Notch2−expressing CD4+ T cells attain immunoregulatory functions during autoimmune inflammation

IF 19.8 1区 医学 Q1 IMMUNOLOGY
So-Eun Bae, Sang-Heon Park, Chae Youn Kim, Cho-Rong Lee, Chanyeon Lee, Rosah May Payumo, So Yeon Kim, Kyu-Young Sim, Ho Jin Kim, Hyungseok Seo, Seong-Joon Koh, Seunghee Hong, Sung-Gyoo Park
{"title":"Notch2−expressing CD4+ T cells attain immunoregulatory functions during autoimmune inflammation","authors":"So-Eun Bae, Sang-Heon Park, Chae Youn Kim, Cho-Rong Lee, Chanyeon Lee, Rosah May Payumo, So Yeon Kim, Kyu-Young Sim, Ho Jin Kim, Hyungseok Seo, Seong-Joon Koh, Seunghee Hong, Sung-Gyoo Park","doi":"10.1038/s41423-025-01318-2","DOIUrl":null,"url":null,"abstract":"Autoantigen−specific CD4+ T cells are central to the development of autoimmune diseases, while the expansion of regulatory T (Treg) cells expressing Forkhead box protein 3 (Foxp3) is essential for mitigating these conditions. In this study, we identified CD4+Notch2+Foxp3lo T cells in the spinal cords of mice with experimental autoimmune encephalomyelitis (EAE), dextran sodium sulfate−induced colitis model mice, and patients with ulcerative colitis as immune regulatory cells. These cells exhibited a nonproliferative, dysfunctional phenotype and demonstrated immune regulatory functions, including suppressive activity against activated CD4+ T cells and marked Treg cell expansion activity. Our data revealed that Notch2 deletion in Foxp3−expressing cells diminishes the ability of this population to reverse the clinical symptoms of EAE. Collectively, these findings suggest that Notch2 expression in dysfunctional CD4+ T cells plays a crucial role in immune regulation.","PeriodicalId":9950,"journal":{"name":"Cellular &Molecular Immunology","volume":"22 9","pages":"1077-1092"},"PeriodicalIF":19.8000,"publicationDate":"2025-07-23","publicationTypes":"Journal Article","fieldsOfStudy":null,"isOpenAccess":false,"openAccessPdf":"https://www.ncbi.nlm.nih.gov/pmc/articles/PMC12398495/pdf/","citationCount":"0","resultStr":null,"platform":"Semanticscholar","paperid":null,"PeriodicalName":"Cellular &Molecular Immunology","FirstCategoryId":"3","ListUrlMain":"https://www.nature.com/articles/s41423-025-01318-2","RegionNum":1,"RegionCategory":"医学","ArticlePicture":[],"TitleCN":null,"AbstractTextCN":null,"PMCID":null,"EPubDate":"","PubModel":"","JCR":"Q1","JCRName":"IMMUNOLOGY","Score":null,"Total":0}
引用次数: 0

Abstract

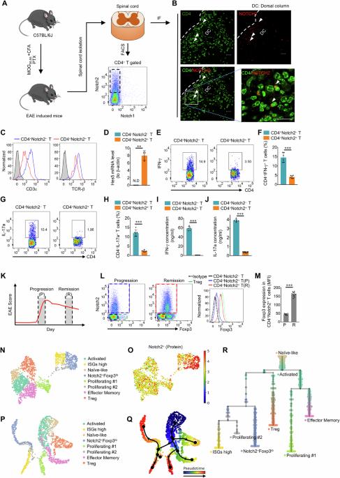
Autoantigen−specific CD4+ T cells are central to the development of autoimmune diseases, while the expansion of regulatory T (Treg) cells expressing Forkhead box protein 3 (Foxp3) is essential for mitigating these conditions. In this study, we identified CD4+Notch2+Foxp3lo T cells in the spinal cords of mice with experimental autoimmune encephalomyelitis (EAE), dextran sodium sulfate−induced colitis model mice, and patients with ulcerative colitis as immune regulatory cells. These cells exhibited a nonproliferative, dysfunctional phenotype and demonstrated immune regulatory functions, including suppressive activity against activated CD4+ T cells and marked Treg cell expansion activity. Our data revealed that Notch2 deletion in Foxp3−expressing cells diminishes the ability of this population to reverse the clinical symptoms of EAE. Collectively, these findings suggest that Notch2 expression in dysfunctional CD4+ T cells plays a crucial role in immune regulation.

Abstract Image

表达notch2的CD4+ T细胞在自身免疫性炎症中获得免疫调节功能。
自身抗原特异性CD4+ T细胞是自身免疫性疾病发展的核心,而表达叉头盒蛋白3 (Foxp3)的调节性T细胞(Treg)的扩增对于缓解这些疾病至关重要。在本研究中,我们在实验性自身免疫性脑脊髓炎(EAE)小鼠、葡聚糖硫酸钠诱导的结肠炎模型小鼠和溃疡性结肠炎患者的脊髓中鉴定出CD4+Notch2+Foxp3lo T细胞作为免疫调节细胞。这些细胞表现出非增殖性、功能失调的表型,并表现出免疫调节功能,包括对活化CD4+ T细胞的抑制活性和显著的Treg细胞扩增活性。我们的数据显示,foxp3表达细胞中的Notch2缺失降低了该群体逆转EAE临床症状的能力。总之,这些发现表明Notch2在功能失调的CD4+ T细胞中的表达在免疫调节中起着至关重要的作用。
本文章由计算机程序翻译,如有差异,请以英文原文为准。
求助全文
约1分钟内获得全文 求助全文
来源期刊
CiteScore
31.20
自引率
1.20%
发文量
903
审稿时长
1 months
期刊介绍: Cellular & Molecular Immunology, a monthly journal from the Chinese Society of Immunology and the University of Science and Technology of China, serves as a comprehensive platform covering both basic immunology research and clinical applications. The journal publishes a variety of article types, including Articles, Review Articles, Mini Reviews, and Short Communications, focusing on diverse aspects of cellular and molecular immunology.
×
引用
GB/T 7714-2015
复制
MLA
复制
APA
复制
导出至
BibTeX EndNote RefMan NoteFirst NoteExpress
×
提示
您的信息不完整,为了账户安全,请先补充。
现在去补充
×
提示
您因"违规操作"
具体请查看互助需知
我知道了
×
提示
确定
请完成安全验证×
copy
已复制链接
快去分享给好友吧!
我知道了
右上角分享
点击右上角分享
0
联系我们:info@booksci.cn Book学术提供免费学术资源搜索服务,方便国内外学者检索中英文文献。致力于提供最便捷和优质的服务体验。 Copyright © 2023 布克学术 All rights reserved.
京ICP备2023020795号-1
ghs 京公网安备 11010802042870号
Book学术文献互助
Book学术文献互助群
群 号:604180095
Book学术官方微信