Morphometric characteristics of tibial nerve and their relationship with age.

IF 4.5 Q1 CLINICAL NEUROLOGY
Brain communications Pub Date : 2025-07-07 eCollection Date: 2025-01-01 DOI:10.1093/braincomms/fcaf267
Shahram Oveisgharan, Armand Collin, Jingyun Yang, Sue E Leurgans, Veronique VanderHorst, David A Bennett, Julien Cohen-Adad, Osvaldo Delbono, Aron S Buchman
{"title":"Morphometric characteristics of tibial nerve and their relationship with age.","authors":"Shahram Oveisgharan, Armand Collin, Jingyun Yang, Sue E Leurgans, Veronique VanderHorst, David A Bennett, Julien Cohen-Adad, Osvaldo Delbono, Aron S Buchman","doi":"10.1093/braincomms/fcaf267","DOIUrl":null,"url":null,"abstract":"<p><p>Peripheral nerve comprises a crucial component of the distributed motor/sensory system. However, there is a paucity of data on peripheral nerve morphology derived from large numbers of older adults. This study aimed to quantify the morphometric characteristics of myelinated nerve fibres of the tibial nerve obtained from deceased community-dwelling older adults and examine their association with age. The tibial nerves were obtained from consecutive autopsies of older adults without a history of diabetes who were participants of the Rush Memory and Aging Project, an ongoing longitudinal clinical-autopsy study. A nerve fascicle, obtained from a fixed popliteal segment of the tibial nerve, was separated from the blood vessels and adipose tissue for postmortem examination under an optical microscope. Morphometric characteristics of the myelinated nerve fibres were automatically segmented and quantified using our open-source software <i>AxonDeepSeg</i>. The participants (<i>N</i> = 140) had a mean age of 92.0 years (SD = 5.4) at death, and 72.1% (<i>N</i> = 101) were women. We examined 754 247 myelinated nerve fibres, with an average 5387 (SD = 3436) nerve fibres per participant. The average diameter of myelinated nerve fibres was 4.9 µm (SD = 3.1), axon diameter was 2.0 µm (SD = 1.4), myelin thickness was 1.4 µm (SD = 0.96) and the <i>g</i>-ratio (ratio of axon diameter to myelinated nerve fibre diameter) was 0.45 (SD = 0.17). The relationship between axon diameter and myelin thickness was nonlinear. Myelin was thicker in larger axons up to a diameter of 8 µm, beyond which myelin thickness plateaued. Older age at death was associated with smaller myelinated nerve fibres, smaller axons and thinner myelin. However, age at death was not correlated with myelinated nerve fibre density and was not associated with the average of <i>g</i>-ratio. The association between older age and smaller myelinated nerve fibres was largely attributable to a lower percentage of myelinated nerve fibres >8 µm. We conclude that the smaller tibial myelinated nerve fibres observed in older adults may reflect axonal atrophy rather than degeneration and regeneration of the myelinated nerve fibres. Further research is needed to investigate the pathologies and molecular mechanisms underlying these age-related morphometric changes and their clinical implications in older adults.</p>","PeriodicalId":93915,"journal":{"name":"Brain communications","volume":"7 4","pages":"fcaf267"},"PeriodicalIF":4.5000,"publicationDate":"2025-07-07","publicationTypes":"Journal Article","fieldsOfStudy":null,"isOpenAccess":false,"openAccessPdf":"https://www.ncbi.nlm.nih.gov/pmc/articles/PMC12272163/pdf/","citationCount":"0","resultStr":null,"platform":"Semanticscholar","paperid":null,"PeriodicalName":"Brain communications","FirstCategoryId":"1085","ListUrlMain":"https://doi.org/10.1093/braincomms/fcaf267","RegionNum":0,"RegionCategory":null,"ArticlePicture":[],"TitleCN":null,"AbstractTextCN":null,"PMCID":null,"EPubDate":"2025/1/1 0:00:00","PubModel":"eCollection","JCR":"Q1","JCRName":"CLINICAL NEUROLOGY","Score":null,"Total":0}
引用次数: 0

Abstract

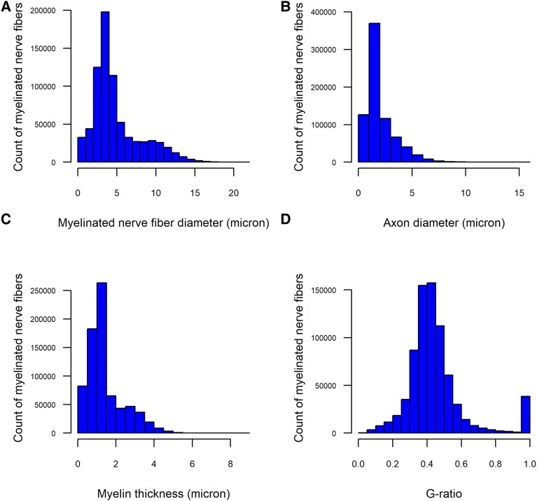
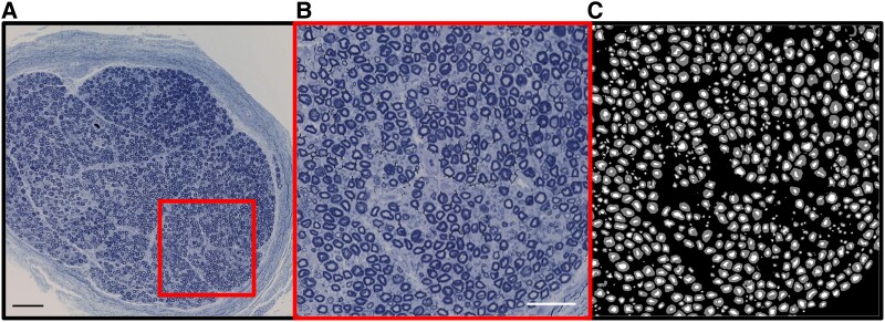
Peripheral nerve comprises a crucial component of the distributed motor/sensory system. However, there is a paucity of data on peripheral nerve morphology derived from large numbers of older adults. This study aimed to quantify the morphometric characteristics of myelinated nerve fibres of the tibial nerve obtained from deceased community-dwelling older adults and examine their association with age. The tibial nerves were obtained from consecutive autopsies of older adults without a history of diabetes who were participants of the Rush Memory and Aging Project, an ongoing longitudinal clinical-autopsy study. A nerve fascicle, obtained from a fixed popliteal segment of the tibial nerve, was separated from the blood vessels and adipose tissue for postmortem examination under an optical microscope. Morphometric characteristics of the myelinated nerve fibres were automatically segmented and quantified using our open-source software AxonDeepSeg. The participants (N = 140) had a mean age of 92.0 years (SD = 5.4) at death, and 72.1% (N = 101) were women. We examined 754 247 myelinated nerve fibres, with an average 5387 (SD = 3436) nerve fibres per participant. The average diameter of myelinated nerve fibres was 4.9 µm (SD = 3.1), axon diameter was 2.0 µm (SD = 1.4), myelin thickness was 1.4 µm (SD = 0.96) and the g-ratio (ratio of axon diameter to myelinated nerve fibre diameter) was 0.45 (SD = 0.17). The relationship between axon diameter and myelin thickness was nonlinear. Myelin was thicker in larger axons up to a diameter of 8 µm, beyond which myelin thickness plateaued. Older age at death was associated with smaller myelinated nerve fibres, smaller axons and thinner myelin. However, age at death was not correlated with myelinated nerve fibre density and was not associated with the average of g-ratio. The association between older age and smaller myelinated nerve fibres was largely attributable to a lower percentage of myelinated nerve fibres >8 µm. We conclude that the smaller tibial myelinated nerve fibres observed in older adults may reflect axonal atrophy rather than degeneration and regeneration of the myelinated nerve fibres. Further research is needed to investigate the pathologies and molecular mechanisms underlying these age-related morphometric changes and their clinical implications in older adults.

Abstract Image

Abstract Image

Abstract Image

胫神经形态学特征及其与年龄的关系。
外周神经是分布式运动/感觉系统的重要组成部分。然而,关于大量老年人周围神经形态学的数据缺乏。本研究旨在量化从已故社区老年人获得的胫骨神经髓鞘神经纤维的形态特征,并检查其与年龄的关系。胫骨神经来源于无糖尿病史的老年人的连续尸检,这些老年人是拉什记忆和衰老项目的参与者,这是一项正在进行的纵向临床尸检研究。从胫骨神经固定的腘窝段取神经束,与血管和脂肪组织分离,在光学显微镜下进行死后检查。使用我们的开源软件AxonDeepSeg对有髓神经纤维的形态特征进行自动分割和量化。参与者(N = 140)死亡时平均年龄为92.0岁(SD = 5.4),其中72.1% (N = 101)为女性。我们检查了754 247条髓鞘神经纤维,平均每个参与者有5387条(SD = 3436)神经纤维。有髓神经纤维平均直径4.9µm (SD = 3.1),轴突直径2.0µm (SD = 1.4),髓鞘厚度1.4µm (SD = 0.96), g比(轴突直径与有髓神经纤维直径之比)为0.45 (SD = 0.17)。轴突直径与髓鞘厚度呈非线性关系。在直径为8µm的较大轴突中,髓磷脂较厚,超过8µm后,髓磷脂厚度趋于稳定。死亡时年龄越大,有髓神经纤维越小,轴突越小,髓鞘越薄。然而,死亡年龄与有髓神经纤维密度无关,也与g比平均值无关。老年和较小的髓鞘神经纤维之间的关联主要是由于髓鞘神经纤维的比例较低。我们得出结论,在老年人中观察到的较小的胫骨有髓神经纤维可能反映轴突萎缩,而不是有髓神经纤维的退化和再生。需要进一步研究这些与年龄相关的形态学变化的病理和分子机制及其在老年人中的临床意义。
本文章由计算机程序翻译,如有差异,请以英文原文为准。
求助全文
约1分钟内获得全文 求助全文
来源期刊
CiteScore
7.00
自引率
0.00%
发文量
0
审稿时长
6 weeks
×
引用
GB/T 7714-2015
复制
MLA
复制
APA
复制
导出至
BibTeX EndNote RefMan NoteFirst NoteExpress
×
提示
您的信息不完整,为了账户安全,请先补充。
现在去补充
×
提示
您因"违规操作"
具体请查看互助需知
我知道了
×
提示
确定
请完成安全验证×
copy
已复制链接
快去分享给好友吧!
我知道了
右上角分享
点击右上角分享
0
联系我们:info@booksci.cn Book学术提供免费学术资源搜索服务,方便国内外学者检索中英文文献。致力于提供最便捷和优质的服务体验。 Copyright © 2023 布克学术 All rights reserved.
京ICP备2023020795号-1
ghs 京公网安备 11010802042870号
Book学术文献互助
Book学术文献互助群
群 号:604180095
Book学术官方微信