Dietary supplementation with glutamate improves the flesh quality of gibel carp (Carassius gibelio) by altering muscle texture characteristics and increasing the deposition of flavour substances.

IF 2 Q3 NUTRITION & DIETETICS
Journal of Nutritional Science Pub Date : 2025-07-14 eCollection Date: 2025-01-01 DOI:10.1017/jns.2025.10009
Wanjie Cai, Xing Wang, Haokun Liu, Luohai Hua, Dong Han, Xiaoming Zhu, Junyan Jin, Zhimin Zhang, Yunxia Yang, Shouqi Xie
{"title":"Dietary supplementation with glutamate improves the flesh quality of gibel carp (<i>Carassius gibelio</i>) by altering muscle texture characteristics and increasing the deposition of flavour substances.","authors":"Wanjie Cai, Xing Wang, Haokun Liu, Luohai Hua, Dong Han, Xiaoming Zhu, Junyan Jin, Zhimin Zhang, Yunxia Yang, Shouqi Xie","doi":"10.1017/jns.2025.10009","DOIUrl":null,"url":null,"abstract":"<p><p>Nutrition intervention is an effective way to improve flesh qualities of fish. The effect of feed supplementation with glutamate (Glu) on flesh quality of gibel carp (<i>Carassius gibelio</i>) was investigated. In trial 1, the fish (initial weight: 37.49 ± 0.08 g) were fed two practical diets with 0 and 2% Glu supplementation. In trial 2, the fish (37.26 ± 0.04 g) were fed two purified diets with 0 and 3% Glu supplementation. The results after feeding trials showed that dietary Glu supplementation increased the hardness and springiness of muscle, whether using practical or purified diets. Glu-supplemented diets increased the thickness and density of myofibres and collagen content between myofibres. Furthermore, Glu promoted muscle protein deposition by regulating the IGF-1-AKT-mTOR signalling pathway, and enhanced the myofibre hypertrophy by upregulating genes related to myofibre growth and development (<i>mef2a</i>, <i>mef2d</i>, <i>myod</i>, <i>myf5</i>, <i>mlc</i>, <i>tpi</i> and <i>pax7α</i>). The protein deposition and myofibre hypertrophy in turn improved the flesh texture. In addition, IMP content in flesh increased when supplementing Glu whether to practical or to purified diet. Metabolomics confirmed that Glu promoted the deposition of muscle-flavoured substances and purine metabolic pathway most functioned, echoed by the upregulation of key genes (<i>ampd</i>, <i>ppat</i> and <i>adsl</i>) in purine metabolism. The sensory test also clarified that dietary Glu improved the flesh quality by enhancing the muscle texture and flavour. Conclusively, dietary Glu supplementation can improve the flesh quality in this fish, which can further support evidence from other studies more generally that improve flesh quality of cultured fish.</p>","PeriodicalId":47536,"journal":{"name":"Journal of Nutritional Science","volume":"14 ","pages":"e47"},"PeriodicalIF":2.0000,"publicationDate":"2025-07-14","publicationTypes":"Journal Article","fieldsOfStudy":null,"isOpenAccess":false,"openAccessPdf":"https://www.ncbi.nlm.nih.gov/pmc/articles/PMC12278179/pdf/","citationCount":"0","resultStr":null,"platform":"Semanticscholar","paperid":null,"PeriodicalName":"Journal of Nutritional Science","FirstCategoryId":"1085","ListUrlMain":"https://doi.org/10.1017/jns.2025.10009","RegionNum":0,"RegionCategory":null,"ArticlePicture":[],"TitleCN":null,"AbstractTextCN":null,"PMCID":null,"EPubDate":"2025/1/1 0:00:00","PubModel":"eCollection","JCR":"Q3","JCRName":"NUTRITION & DIETETICS","Score":null,"Total":0}
引用次数: 0

Abstract

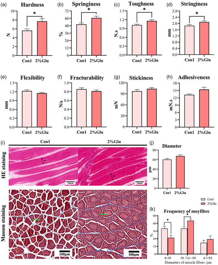
Nutrition intervention is an effective way to improve flesh qualities of fish. The effect of feed supplementation with glutamate (Glu) on flesh quality of gibel carp (Carassius gibelio) was investigated. In trial 1, the fish (initial weight: 37.49 ± 0.08 g) were fed two practical diets with 0 and 2% Glu supplementation. In trial 2, the fish (37.26 ± 0.04 g) were fed two purified diets with 0 and 3% Glu supplementation. The results after feeding trials showed that dietary Glu supplementation increased the hardness and springiness of muscle, whether using practical or purified diets. Glu-supplemented diets increased the thickness and density of myofibres and collagen content between myofibres. Furthermore, Glu promoted muscle protein deposition by regulating the IGF-1-AKT-mTOR signalling pathway, and enhanced the myofibre hypertrophy by upregulating genes related to myofibre growth and development (mef2a, mef2d, myod, myf5, mlc, tpi and pax7α). The protein deposition and myofibre hypertrophy in turn improved the flesh texture. In addition, IMP content in flesh increased when supplementing Glu whether to practical or to purified diet. Metabolomics confirmed that Glu promoted the deposition of muscle-flavoured substances and purine metabolic pathway most functioned, echoed by the upregulation of key genes (ampd, ppat and adsl) in purine metabolism. The sensory test also clarified that dietary Glu improved the flesh quality by enhancing the muscle texture and flavour. Conclusively, dietary Glu supplementation can improve the flesh quality in this fish, which can further support evidence from other studies more generally that improve flesh quality of cultured fish.

Abstract Image

Abstract Image

Abstract Image

饲料中添加谷氨酸可以改变异育银鲫肌肉的质地特征,增加风味物质的沉积,从而改善异育银鲫的肉质。
营养干预是改善鱼类肉质的有效途径。研究了饲料中添加谷氨酸(Glu)对异育银鲫肉品质的影响。试验1:初始体重为37.49±0.08 g,分别饲喂添加0%和2%谷氨酸的实用饲料。试验2分别饲喂添加0%和3%谷氨酸的纯化饲料(37.26±0.04 g)。饲养试验结果表明,无论是实用饲粮还是纯化饲粮,饲粮中添加谷氨酸均能提高肌肉的硬度和弹性。饲粮中添加葡萄糖增加了肌纤维的厚度和密度以及肌纤维间胶原蛋白的含量。此外,Glu通过调节IGF-1-AKT-mTOR信号通路促进肌肉蛋白沉积,并通过上调肌纤维生长发育相关基因(mef2a、mef2d、myod、myf5、mlc、tpi和pax7α)增强肌纤维肥大。蛋白质沉积和肌纤维肥厚反过来改善了肉质。此外,无论是在实用日粮中还是在纯化日粮中添加谷氨酸,肉质中IMP的含量都有所增加。代谢组学证实,Glu促进了肌肉风味物质的沉积,嘌呤代谢途径发挥了最重要的作用,与嘌呤代谢关键基因(ampd、ppat和adsl)的上调相一致。感官试验还表明,饲粮中添加谷氨酸可以通过增强肌肉的质地和风味来改善肉质。综上所述,饲粮中添加谷氨酸可以改善该鱼的肉品质,这进一步支持了其他研究中关于提高养殖鱼肉品质的证据。
本文章由计算机程序翻译,如有差异,请以英文原文为准。
求助全文
约1分钟内获得全文 求助全文
来源期刊
Journal of Nutritional Science
Journal of Nutritional Science NUTRITION & DIETETICS-
CiteScore
3.00
自引率
0.00%
发文量
91
审稿时长
7 weeks
期刊介绍: Journal of Nutritional Science is an international, peer-reviewed, online only, open access journal that welcomes high-quality research articles in all aspects of nutrition. The underlying aim of all work should be, as far as possible, to develop nutritional concepts. JNS encompasses the full spectrum of nutritional science including public health nutrition, epidemiology, dietary surveys, nutritional requirements, metabolic studies, body composition, energetics, appetite, obesity, ageing, endocrinology, immunology, neuroscience, microbiology, genetics, molecular and cellular biology and nutrigenomics. JNS welcomes Primary Research Papers, Brief Reports, Review Articles, Systematic Reviews, Workshop Reports, Letters to the Editor and Obituaries.
×
引用
GB/T 7714-2015
复制
MLA
复制
APA
复制
导出至
BibTeX EndNote RefMan NoteFirst NoteExpress
×
提示
您的信息不完整,为了账户安全,请先补充。
现在去补充
×
提示
您因"违规操作"
具体请查看互助需知
我知道了
×
提示
确定
请完成安全验证×
copy
已复制链接
快去分享给好友吧!
我知道了
右上角分享
点击右上角分享
0
联系我们:info@booksci.cn Book学术提供免费学术资源搜索服务,方便国内外学者检索中英文文献。致力于提供最便捷和优质的服务体验。 Copyright © 2023 布克学术 All rights reserved.
京ICP备2023020795号-1
ghs 京公网安备 11010802042870号
Book学术文献互助
Book学术文献互助群
群 号:604180095
Book学术官方微信