Measurements of Posterior Tibial Slope of the Ankle Joint on CT Images and Virtual Radiographs.

IF 2.1 2区 医学 Q2 ORTHOPEDICS
Orthopaedic Surgery Pub Date : 2025-09-01 Epub Date: 2025-07-24 DOI:10.1111/os.70111
Yuanjun Teng, Jian Yu, Kangrui Zhang, Lijun Da, Sixian Li, Jianming Zhou, Wenming Chen, Xu Wang, Xin Ma
{"title":"Measurements of Posterior Tibial Slope of the Ankle Joint on CT Images and Virtual Radiographs.","authors":"Yuanjun Teng, Jian Yu, Kangrui Zhang, Lijun Da, Sixian Li, Jianming Zhou, Wenming Chen, Xu Wang, Xin Ma","doi":"10.1111/os.70111","DOIUrl":null,"url":null,"abstract":"<p><strong>Objective: </strong>The posterior tibial slope (PTS) is essential in the assessment of ankle alignment. However, its standardized reference value has not been adequately investigated. This study aims to compare the PTS of the ankle joint on virtual radiographs and CT images and determine the effect of participants' demographic characteristics on the PTS.</p><p><strong>Methods: </strong>A retrospective analysis was conducted in healthy populations who underwent CT scans of the ankle joint. A total of 106 participants (53 males and 53 females) were included in our study. The three-dimensional model of the ankle joint was reconstructed by CT images, and the standard coronal and sagittal planes were produced using the anatomical coordinate system. The PTS was measured on different CT sagittal planes and virtual radiographs. All measurements were performed using three reference axes, including the anterior cortex axis, the anatomical axis, and the posterior cortex axis of the tibial shaft. Subgroup and correlation analyses were performed to investigate the effect of participants' demographic characteristics (the age, height, gender, and BMI) on the PTS. Statistical comparisons between two groups were performed using independent t-tests, while variations across sagittal planes and reference axes were analyzed through one-way analysis of variance.</p><p><strong>Results: </strong>The mean values of PTS varied from 76.7° to 83.4° on different sagittal planes of CT images, and there was an increasing trend for PTS from the medial to lateral CT images. The mean values of PTS on the virtual radiograph were 81.6°, 82.3°, and 80.8° for the anterior cortex, anatomical, and posterior cortex axes, respectively. Significant differences in PTS measurements were found between CT images and virtual radiographs (p < 0.05). However, no differences were found while using different reference axes on PTS measurements (p < 0.05). Subgroup analysis showed females had a greater PTS than males, indicating a gender-based difference in the anatomy of the PTS.</p><p><strong>Conclusion: </strong>The PTS varied on CT images and radiographs, and the anterior cortex, anatomical, and posterior cortex axes do not significantly influence the PTS measurements. The observed gender-based differences highlight the need for individualized surgical planning and the development of sex-specific implants.</p>","PeriodicalId":19566,"journal":{"name":"Orthopaedic Surgery","volume":" ","pages":"2680-2688"},"PeriodicalIF":2.1000,"publicationDate":"2025-09-01","publicationTypes":"Journal Article","fieldsOfStudy":null,"isOpenAccess":false,"openAccessPdf":"https://www.ncbi.nlm.nih.gov/pmc/articles/PMC12404855/pdf/","citationCount":"0","resultStr":null,"platform":"Semanticscholar","paperid":null,"PeriodicalName":"Orthopaedic Surgery","FirstCategoryId":"3","ListUrlMain":"https://doi.org/10.1111/os.70111","RegionNum":2,"RegionCategory":"医学","ArticlePicture":[],"TitleCN":null,"AbstractTextCN":null,"PMCID":null,"EPubDate":"2025/7/24 0:00:00","PubModel":"Epub","JCR":"Q2","JCRName":"ORTHOPEDICS","Score":null,"Total":0}
引用次数: 0

Abstract

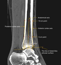
Objective: The posterior tibial slope (PTS) is essential in the assessment of ankle alignment. However, its standardized reference value has not been adequately investigated. This study aims to compare the PTS of the ankle joint on virtual radiographs and CT images and determine the effect of participants' demographic characteristics on the PTS.

Methods: A retrospective analysis was conducted in healthy populations who underwent CT scans of the ankle joint. A total of 106 participants (53 males and 53 females) were included in our study. The three-dimensional model of the ankle joint was reconstructed by CT images, and the standard coronal and sagittal planes were produced using the anatomical coordinate system. The PTS was measured on different CT sagittal planes and virtual radiographs. All measurements were performed using three reference axes, including the anterior cortex axis, the anatomical axis, and the posterior cortex axis of the tibial shaft. Subgroup and correlation analyses were performed to investigate the effect of participants' demographic characteristics (the age, height, gender, and BMI) on the PTS. Statistical comparisons between two groups were performed using independent t-tests, while variations across sagittal planes and reference axes were analyzed through one-way analysis of variance.

Results: The mean values of PTS varied from 76.7° to 83.4° on different sagittal planes of CT images, and there was an increasing trend for PTS from the medial to lateral CT images. The mean values of PTS on the virtual radiograph were 81.6°, 82.3°, and 80.8° for the anterior cortex, anatomical, and posterior cortex axes, respectively. Significant differences in PTS measurements were found between CT images and virtual radiographs (p < 0.05). However, no differences were found while using different reference axes on PTS measurements (p < 0.05). Subgroup analysis showed females had a greater PTS than males, indicating a gender-based difference in the anatomy of the PTS.

Conclusion: The PTS varied on CT images and radiographs, and the anterior cortex, anatomical, and posterior cortex axes do not significantly influence the PTS measurements. The observed gender-based differences highlight the need for individualized surgical planning and the development of sex-specific implants.

Abstract Image

Abstract Image

Abstract Image

CT图像和虚拟x线片测量踝关节胫骨后斜度。
目的:胫骨后斜度(PTS)是评估踝关节直线的重要指标。然而,其标准化参考值尚未得到充分调查。本研究旨在比较虚拟x线片和CT图像上的踝关节PTS,并确定参与者的人口统计学特征对PTS的影响。方法:对接受过踝关节CT扫描的健康人群进行回顾性分析。本研究共纳入106名受试者(男53名,女53名)。利用CT图像重建踝关节三维模型,利用解剖坐标系生成标准的冠状面和矢状面。在不同的CT矢状面和虚拟x线片上测量PTS。所有测量均采用三个参考轴进行,包括胫骨轴的前皮质轴、解剖轴和后皮质轴。进行亚组分析和相关分析,探讨参与者的人口统计学特征(年龄、身高、性别和BMI)对PTS的影响。两组间的统计学比较采用独立t检验,矢状面与参考轴间的差异采用单因素方差分析。结果:不同矢状面CT图像上PTS的平均值为76.7°~ 83.4°,从内侧向外侧呈增加趋势。虚拟x线片PTS在前皮质轴、解剖轴和后皮质轴上的平均值分别为81.6°、82.3°和80.8°。结论:CT图像和x线片上的PTS存在差异,前皮质轴、解剖轴和后皮质轴对PTS测量无显著影响。观察到的基于性别的差异强调了个性化手术计划和发展性别特异性植入物的必要性。
本文章由计算机程序翻译,如有差异,请以英文原文为准。
求助全文
约1分钟内获得全文 求助全文
来源期刊
Orthopaedic Surgery
Orthopaedic Surgery ORTHOPEDICS-
CiteScore
3.40
自引率
14.30%
发文量
374
审稿时长
20 weeks
期刊介绍: Orthopaedic Surgery (OS) is the official journal of the Chinese Orthopaedic Association, focusing on all aspects of orthopaedic technique and surgery. The journal publishes peer-reviewed articles in the following categories: Original Articles, Clinical Articles, Review Articles, Guidelines, Editorials, Commentaries, Surgical Techniques, Case Reports and Meeting Reports.
×
引用
GB/T 7714-2015
复制
MLA
复制
APA
复制
导出至
BibTeX EndNote RefMan NoteFirst NoteExpress
×
提示
您的信息不完整,为了账户安全,请先补充。
现在去补充
×
提示
您因"违规操作"
具体请查看互助需知
我知道了
×
提示
确定
请完成安全验证×
copy
已复制链接
快去分享给好友吧!
我知道了
右上角分享
点击右上角分享
0
联系我们:info@booksci.cn Book学术提供免费学术资源搜索服务,方便国内外学者检索中英文文献。致力于提供最便捷和优质的服务体验。 Copyright © 2023 布克学术 All rights reserved.
京ICP备2023020795号-1
ghs 京公网安备 11010802042870号
Book学术文献互助
Book学术文献互助群
群 号:604180095
Book学术官方微信