Diffuse Hemispheric Glioma, H3 G34-Mutant With Prominent Perivascular Invasion in a Middle-Aged Man: A Case Report and Literature Review of Middle-Aged and Elderly Cases.

IF 1.2 4区 医学 Q4 CLINICAL NEUROLOGY
Neuropathology Pub Date : 2025-08-01 DOI:10.1111/neup.70022
Sayaka Yuzawa, Yonehiro Kanemura, Manami Hayashi, Yuki Kamikokura, Manabu Kinoshita, Mishie Tanino
{"title":"Diffuse Hemispheric Glioma, H3 G34-Mutant With Prominent Perivascular Invasion in a Middle-Aged Man: A Case Report and Literature Review of Middle-Aged and Elderly Cases.","authors":"Sayaka Yuzawa, Yonehiro Kanemura, Manami Hayashi, Yuki Kamikokura, Manabu Kinoshita, Mishie Tanino","doi":"10.1111/neup.70022","DOIUrl":null,"url":null,"abstract":"<p><p>Diffuse hemispheric glioma, H3 G34-mutant (DHG), is a newly defined pediatric-type tumor in the 2021 WHO classification of central nervous system (CNS) tumors. DHGs harbor missense mutations at codon 35 of H3F3A (H3.3 G35R/V mutations) and exhibit diverse histopathological features, such as glioblastomas or CNS embryonal tumors. Regardless of histological variation, they demonstrate uniform immunohistochemical and molecular findings: Olig2 negative, ATRX loss, p53 positive, and MGMT promoter methylated. These tumors occur predominantly in the cerebral hemispheres of adolescents and young adults, while they are extremely rare in middle-aged and elderly individuals. Here, we report a middle-aged case of DHG with prominent perivascular invasion. The tumor initially demonstrated a focal glioblastoma-like area, whereas the recurrent tumor predominantly showed perivascular spread of spindle cells. We reviewed previously reported DHG cases in middle-aged and elderly patients and compared their clinicopathological features with those of adolescents and young adults.</p>","PeriodicalId":19204,"journal":{"name":"Neuropathology","volume":"45 4","pages":"e70022"},"PeriodicalIF":1.2000,"publicationDate":"2025-08-01","publicationTypes":"Journal Article","fieldsOfStudy":null,"isOpenAccess":false,"openAccessPdf":"https://www.ncbi.nlm.nih.gov/pmc/articles/PMC12283485/pdf/","citationCount":"0","resultStr":null,"platform":"Semanticscholar","paperid":null,"PeriodicalName":"Neuropathology","FirstCategoryId":"3","ListUrlMain":"https://doi.org/10.1111/neup.70022","RegionNum":4,"RegionCategory":"医学","ArticlePicture":[],"TitleCN":null,"AbstractTextCN":null,"PMCID":null,"EPubDate":"","PubModel":"","JCR":"Q4","JCRName":"CLINICAL NEUROLOGY","Score":null,"Total":0}
引用次数: 0

Abstract

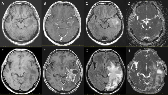
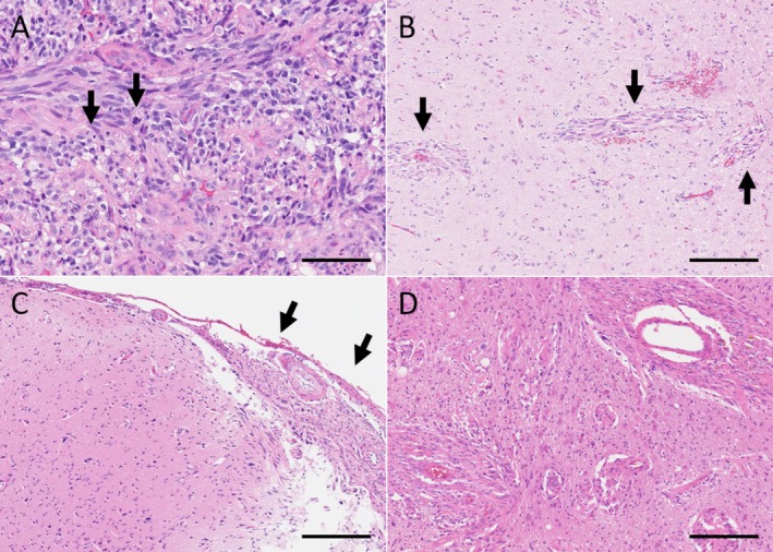
Diffuse hemispheric glioma, H3 G34-mutant (DHG), is a newly defined pediatric-type tumor in the 2021 WHO classification of central nervous system (CNS) tumors. DHGs harbor missense mutations at codon 35 of H3F3A (H3.3 G35R/V mutations) and exhibit diverse histopathological features, such as glioblastomas or CNS embryonal tumors. Regardless of histological variation, they demonstrate uniform immunohistochemical and molecular findings: Olig2 negative, ATRX loss, p53 positive, and MGMT promoter methylated. These tumors occur predominantly in the cerebral hemispheres of adolescents and young adults, while they are extremely rare in middle-aged and elderly individuals. Here, we report a middle-aged case of DHG with prominent perivascular invasion. The tumor initially demonstrated a focal glioblastoma-like area, whereas the recurrent tumor predominantly showed perivascular spread of spindle cells. We reviewed previously reported DHG cases in middle-aged and elderly patients and compared their clinicopathological features with those of adolescents and young adults.

Abstract Image

Abstract Image

Abstract Image

中年男性弥漫性半球胶质瘤,H3 g34突变体伴明显血管周围浸润:1例报告及中老年病例文献复习
弥漫性半球胶质瘤,H3 g34突变体(DHG),是2021年WHO中枢神经系统(CNS)肿瘤分类中新定义的儿科型肿瘤。dhg在H3F3A密码子35处存在错义突变(H3.3 G35R/V突变),并表现出多种组织病理特征,如胶质母细胞瘤或中枢神经系统胚胎性肿瘤。无论组织学差异如何,他们都表现出一致的免疫组织化学和分子发现:Olig2阴性,ATRX缺失,p53阳性,MGMT启动子甲基化。这些肿瘤主要发生在青少年和年轻人的大脑半球,而在中年和老年人中极为罕见。在此,我们报告一例伴有明显血管周围侵犯的中年DHG病例。肿瘤最初表现为局灶性胶质母细胞瘤样区域,而复发肿瘤主要表现为梭形细胞在血管周围扩散。我们回顾了先前报道的中老年DHG病例,并将其与青少年和年轻人的临床病理特征进行了比较。
本文章由计算机程序翻译,如有差异,请以英文原文为准。
求助全文
约1分钟内获得全文 求助全文
来源期刊
Neuropathology
Neuropathology 医学-病理学
CiteScore
4.10
自引率
4.30%
发文量
105
审稿时长
6-12 weeks
期刊介绍: Neuropathology is an international journal sponsored by the Japanese Society of Neuropathology and publishes peer-reviewed original papers dealing with all aspects of human and experimental neuropathology and related fields of research. The Journal aims to promote the international exchange of results and encourages authors from all countries to submit papers in the following categories: Original Articles, Case Reports, Short Communications, Occasional Reviews, Editorials and Letters to the Editor. All articles are peer-reviewed by at least two researchers expert in the field of the submitted paper.
×
引用
GB/T 7714-2015
复制
MLA
复制
APA
复制
导出至
BibTeX EndNote RefMan NoteFirst NoteExpress
×
提示
您的信息不完整,为了账户安全,请先补充。
现在去补充
×
提示
您因"违规操作"
具体请查看互助需知
我知道了
×
提示
确定
请完成安全验证×
copy
已复制链接
快去分享给好友吧!
我知道了
右上角分享
点击右上角分享
0
联系我们:info@booksci.cn Book学术提供免费学术资源搜索服务,方便国内外学者检索中英文文献。致力于提供最便捷和优质的服务体验。 Copyright © 2023 布克学术 All rights reserved.
京ICP备2023020795号-1
ghs 京公网安备 11010802042870号
Book学术文献互助
Book学术文献互助群
群 号:604180095
Book学术官方微信