Diagnostic challenges of rarely well-differentiated adenocarcinoma of the stomach.

IF 2.3 4区 医学 Q3 ONCOLOGY
Pathology & Oncology Research Pub Date : 2025-07-07 eCollection Date: 2025-01-01 DOI:10.3389/pore.2025.1612163
Tian Qin, Yong Wang, Zebin Xiao, Lili Ma, Chao Fan, Chongyu Zhu, Luqiao Luo, Qingling Zhang, Chao Liu
{"title":"Diagnostic challenges of rarely well-differentiated adenocarcinoma of the stomach.","authors":"Tian Qin, Yong Wang, Zebin Xiao, Lili Ma, Chao Fan, Chongyu Zhu, Luqiao Luo, Qingling Zhang, Chao Liu","doi":"10.3389/pore.2025.1612163","DOIUrl":null,"url":null,"abstract":"<p><strong>Background: </strong>Fundic gland tumors are a rare subtype of gastric tumors with fundic gland differentiation. This group of tumors has a low incidence rate and shows indistinctive cellular atypia, obvious structural atypia, special tissue morphology, and clinical prognosis, thus leading to diagnostic challenges.</p><p><strong>Aim: </strong>We aimed to investigate the clinical and endoscopic characteristics and pathological features of gastric adenocarcinoma of the fundic gland (GA-FG) to provide a better understanding of this disease.</p><p><strong>Methods: </strong>We collected data from patients diagnosed as having GA-FG at Guangdong Provincial People's Hospital between January 2019 and April 2024. The analysis focused on their clinical data, endoscopic characteristics, pathological morphological characteristics, immunohistochemistry results, treatment, and prognosis.</p><p><strong>Results: </strong>Among the four patients were two men and two women (age range, 52-65 years). The tumors were mainly located in the gastric fundus and gastric body, and the lesions commonly had a superficial bulge. Three patients had an initial diagnosis of oxyntic gland adenoma, which was diagnosed as GA-FG after complete resection. These tumors were negative for MUC5AC, but showed diffuse strong positivity for MUC6 and pepsinogen I, and synaptophysin expression.</p><p><strong>Conclusion: </strong>GA-FG is a rare gastric tumor with unique morphological features. As it is difficult to diagnose with a biopsy, immunohistochemistry plays an important role in the differential diagnosis. Oxyntic gland adenoma can be regarded as the intramucosal stage of GA-FG. Although all patients were negative for MUC5AC expression, MUC6 and pepsinogen I can help the diagnosis of GA-FG.</p>","PeriodicalId":19981,"journal":{"name":"Pathology & Oncology Research","volume":"31 ","pages":"1612163"},"PeriodicalIF":2.3000,"publicationDate":"2025-07-07","publicationTypes":"Journal Article","fieldsOfStudy":null,"isOpenAccess":false,"openAccessPdf":"https://www.ncbi.nlm.nih.gov/pmc/articles/PMC12277191/pdf/","citationCount":"0","resultStr":null,"platform":"Semanticscholar","paperid":null,"PeriodicalName":"Pathology & Oncology Research","FirstCategoryId":"3","ListUrlMain":"https://doi.org/10.3389/pore.2025.1612163","RegionNum":4,"RegionCategory":"医学","ArticlePicture":[],"TitleCN":null,"AbstractTextCN":null,"PMCID":null,"EPubDate":"2025/1/1 0:00:00","PubModel":"eCollection","JCR":"Q3","JCRName":"ONCOLOGY","Score":null,"Total":0}
引用次数: 0

Abstract

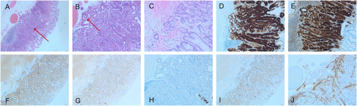
Background: Fundic gland tumors are a rare subtype of gastric tumors with fundic gland differentiation. This group of tumors has a low incidence rate and shows indistinctive cellular atypia, obvious structural atypia, special tissue morphology, and clinical prognosis, thus leading to diagnostic challenges.

Aim: We aimed to investigate the clinical and endoscopic characteristics and pathological features of gastric adenocarcinoma of the fundic gland (GA-FG) to provide a better understanding of this disease.

Methods: We collected data from patients diagnosed as having GA-FG at Guangdong Provincial People's Hospital between January 2019 and April 2024. The analysis focused on their clinical data, endoscopic characteristics, pathological morphological characteristics, immunohistochemistry results, treatment, and prognosis.

Results: Among the four patients were two men and two women (age range, 52-65 years). The tumors were mainly located in the gastric fundus and gastric body, and the lesions commonly had a superficial bulge. Three patients had an initial diagnosis of oxyntic gland adenoma, which was diagnosed as GA-FG after complete resection. These tumors were negative for MUC5AC, but showed diffuse strong positivity for MUC6 and pepsinogen I, and synaptophysin expression.

Conclusion: GA-FG is a rare gastric tumor with unique morphological features. As it is difficult to diagnose with a biopsy, immunohistochemistry plays an important role in the differential diagnosis. Oxyntic gland adenoma can be regarded as the intramucosal stage of GA-FG. Although all patients were negative for MUC5AC expression, MUC6 and pepsinogen I can help the diagnosis of GA-FG.

Abstract Image

Abstract Image

罕见高分化胃腺癌的诊断挑战。
背景:胃底腺肿瘤是胃底腺分化的一种罕见亚型肿瘤。本组肿瘤发病率低,细胞异型性不明显,结构异型性明显,组织形态特殊,临床预后差,诊断难度大。目的:探讨胃底腺腺癌(GA-FG)的临床、内镜及病理特点,为进一步认识本病提供依据。方法:收集2019年1月至2024年4月在广东省人民医院诊断为GA-FG的患者的数据。分析其临床资料、内镜特征、病理形态学特征、免疫组化结果、治疗和预后。结果:4例患者中男2例,女2例,年龄52 ~ 65岁。肿瘤主要位于胃底和胃体,病变多呈浅表隆起。3例患者初诊断为氧合腺腺瘤,完全切除后诊断为GA-FG。这些肿瘤MUC5AC呈阴性,但MUC6、胃蛋白酶原I和突触素表达呈弥漫性强阳性。结论:GA-FG是一种罕见的胃部肿瘤,具有独特的形态特征。由于活检很难诊断,免疫组织化学在鉴别诊断中起着重要作用。氧合腺腺瘤可视为GA-FG的粘膜内期。虽然所有患者MUC5AC均为阴性,但MUC6和胃蛋白酶原I有助于GA-FG的诊断。
本文章由计算机程序翻译,如有差异,请以英文原文为准。
求助全文
约1分钟内获得全文 求助全文
来源期刊
CiteScore
6.30
自引率
0.00%
发文量
134
审稿时长
4-8 weeks
期刊介绍: Pathology & Oncology Research (POR) is an interdisciplinary Journal at the interface of pathology and oncology including the preclinical and translational research, diagnostics and therapy. Furthermore, POR is an international forum for the rapid communication of reviews, original research, critical and topical reports with excellence and novelty. Published quarterly, POR is dedicated to keeping scientists informed of developments on the selected biomedical fields bridging the gap between basic research and clinical medicine. It is a special aim for POR to promote pathological and oncological publishing activity of colleagues in the Central and East European region. The journal will be of interest to pathologists, and a broad range of experimental and clinical oncologists, and related experts. POR is supported by an acknowledged international advisory board and the Arányi Fundation for modern pathology.
×
引用
GB/T 7714-2015
复制
MLA
复制
APA
复制
导出至
BibTeX EndNote RefMan NoteFirst NoteExpress
×
提示
您的信息不完整,为了账户安全,请先补充。
现在去补充
×
提示
您因"违规操作"
具体请查看互助需知
我知道了
×
提示
确定
请完成安全验证×
copy
已复制链接
快去分享给好友吧!
我知道了
右上角分享
点击右上角分享
0
联系我们:info@booksci.cn Book学术提供免费学术资源搜索服务,方便国内外学者检索中英文文献。致力于提供最便捷和优质的服务体验。 Copyright © 2023 布克学术 All rights reserved.
京ICP备2023020795号-1
ghs 京公网安备 11010802042870号
Book学术文献互助
Book学术文献互助群
群 号:604180095
Book学术官方微信