Fahr's Syndrome With Neurocognitive Dysfunction Due to Hypoparathyroidism: A Case Report.

IF 0.9 Q4 ENDOCRINOLOGY & METABOLISM
Case Reports in Endocrinology Pub Date : 2025-07-15 eCollection Date: 2025-01-01 DOI:10.1155/crie/6355371
Faezeh Sehatpour, Shahrzad Mohseni, Mahnaz Pejman Sani
{"title":"Fahr's Syndrome With Neurocognitive Dysfunction Due to Hypoparathyroidism: A Case Report.","authors":"Faezeh Sehatpour, Shahrzad Mohseni, Mahnaz Pejman Sani","doi":"10.1155/crie/6355371","DOIUrl":null,"url":null,"abstract":"<p><p><b>Background:</b> Fahr's syndrome is a rare neurodegenerative condition characterized by bilateral progressive calcification of the basal ganglia and other brain structures. Due to overlapping symptoms, it can be misdiagnosed as other neurological disorders. <b>Case presentation:</b> A 68-year-old man was presented to the emergency department with an exacerbating decline in the level of consciousness and dysarthria over a 20-day period. On admission, the laboratory examinations revealed a low level of calcium and parathyroid hormone. Brain imaging findings showed bilateral calcifications in the basal ganglia, pulvinar region of the thalami, and dentate nuclei. In addition, a prolonged QTc interval on his electrocardiogram (ECG) indicated hypocalcemia. After receiving calcium gluconate 10%, the calcium level and QTc interval stabilized, and the patient's level of consciousness gradually improved. <b>Conclusion:</b> Fahr's syndrome due to hypoparathyroidism should be suspected in any patient with neurological symptoms and hypocalcemia. Hence, early identification and management of hypoparathyroidism can prevent progression of calcification and improve patients' quality of life and prognosis.</p>","PeriodicalId":9621,"journal":{"name":"Case Reports in Endocrinology","volume":"2025 ","pages":"6355371"},"PeriodicalIF":0.9000,"publicationDate":"2025-07-15","publicationTypes":"Journal Article","fieldsOfStudy":null,"isOpenAccess":false,"openAccessPdf":"https://www.ncbi.nlm.nih.gov/pmc/articles/PMC12283200/pdf/","citationCount":"0","resultStr":null,"platform":"Semanticscholar","paperid":null,"PeriodicalName":"Case Reports in Endocrinology","FirstCategoryId":"1085","ListUrlMain":"https://doi.org/10.1155/crie/6355371","RegionNum":0,"RegionCategory":null,"ArticlePicture":[],"TitleCN":null,"AbstractTextCN":null,"PMCID":null,"EPubDate":"2025/1/1 0:00:00","PubModel":"eCollection","JCR":"Q4","JCRName":"ENDOCRINOLOGY & METABOLISM","Score":null,"Total":0}
引用次数: 0

Abstract

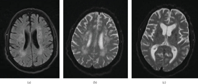
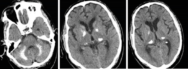
Background: Fahr's syndrome is a rare neurodegenerative condition characterized by bilateral progressive calcification of the basal ganglia and other brain structures. Due to overlapping symptoms, it can be misdiagnosed as other neurological disorders. Case presentation: A 68-year-old man was presented to the emergency department with an exacerbating decline in the level of consciousness and dysarthria over a 20-day period. On admission, the laboratory examinations revealed a low level of calcium and parathyroid hormone. Brain imaging findings showed bilateral calcifications in the basal ganglia, pulvinar region of the thalami, and dentate nuclei. In addition, a prolonged QTc interval on his electrocardiogram (ECG) indicated hypocalcemia. After receiving calcium gluconate 10%, the calcium level and QTc interval stabilized, and the patient's level of consciousness gradually improved. Conclusion: Fahr's syndrome due to hypoparathyroidism should be suspected in any patient with neurological symptoms and hypocalcemia. Hence, early identification and management of hypoparathyroidism can prevent progression of calcification and improve patients' quality of life and prognosis.

Abstract Image

Abstract Image

Abstract Image

Fahr综合征伴甲状旁腺功能减退所致神经认知功能障碍1例。
背景:Fahr综合征是一种罕见的神经退行性疾病,以双侧基底节区和其他脑结构进行性钙化为特征。由于症状重叠,容易误诊为其他神经系统疾病。病例介绍:一名68岁的男性在20天的时间里,意识水平和构音障碍加剧下降,被送到急诊科。入院时,实验室检查显示钙和甲状旁腺激素水平低。脑成像结果显示双侧基底节区、丘脑枕核区和齿状核钙化。此外,心电图上QTc间隔延长提示低钙血症。葡萄糖酸钙治疗10%后,钙水平及QTc间期稳定,患者意识水平逐渐改善。结论:任何伴有神经系统症状和低钙血症的患者都应怀疑Fahr综合征。因此,甲状旁腺功能减退症的早期识别和治疗可以预防钙化的进展,改善患者的生活质量和预后。
本文章由计算机程序翻译,如有差异,请以英文原文为准。
求助全文
约1分钟内获得全文 求助全文
来源期刊
Case Reports in Endocrinology
Case Reports in Endocrinology ENDOCRINOLOGY & METABOLISM-
CiteScore
2.10
自引率
0.00%
发文量
45
审稿时长
13 weeks
×
引用
GB/T 7714-2015
复制
MLA
复制
APA
复制
导出至
BibTeX EndNote RefMan NoteFirst NoteExpress
×
提示
您的信息不完整,为了账户安全,请先补充。
现在去补充
×
提示
您因"违规操作"
具体请查看互助需知
我知道了
×
提示
确定
请完成安全验证×
copy
已复制链接
快去分享给好友吧!
我知道了
右上角分享
点击右上角分享
0
联系我们:info@booksci.cn Book学术提供免费学术资源搜索服务,方便国内外学者检索中英文文献。致力于提供最便捷和优质的服务体验。 Copyright © 2023 布克学术 All rights reserved.
京ICP备2023020795号-1
ghs 京公网安备 11010802042870号
Book学术文献互助
Book学术文献互助群
群 号:604180095
Book学术官方微信