was admitted with acute respiratory failure and sepsis; imaging demonstrated necrotizing pneumonia and pneumatoceles; bronchoalveolar lavage confirmed ∗Aspergillus∗ galactomannan positivity and ∗Nocardia∗ species, warranting broad antimicrobial therapy and mechanical ventilation. Diagnosis of invasive aspergillosis and treatment initiation were delayed; despite therapy, he developed multiorgan failure and died. This highlights how chronic lung disease predisposes children to catastrophic fungal-bacterial synergies and reinforces the value of early bronchoscopy for targeted treatment. Advanced disease with structural damage portends poor outcomes, underscoring the need for enhanced surveillance in this high-risk cohort.

Abstract Image

慢性肺病患儿侵袭性肺曲霉病和诺卡菌肺炎1例报告
这个病例说明了患有慢性肺部疾病的儿科患者的易感性,在这里,一个3岁的男性,由于反复吸入(由于Chiari II畸形和脊柱发育不良)导致结构性气道损伤和粘膜纤毛清除受损,即使没有典型的免疫缺陷,也会危及生命的多微生物合并感染。患儿因急性呼吸衰竭和败血症入院;影像学表现为坏死性肺炎和气肿;支气管肺泡灌洗证实了半乳甘露聚糖曲霉∗阳性和诺卡菌∗种,保证广泛的抗菌治疗和机械通气。侵袭性曲霉病的诊断和治疗开始延迟;尽管接受了治疗,他还是出现了多器官衰竭,最终死亡。这突出了慢性肺部疾病如何使儿童易受灾难性真菌-细菌协同作用的影响,并加强了早期支气管镜检查对靶向治疗的价值。伴有结构损伤的晚期疾病预示着不良的预后,强调了在这一高危人群中加强监测的必要性。
本文章由计算机程序翻译,如有差异,请以英文原文为准。
求助全文
约1分钟内获得全文 求助全文
来源期刊
自引率
11.10%
发文量
48
审稿时长
13 weeks
×
引用
GB/T 7714-2015
复制
MLA
复制
APA
复制
导出至
BibTeX EndNote RefMan NoteFirst NoteExpress
×
提示
您的信息不完整,为了账户安全,请先补充。
现在去补充
×
提示
您因"违规操作"
具体请查看互助需知
我知道了
×
提示
确定
请完成安全验证×
copy
已复制链接
快去分享给好友吧!
我知道了
右上角分享
点击右上角分享
0
联系我们:info@booksci.cn Book学术提供免费学术资源搜索服务,方便国内外学者检索中英文文献。致力于提供最便捷和优质的服务体验。 Copyright © 2023 布克学术 All rights reserved.
京ICP备2023020795号-1
ghs 京公网安备 11010802042870号
Book学术文献互助
Book学术文献互助群
群 号:604180095
Book学术官方微信