Thyroid tuberculosis misdiagnosed as papillary thyroid carcinoma under ultrasound-guided fine-needle aspiration cytology: a case report and literature review.

IF 1.6 3区 医学 Q3 SURGERY
Gland surgery Pub Date : 2025-06-30 Epub Date: 2025-06-26 DOI:10.21037/gs-2025-19
Lu Gan, Li Sun, Junzhi Zhao, Qiang Feng, Jiahua Li, Qinyun Wan, Qiannan Meng, Jianxue Liu
{"title":"Thyroid tuberculosis misdiagnosed as papillary thyroid carcinoma under ultrasound-guided fine-needle aspiration cytology: a case report and literature review.","authors":"Lu Gan, Li Sun, Junzhi Zhao, Qiang Feng, Jiahua Li, Qinyun Wan, Qiannan Meng, Jianxue Liu","doi":"10.21037/gs-2025-19","DOIUrl":null,"url":null,"abstract":"<p><strong>Background: </strong>Thyroid tuberculosis is very rare, making diagnosis challenging without fine-needle aspiration cytology (FNAC) because of its atypical features. We report a case of thyroid tuberculosis that was misdiagnosed as papillary thyroid carcinoma (PTC).</p><p><strong>Case description: </strong>A 68-year-old woman visited Baoji Central Hospital following ultrasound (US) performed at another hospital indicated a suspicious malignant nodule in her thyroid. Physical examination and thyroid US revealed a hard mass and irregular hypoechoic area in the right lobe, suggesting a possible malignant lesion. Ultrasound-guided FNAC (US-FNAC) was suspicious for PTC. The patient subsequently underwent right thyroid lobectomy and isthmusectomy, and postoperative histopathology revealed an epithelioid granulomatous lesion without tumor tissue. Meanwhile, postoperative serum testing revealed elevated TB-γ interferon concentration, and a specific T lymphocyte testing was positive, indicating a tuberculosis infection. Primary thyroid tuberculosis was ultimately confirmed. Postoperatively, the patient recovered well after surgery and received anti-tuberculosis therapy in a tuberculosis hospital for 1 year.</p><p><strong>Conclusions: </strong>This case reminds us that although thyroid tuberculosis is very rare, especially when imaging features and FNAC results resemble those of PTC, the diagnosis of primary thyroid tuberculosis should still be considered, and serum TB-related indicator testing can aid in diagnosis.</p>","PeriodicalId":12760,"journal":{"name":"Gland surgery","volume":"14 6","pages":"1154-1160"},"PeriodicalIF":1.6000,"publicationDate":"2025-06-30","publicationTypes":"Journal Article","fieldsOfStudy":null,"isOpenAccess":false,"openAccessPdf":"https://www.ncbi.nlm.nih.gov/pmc/articles/PMC12261367/pdf/","citationCount":"0","resultStr":null,"platform":"Semanticscholar","paperid":null,"PeriodicalName":"Gland surgery","FirstCategoryId":"3","ListUrlMain":"https://doi.org/10.21037/gs-2025-19","RegionNum":3,"RegionCategory":"医学","ArticlePicture":[],"TitleCN":null,"AbstractTextCN":null,"PMCID":null,"EPubDate":"2025/6/26 0:00:00","PubModel":"Epub","JCR":"Q3","JCRName":"SURGERY","Score":null,"Total":0}
引用次数: 0

Abstract

Background: Thyroid tuberculosis is very rare, making diagnosis challenging without fine-needle aspiration cytology (FNAC) because of its atypical features. We report a case of thyroid tuberculosis that was misdiagnosed as papillary thyroid carcinoma (PTC).

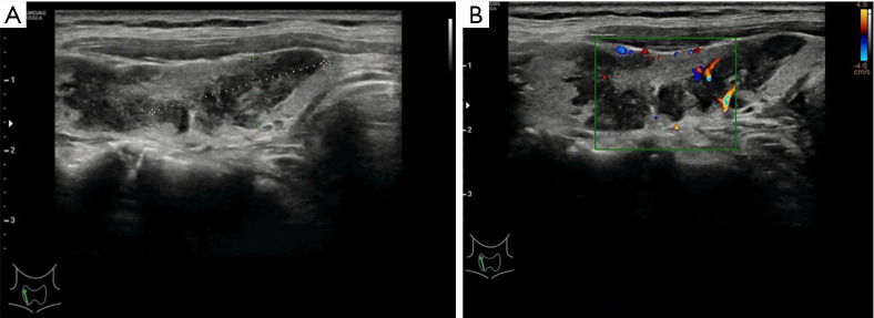
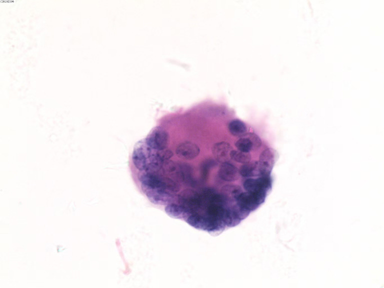
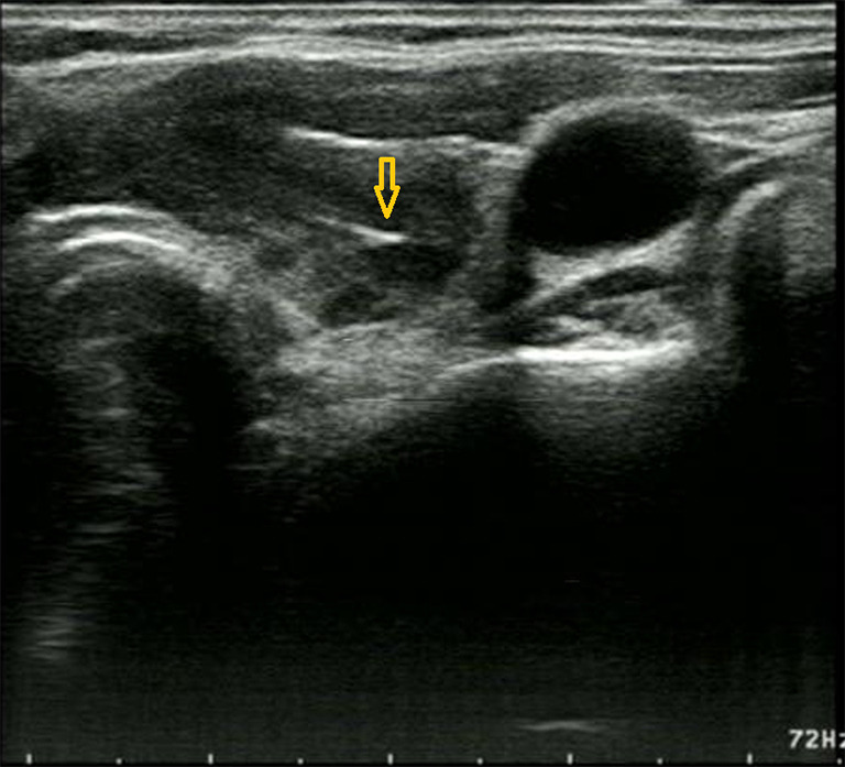
Case description: A 68-year-old woman visited Baoji Central Hospital following ultrasound (US) performed at another hospital indicated a suspicious malignant nodule in her thyroid. Physical examination and thyroid US revealed a hard mass and irregular hypoechoic area in the right lobe, suggesting a possible malignant lesion. Ultrasound-guided FNAC (US-FNAC) was suspicious for PTC. The patient subsequently underwent right thyroid lobectomy and isthmusectomy, and postoperative histopathology revealed an epithelioid granulomatous lesion without tumor tissue. Meanwhile, postoperative serum testing revealed elevated TB-γ interferon concentration, and a specific T lymphocyte testing was positive, indicating a tuberculosis infection. Primary thyroid tuberculosis was ultimately confirmed. Postoperatively, the patient recovered well after surgery and received anti-tuberculosis therapy in a tuberculosis hospital for 1 year.

Conclusions: This case reminds us that although thyroid tuberculosis is very rare, especially when imaging features and FNAC results resemble those of PTC, the diagnosis of primary thyroid tuberculosis should still be considered, and serum TB-related indicator testing can aid in diagnosis.

Abstract Image

Abstract Image

Abstract Image

超声引导下细针穿刺细胞学检查甲状腺结核误诊为甲状腺乳头状癌1例并文献复习。
背景:甲状腺结核是一种非常罕见的疾病,由于其不典型的特点,在没有细针穿刺细胞学检查(FNAC)的情况下诊断具有挑战性。我们报告一个甲状腺结核被误诊为甲状腺乳头状癌的病例。病例描述:一名68岁妇女在其他医院超声检查(美国)后到宝鸡市中心医院就诊,发现甲状腺可疑恶性结节。体格检查及甲状腺超声示右叶硬块及不规则低回声区,提示可能为恶性病变。超声引导FNAC (US-FNAC)可疑PTC。患者随后行右侧甲状腺叶切除术和峡部切除术,术后组织病理学显示为无肿瘤组织的上皮样肉芽肿病变。同时,术后血清检测显示结核γ干扰素浓度升高,特异性T淋巴细胞检测阳性,提示结核感染。最终确诊为原发性甲状腺结核。术后患者恢复良好,在结核病医院接受了1年的抗结核治疗。结论:本病例提醒我们,虽然甲状腺结核非常罕见,特别是当影像学特征和FNAC结果与PTC相似时,仍应考虑原发性甲状腺结核的诊断,血清结核相关指标检测有助于诊断。
本文章由计算机程序翻译,如有差异,请以英文原文为准。
求助全文
约1分钟内获得全文 求助全文
来源期刊
Gland surgery
Gland surgery Medicine-Surgery
CiteScore
3.60
自引率
0.00%
发文量
113
期刊介绍: Gland Surgery (Gland Surg; GS, Print ISSN 2227-684X; Online ISSN 2227-8575) being indexed by PubMed/PubMed Central, is an open access, peer-review journal launched at May of 2012, published bio-monthly since February 2015.
×
引用
GB/T 7714-2015
复制
MLA
复制
APA
复制
导出至
BibTeX EndNote RefMan NoteFirst NoteExpress
×
提示
您的信息不完整,为了账户安全,请先补充。
现在去补充
×
提示
您因"违规操作"
具体请查看互助需知
我知道了
×
提示
确定
请完成安全验证×
copy
已复制链接
快去分享给好友吧!
我知道了
右上角分享
点击右上角分享
0
联系我们:info@booksci.cn Book学术提供免费学术资源搜索服务,方便国内外学者检索中英文文献。致力于提供最便捷和优质的服务体验。 Copyright © 2023 布克学术 All rights reserved.
京ICP备2023020795号-1
ghs 京公网安备 11010802042870号
Book学术文献互助
Book学术文献互助群
群 号:604180095
Book学术官方微信