Steroid-Dependent Nephrotic Syndrome in a Pediatric Patient With Type-1 Diabetes Mellitus.

Case Reports in Nephrology Pub Date : 2025-07-10 eCollection Date: 2025-01-01 DOI:10.1155/crin/5532944
Nisha S Singh, Aubree Crabb, Ikuyo Yamaguchi
{"title":"Steroid-Dependent Nephrotic Syndrome in a Pediatric Patient With Type-1 Diabetes Mellitus.","authors":"Nisha S Singh, Aubree Crabb, Ikuyo Yamaguchi","doi":"10.1155/crin/5532944","DOIUrl":null,"url":null,"abstract":"<p><p>Proteinuria in a patient with long-standing Type 1 diabetes mellitus (T1DM) usually suggests diabetic kidney disease (DKD). However, DKD occurs late in the disease and is associated with hypertension and retinopathy. We report an adolescent with T1DM who, 1 year after initial diagnosis, developed nephrotic syndrome (NS). He was treated with steroids but developed frequent relapses and became steroid-dependent. A subsequent kidney biopsy revealed minimal change disease (MCD) and mild DKD. He was treated with mycophenolate mofetil (MMF) and remains in remission. Primary podocytopathy, such as MCD, is a rare cause of NS in a patient with T1DM. Indications for kidney biopsy and treatment options are similar to those of other children with a diagnosis of NS. This report highlights that, although rare, primary glomerulopathy can occur in pediatric diabetic patients and should be considered in the differential diagnosis of proteinuria, as early recognition and intervention can lead to favorable outcomes.</p>","PeriodicalId":9604,"journal":{"name":"Case Reports in Nephrology","volume":"2025 ","pages":"5532944"},"PeriodicalIF":0.0000,"publicationDate":"2025-07-10","publicationTypes":"Journal Article","fieldsOfStudy":null,"isOpenAccess":false,"openAccessPdf":"https://www.ncbi.nlm.nih.gov/pmc/articles/PMC12271715/pdf/","citationCount":"0","resultStr":null,"platform":"Semanticscholar","paperid":null,"PeriodicalName":"Case Reports in Nephrology","FirstCategoryId":"1085","ListUrlMain":"https://doi.org/10.1155/crin/5532944","RegionNum":0,"RegionCategory":null,"ArticlePicture":[],"TitleCN":null,"AbstractTextCN":null,"PMCID":null,"EPubDate":"2025/1/1 0:00:00","PubModel":"eCollection","JCR":"","JCRName":"","Score":null,"Total":0}
引用次数: 0

Abstract

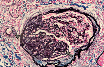
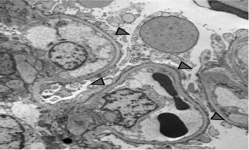
Proteinuria in a patient with long-standing Type 1 diabetes mellitus (T1DM) usually suggests diabetic kidney disease (DKD). However, DKD occurs late in the disease and is associated with hypertension and retinopathy. We report an adolescent with T1DM who, 1 year after initial diagnosis, developed nephrotic syndrome (NS). He was treated with steroids but developed frequent relapses and became steroid-dependent. A subsequent kidney biopsy revealed minimal change disease (MCD) and mild DKD. He was treated with mycophenolate mofetil (MMF) and remains in remission. Primary podocytopathy, such as MCD, is a rare cause of NS in a patient with T1DM. Indications for kidney biopsy and treatment options are similar to those of other children with a diagnosis of NS. This report highlights that, although rare, primary glomerulopathy can occur in pediatric diabetic patients and should be considered in the differential diagnosis of proteinuria, as early recognition and intervention can lead to favorable outcomes.

Abstract Image

Abstract Image

儿童1型糖尿病患者的类固醇依赖性肾病综合征
长期1型糖尿病(T1DM)患者的蛋白尿通常提示糖尿病肾病(DKD)。然而,DKD发生在疾病晚期,并与高血压和视网膜病变有关。我们报告一位青少年T1DM患者,在初次诊断1年后,发展为肾病综合征(NS)。他接受类固醇治疗,但频繁复发,并成为类固醇依赖。随后的肾活检显示轻度病变(MCD)和轻度DKD。他接受霉酚酸酯(MMF)治疗,目前仍处于缓解期。原发性足细胞病,如MCD,在T1DM患者中是罕见的NS病因。肾活检的适应症和治疗方案与其他诊断为NS的儿童相似。本报告强调,尽管罕见,原发性肾小球病变可发生在儿童糖尿病患者中,应在蛋白尿的鉴别诊断中予以考虑,因为早期识别和干预可导致良好的结果。
本文章由计算机程序翻译,如有差异,请以英文原文为准。
求助全文
约1分钟内获得全文 求助全文
来源期刊
Case Reports in Nephrology
Case Reports in Nephrology Medicine-Nephrology
CiteScore
1.70
自引率
0.00%
发文量
32
×
引用
GB/T 7714-2015
复制
MLA
复制
APA
复制
导出至
BibTeX EndNote RefMan NoteFirst NoteExpress
×
提示
您的信息不完整,为了账户安全,请先补充。
现在去补充
×
提示
您因"违规操作"
具体请查看互助需知
我知道了
×
提示
确定
请完成安全验证×
copy
已复制链接
快去分享给好友吧!
我知道了
右上角分享
点击右上角分享
0
联系我们:info@booksci.cn Book学术提供免费学术资源搜索服务,方便国内外学者检索中英文文献。致力于提供最便捷和优质的服务体验。 Copyright © 2023 布克学术 All rights reserved.
京ICP备2023020795号-1
ghs 京公网安备 11010802042870号
Book学术文献互助
Book学术文献互助群
群 号:604180095
Book学术官方微信