A simple and effective evaluation method to determine the difficulty of total mesorectal excision for male patients with mid and lower rectal cancer.

IF 2.9 3区 医学 Q2 GASTROENTEROLOGY & HEPATOLOGY
X Huang, Z Xiao, Z Huang
{"title":"A simple and effective evaluation method to determine the difficulty of total mesorectal excision for male patients with mid and lower rectal cancer.","authors":"X Huang, Z Xiao, Z Huang","doi":"10.1007/s10151-025-03181-9","DOIUrl":null,"url":null,"abstract":"<p><strong>Background: </strong>Radical resection for mid and low rectal cancer is probably the most challenging type of surgery in colorectal surgery, especially in a narrow male pelvis. In this study, we aimed to define a simple and effective evaluation method based on magnetic resonance imaging (MRI) and body mass index (BMI) to predict the operation difficulty of radical resection for mid and low rectal cancer in male patients.</p><p><strong>Methods: </strong>A total of 264 male patients who underwent total mesorectal excision (TME) due to primary rectal cancer located in the mid and low rectum (distal tumor margin distance from the anal verge ≤ 7 cm) were retrospectively included in the study. An angle SAU° [formed by two lines: line 1 (connecting the anteroinferior border of the fifth sacral vertebra and center point of anus) and line 2 (connecting internal urethral orifice and center point of anus)] was measured using the built-in software of MRI for every patient. The patients were categorized into four groups according to the angle SAU° and BMI. The operative time, estimated blood loss, TME quality, and anastomotic leakage (AL) were compared between group 1 and group 2 as well as between group 3 and group 4.</p><p><strong>Results: </strong>Group 1 included 111 patients with angle SAU° > 60 and BMI < 25 kg/m<sup>2</sup>; group 2 included 51 patients with angle SAU° ≤ 60 and BMI < 25 kg/m<sup>2</sup>; group 3 included 74 patients with angle SAU° > 60 and BMI ≥ 25 kg/m<sup>2</sup>; group 4 included 28 patients with angle SAU° ≤ 60 and BMI ≥ 25 kg/m<sup>2</sup>. The operative time, estimated blood loss, and the rate of AL in group 1 and group 3 were significantly less than those in group 2 and group 4, respectively (P < 0.05). Similarly, the TME quality in group 1 and group 3 was significantly better than that in group 2 and group 4, respectively (P < 0.05).</p><p><strong>Conclusion: </strong>Angle SAU° based on MRI combined with BMI is a simple and effective evaluation method to predict the difficulty in TME for male patients with mid and low rectal cancer. It may also have value in predicting AL.</p>","PeriodicalId":51192,"journal":{"name":"Techniques in Coloproctology","volume":"29 1","pages":"145"},"PeriodicalIF":2.9000,"publicationDate":"2025-07-19","publicationTypes":"Journal Article","fieldsOfStudy":null,"isOpenAccess":false,"openAccessPdf":"https://www.ncbi.nlm.nih.gov/pmc/articles/PMC12276130/pdf/","citationCount":"0","resultStr":null,"platform":"Semanticscholar","paperid":null,"PeriodicalName":"Techniques in Coloproctology","FirstCategoryId":"3","ListUrlMain":"https://doi.org/10.1007/s10151-025-03181-9","RegionNum":3,"RegionCategory":"医学","ArticlePicture":[],"TitleCN":null,"AbstractTextCN":null,"PMCID":null,"EPubDate":"","PubModel":"","JCR":"Q2","JCRName":"GASTROENTEROLOGY & HEPATOLOGY","Score":null,"Total":0}
引用次数: 0

Abstract

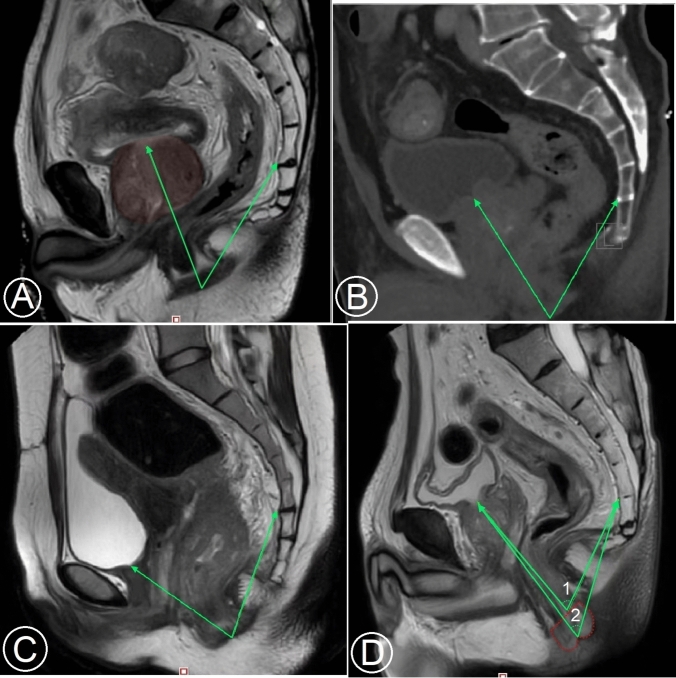
Background: Radical resection for mid and low rectal cancer is probably the most challenging type of surgery in colorectal surgery, especially in a narrow male pelvis. In this study, we aimed to define a simple and effective evaluation method based on magnetic resonance imaging (MRI) and body mass index (BMI) to predict the operation difficulty of radical resection for mid and low rectal cancer in male patients.

Methods: A total of 264 male patients who underwent total mesorectal excision (TME) due to primary rectal cancer located in the mid and low rectum (distal tumor margin distance from the anal verge ≤ 7 cm) were retrospectively included in the study. An angle SAU° [formed by two lines: line 1 (connecting the anteroinferior border of the fifth sacral vertebra and center point of anus) and line 2 (connecting internal urethral orifice and center point of anus)] was measured using the built-in software of MRI for every patient. The patients were categorized into four groups according to the angle SAU° and BMI. The operative time, estimated blood loss, TME quality, and anastomotic leakage (AL) were compared between group 1 and group 2 as well as between group 3 and group 4.

Results: Group 1 included 111 patients with angle SAU° > 60 and BMI < 25 kg/m2; group 2 included 51 patients with angle SAU° ≤ 60 and BMI < 25 kg/m2; group 3 included 74 patients with angle SAU° > 60 and BMI ≥ 25 kg/m2; group 4 included 28 patients with angle SAU° ≤ 60 and BMI ≥ 25 kg/m2. The operative time, estimated blood loss, and the rate of AL in group 1 and group 3 were significantly less than those in group 2 and group 4, respectively (P < 0.05). Similarly, the TME quality in group 1 and group 3 was significantly better than that in group 2 and group 4, respectively (P < 0.05).

Conclusion: Angle SAU° based on MRI combined with BMI is a simple and effective evaluation method to predict the difficulty in TME for male patients with mid and low rectal cancer. It may also have value in predicting AL.

Abstract Image

Abstract Image

Abstract Image

一种简单有效的评估男性中、下段直肠癌全肠系膜切除难度的方法。
背景:中低位直肠癌根治性切除术可能是结直肠手术中最具挑战性的手术类型,特别是对于男性骨盆狭窄的患者。在本研究中,我们旨在定义一种基于磁共振成像(MRI)和身体质量指数(BMI)的简单有效的评估方法来预测男性中低位直肠癌根治术的手术难度。方法:回顾性分析264例直肠中低位(远端肿瘤缘距肛缘≤7 cm)原发性直肠癌行全肠系膜切除术(TME)的男性患者。每位患者使用MRI内置软件测量角度SAU°[由线1(连接第五骶椎前下缘与肛门中心点)和线2(连接内尿道口与肛门中心点)两条线组成]。根据SAU°角度和BMI指数将患者分为四组。比较1组与2组、3组与4组的手术时间、预估出血量、TME质量、吻合口漏(AL)。结果:第一组111例患者,角SAU°bbb60, BMI 2;2组51例患者,SAU°≤60,BMI为2;3组74例患者,角SAU°bbb60, BMI≥25 kg/m2;4组28例患者,SAU°角≤60,BMI≥25 kg/m2。1组和3组的手术时间、预估失血量、AL发生率均显著低于2组和4组(P结论:基于MRI结合BMI的角度SAU°是预测男性中低位直肠癌患者TME困难程度的一种简单有效的评价方法。它在预测人工智能方面也有价值。
本文章由计算机程序翻译,如有差异,请以英文原文为准。
求助全文
约1分钟内获得全文 求助全文
来源期刊
Techniques in Coloproctology
Techniques in Coloproctology GASTROENTEROLOGY & HEPATOLOGY-SURGERY
CiteScore
5.30
自引率
9.10%
发文量
176
审稿时长
1 months
期刊介绍: Techniques in Coloproctology is an international journal fully devoted to diagnostic and operative procedures carried out in the management of colorectal diseases. Imaging, clinical physiology, laparoscopy, open abdominal surgery and proctoperineology are the main topics covered by the journal. Reviews, original articles, technical notes and short communications with many detailed illustrations render this publication indispensable for coloproctologists and related specialists. Both surgeons and gastroenterologists are represented on the distinguished Editorial Board, together with pathologists, radiologists and basic scientists from all over the world. The journal is strongly recommended to those who wish to be updated on recent developments in the field, and improve the standards of their work. Manuscripts submitted for publication must contain a statement to the effect that all human studies have been reviewed by the appropriate ethics committee and have therefore been performed in accordance with the ethical standards laid down in an appropriate version of the 1965 Declaration of Helsinki. It should also be stated clearly in the text that all persons gave their informed consent prior to their inclusion in the study. Details that might disclose the identity of the subjects under study should be omitted. Reports of animal experiments must state that the Principles of Laboratory Animal Care (NIH publication no. 86-23 revised 1985) were followed as were applicable national laws (e.g. the current version of the German Law on the Protection of Animals). The Editor-in-Chief reserves the right to reject manuscripts that do not comply with the above-mentioned requirements. Authors will be held responsible for false statements or for failure to fulfill such requirements.
×
引用
GB/T 7714-2015
复制
MLA
复制
APA
复制
导出至
BibTeX EndNote RefMan NoteFirst NoteExpress
×
提示
您的信息不完整,为了账户安全,请先补充。
现在去补充
×
提示
您因"违规操作"
具体请查看互助需知
我知道了
×
提示
确定
请完成安全验证×
copy
已复制链接
快去分享给好友吧!
我知道了
右上角分享
点击右上角分享
0
联系我们:info@booksci.cn Book学术提供免费学术资源搜索服务,方便国内外学者检索中英文文献。致力于提供最便捷和优质的服务体验。 Copyright © 2023 布克学术 All rights reserved.
京ICP备2023020795号-1
ghs 京公网安备 11010802042870号
Book学术文献互助
Book学术文献互助群
群 号:604180095
Book学术官方微信