Anemia Due to Unexpected Zinc-Induced Copper Deficiency.

IF 1.2 Q4 HEMATOLOGY
Nicholas Chun, Shehla Aman, Dan Xu, Jun Wang, Craig Zuppan, Albert Kheradpour
{"title":"Anemia Due to Unexpected Zinc-Induced Copper Deficiency.","authors":"Nicholas Chun, Shehla Aman, Dan Xu, Jun Wang, Craig Zuppan, Albert Kheradpour","doi":"10.3390/hematolrep17040035","DOIUrl":null,"url":null,"abstract":"<p><p>Anemia due to acquired copper deficiency is most commonly the result of malabsorption or dietary deficiency. However, it can occasionally be due to excess zinc intake, which impairs the absorption of copper. Copper deficiency may result in vacuolated erythroid and myeloid precursors in the bone marrow, and sometimes features resembling myelodysplasia that, although not specific, may be an important clue to the diagnosis. Background and Clinical Significance: We report bone marrow findings in a child with anemia due to zinc-induced copper deficiency. Case Presentation: An 18-year-old female with cerebral palsy admitted for respiratory failure was found to have anemia and leukopenia with absolute neutropenia. A bone marrow smear showed occasional ring sideroblasts. Additional testing revealed reduced serum copper and elevated serum zinc. Further inquiry uncovered a several-year history of high-dose zinc supplementation. Conclusions: It is important to consider copper deficiency as a potential etiology in patients with anemia and neutropenia, as it may otherwise be mistaken for vitamin B12 deficiency or myelodysplasia. The presence of small vacuoles in hematopoietic precursors is an important clue to the diagnosis and may help avoid ineffective interventions.</p>","PeriodicalId":12829,"journal":{"name":"Hematology Reports","volume":"17 4","pages":""},"PeriodicalIF":1.2000,"publicationDate":"2025-07-17","publicationTypes":"Journal Article","fieldsOfStudy":null,"isOpenAccess":false,"openAccessPdf":"https://www.ncbi.nlm.nih.gov/pmc/articles/PMC12286130/pdf/","citationCount":"0","resultStr":null,"platform":"Semanticscholar","paperid":null,"PeriodicalName":"Hematology Reports","FirstCategoryId":"1085","ListUrlMain":"https://doi.org/10.3390/hematolrep17040035","RegionNum":0,"RegionCategory":null,"ArticlePicture":[],"TitleCN":null,"AbstractTextCN":null,"PMCID":null,"EPubDate":"","PubModel":"","JCR":"Q4","JCRName":"HEMATOLOGY","Score":null,"Total":0}
引用次数: 0

Abstract

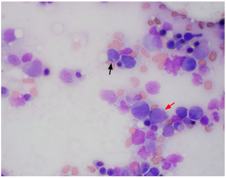
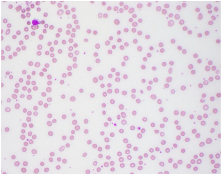
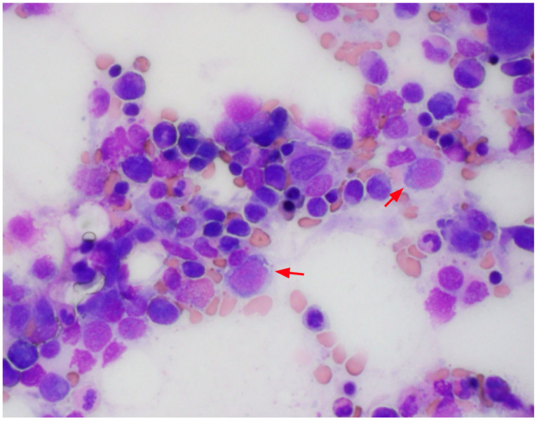
Anemia due to acquired copper deficiency is most commonly the result of malabsorption or dietary deficiency. However, it can occasionally be due to excess zinc intake, which impairs the absorption of copper. Copper deficiency may result in vacuolated erythroid and myeloid precursors in the bone marrow, and sometimes features resembling myelodysplasia that, although not specific, may be an important clue to the diagnosis. Background and Clinical Significance: We report bone marrow findings in a child with anemia due to zinc-induced copper deficiency. Case Presentation: An 18-year-old female with cerebral palsy admitted for respiratory failure was found to have anemia and leukopenia with absolute neutropenia. A bone marrow smear showed occasional ring sideroblasts. Additional testing revealed reduced serum copper and elevated serum zinc. Further inquiry uncovered a several-year history of high-dose zinc supplementation. Conclusions: It is important to consider copper deficiency as a potential etiology in patients with anemia and neutropenia, as it may otherwise be mistaken for vitamin B12 deficiency or myelodysplasia. The presence of small vacuoles in hematopoietic precursors is an important clue to the diagnosis and may help avoid ineffective interventions.

Abstract Image

Abstract Image

Abstract Image

意外缺锌引起的贫血。
获得性缺铜引起的贫血最常见的原因是吸收不良或饮食缺乏。然而,有时也可能是由于摄入过多的锌,从而影响了铜的吸收。铜缺乏可能导致骨髓中红细胞和髓细胞前体空泡化,有时还会出现类似骨髓发育异常的特征,尽管不是特异性的,但可能是诊断的重要线索。背景和临床意义:我们报告一例因锌引起的缺铜而贫血的儿童的骨髓检查结果。病例介绍:一名18岁女性脑瘫患者因呼吸衰竭入院,发现贫血、白细胞减少伴绝对中性粒细胞减少。骨髓涂片偶见环状铁母细胞。进一步的检测显示血清铜降低,血清锌升高。进一步的调查发现了高剂量锌补充剂的几年历史。结论:考虑铜缺乏作为贫血和中性粒细胞减少症患者的潜在病因是很重要的,否则它可能被误认为维生素B12缺乏或骨髓增生异常。造血前体中小液泡的存在是诊断的重要线索,可能有助于避免无效的干预。
本文章由计算机程序翻译,如有差异,请以英文原文为准。
求助全文
约1分钟内获得全文 求助全文
来源期刊
Hematology Reports
Hematology Reports HEMATOLOGY-
CiteScore
0.90
自引率
0.00%
发文量
47
审稿时长
10 weeks
×
引用
GB/T 7714-2015
复制
MLA
复制
APA
复制
导出至
BibTeX EndNote RefMan NoteFirst NoteExpress
×
提示
您的信息不完整,为了账户安全,请先补充。
现在去补充
×
提示
您因"违规操作"
具体请查看互助需知
我知道了
×
提示
确定
请完成安全验证×
copy
已复制链接
快去分享给好友吧!
我知道了
右上角分享
点击右上角分享
0
联系我们:info@booksci.cn Book学术提供免费学术资源搜索服务,方便国内外学者检索中英文文献。致力于提供最便捷和优质的服务体验。 Copyright © 2023 布克学术 All rights reserved.
京ICP备2023020795号-1
ghs 京公网安备 11010802042870号
Book学术文献互助
Book学术文献互助群
群 号:604180095
Book学术官方微信