Cardiac Manifestations in Behçet's Syndrome.

IF 3.9 2区 医学 Q1 RHEUMATOLOGY
Federica Bello, Giacomo Bagni, Emire Seyahi, Emanuele Chiara, Iacopo Olivotto, David Saadoun, Giacomo Emmi
{"title":"Cardiac Manifestations in Behçet's Syndrome.","authors":"Federica Bello, Giacomo Bagni, Emire Seyahi, Emanuele Chiara, Iacopo Olivotto, David Saadoun, Giacomo Emmi","doi":"10.1007/s11926-025-01190-z","DOIUrl":null,"url":null,"abstract":"<p><strong>Purpose of the review: </strong>Behçet's Syndrome (BS) is a multisystemic vasculitis that can affect the heart, leading to pericarditis, myocarditis, intracardiac thrombosis, endomyocardial fibrosis, valvular dysfunction, and coronary artery disease. This review summarizes the clinical presentation, diagnostic challenges, and therapeutic strategies for cardiac involvement in BS.</p><p><strong>Recent findings: </strong>Advanced imaging techniques have revealed subclinical cardiac involvement in BS. Myocardial dysfunction and fibrosis contribute to heart failure and arrhythmias, while intracardiac thrombi often coexist with pulmonary artery involvement. Coronary artery vasculitis and aneurysms may mimic atherosclerotic disease, complicating diagnosis. Biologic therapies, including TNF-α inhibitors, show promise in refractory cases. Early diagnosis and immunosuppressive therapy are crucial. A multidisciplinary approach is essential to managing cardiac complications and optimizing patient outcomes. Future research should refine screening protocols and explore targeted immunotherapies for BS-related cardiovascular disease.</p>","PeriodicalId":10761,"journal":{"name":"Current Rheumatology Reports","volume":"27 1","pages":"31"},"PeriodicalIF":3.9000,"publicationDate":"2025-07-17","publicationTypes":"Journal Article","fieldsOfStudy":null,"isOpenAccess":false,"openAccessPdf":"https://www.ncbi.nlm.nih.gov/pmc/articles/PMC12270964/pdf/","citationCount":"0","resultStr":null,"platform":"Semanticscholar","paperid":null,"PeriodicalName":"Current Rheumatology Reports","FirstCategoryId":"3","ListUrlMain":"https://doi.org/10.1007/s11926-025-01190-z","RegionNum":2,"RegionCategory":"医学","ArticlePicture":[],"TitleCN":null,"AbstractTextCN":null,"PMCID":null,"EPubDate":"","PubModel":"","JCR":"Q1","JCRName":"RHEUMATOLOGY","Score":null,"Total":0}
引用次数: 0

Abstract

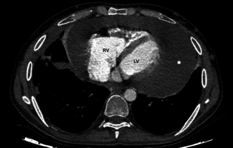
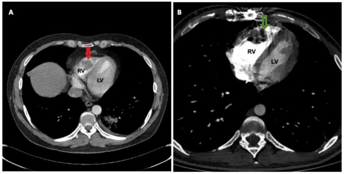
Purpose of the review: Behçet's Syndrome (BS) is a multisystemic vasculitis that can affect the heart, leading to pericarditis, myocarditis, intracardiac thrombosis, endomyocardial fibrosis, valvular dysfunction, and coronary artery disease. This review summarizes the clinical presentation, diagnostic challenges, and therapeutic strategies for cardiac involvement in BS.

Recent findings: Advanced imaging techniques have revealed subclinical cardiac involvement in BS. Myocardial dysfunction and fibrosis contribute to heart failure and arrhythmias, while intracardiac thrombi often coexist with pulmonary artery involvement. Coronary artery vasculitis and aneurysms may mimic atherosclerotic disease, complicating diagnosis. Biologic therapies, including TNF-α inhibitors, show promise in refractory cases. Early diagnosis and immunosuppressive therapy are crucial. A multidisciplinary approach is essential to managing cardiac complications and optimizing patient outcomes. Future research should refine screening protocols and explore targeted immunotherapies for BS-related cardiovascular disease.

Abstract Image

Abstract Image

Abstract Image

behaperet综合征的心脏表现。
综述目的:behet综合征(BS)是一种可影响心脏的多系统血管炎,可导致心包炎、心肌炎、心内血栓形成、心内膜纤维化、瓣膜功能障碍和冠状动脉疾病。本文综述了BS累及心脏的临床表现、诊断挑战和治疗策略。最新发现:先进的影像学技术显示BS的亚临床心脏受累。心肌功能障碍和纤维化可导致心力衰竭和心律失常,而心内血栓常与肺动脉累及共存。冠状动脉血管炎和动脉瘤可能与动脉粥样硬化疾病相似,使诊断复杂化。包括TNF-α抑制剂在内的生物疗法在难治性病例中显示出希望。早期诊断和免疫抑制治疗至关重要。多学科的方法是必不可少的管理心脏并发症和优化患者的结果。未来的研究应完善筛查方案,探索针对bs相关心血管疾病的靶向免疫疗法。
本文章由计算机程序翻译,如有差异,请以英文原文为准。
求助全文
约1分钟内获得全文 求助全文
来源期刊
CiteScore
11.20
自引率
0.00%
发文量
41
期刊介绍: This journal aims to review the most important, recently published research in the field of rheumatology. By providing clear, insightful, balanced contributions by international experts, the journal intends to serve all those involved in the care and prevention of rheumatologic conditions. We accomplish this aim by appointing international authorities to serve as Section Editors in key subject areas such as the many forms of arthritis, osteoporosis and metabolic bone disease, and systemic lupus erythematosus. Section Editors, in turn, select topics for which leading experts contribute comprehensive review articles that emphasize new developments and recently published papers of major importance, highlighted by annotated reference lists. An international Editorial Board reviews the annual table of contents, suggests articles of special interest to their country/region, and ensures that topics are current and include emerging research. Commentaries from well-known figures in the field are also occasionally provided.
×
引用
GB/T 7714-2015
复制
MLA
复制
APA
复制
导出至
BibTeX EndNote RefMan NoteFirst NoteExpress
×
提示
您的信息不完整,为了账户安全,请先补充。
现在去补充
×
提示
您因"违规操作"
具体请查看互助需知
我知道了
×
提示
确定
请完成安全验证×
copy
已复制链接
快去分享给好友吧!
我知道了
右上角分享
点击右上角分享
0
联系我们:info@booksci.cn Book学术提供免费学术资源搜索服务,方便国内外学者检索中英文文献。致力于提供最便捷和优质的服务体验。 Copyright © 2023 布克学术 All rights reserved.
京ICP备2023020795号-1
ghs 京公网安备 11010802042870号
Book学术文献互助
Book学术文献互助群
群 号:604180095
Book学术官方微信