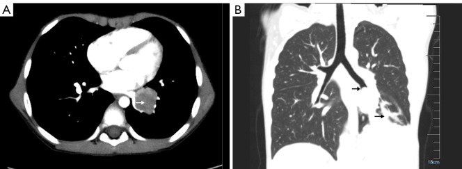
Pediatric pulmonary mucoepidermoid carcinoma in a 5-year-old patient.

IF 1.7 4区 医学 Q2 PEDIATRICS
Translational pediatrics Pub Date : 2025-06-27 Epub Date: 2025-06-19 DOI:10.21037/tp-2024-490
Qixun Lai, Chao Yang, Yidong Wang, Guilin Peng, Mengyang Liu, Xin Xu, Yuan Zeng
{"title":"Pediatric pulmonary mucoepidermoid carcinoma in a 5-year-old patient.","authors":"Qixun Lai, Chao Yang, Yidong Wang, Guilin Peng, Mengyang Liu, Xin Xu, Yuan Zeng","doi":"10.21037/tp-2024-490","DOIUrl":null,"url":null,"abstract":"","PeriodicalId":23294,"journal":{"name":"Translational pediatrics","volume":"14 6","pages":"1380-1382"},"PeriodicalIF":1.7000,"publicationDate":"2025-06-27","publicationTypes":"Journal Article","fieldsOfStudy":null,"isOpenAccess":false,"openAccessPdf":"https://www.ncbi.nlm.nih.gov/pmc/articles/PMC12268657/pdf/","citationCount":"0","resultStr":null,"platform":"Semanticscholar","paperid":null,"PeriodicalName":"Translational pediatrics","FirstCategoryId":"3","ListUrlMain":"https://doi.org/10.21037/tp-2024-490","RegionNum":4,"RegionCategory":"医学","ArticlePicture":[],"TitleCN":null,"AbstractTextCN":null,"PMCID":null,"EPubDate":"2025/6/19 0:00:00","PubModel":"Epub","JCR":"Q2","JCRName":"PEDIATRICS","Score":null,"Total":0}
引用次数: 0

Abstract Image

Abstract Image

1例5岁儿童肺黏液表皮样癌。
本文章由计算机程序翻译,如有差异,请以英文原文为准。
求助全文
约1分钟内获得全文 求助全文
来源期刊
Translational pediatrics
Translational pediatrics Medicine-Pediatrics, Perinatology and Child Health
CiteScore
4.50
自引率
5.00%
发文量
108
期刊介绍: Information not localized
×
引用
GB/T 7714-2015
复制
MLA
复制
APA
复制
导出至
BibTeX EndNote RefMan NoteFirst NoteExpress
×
提示
您的信息不完整,为了账户安全,请先补充。
现在去补充
×
提示
您因"违规操作"
具体请查看互助需知
我知道了
×
提示
确定
请完成安全验证×
copy
已复制链接
快去分享给好友吧!
我知道了
右上角分享
点击右上角分享
0
联系我们:info@booksci.cn Book学术提供免费学术资源搜索服务,方便国内外学者检索中英文文献。致力于提供最便捷和优质的服务体验。 Copyright © 2023 布克学术 All rights reserved.
京ICP备2023020795号-1
ghs 京公网安备 11010802042870号
Book学术文献互助
Book学术文献互助群
群 号:604180095
Book学术官方微信