Gastrointestinal perforation caused by a pancreaticojejunal anastomotic stent: a postoperative case report following pancreaticoduodenectomy.

IF 1.6 3区 医学 Q3 SURGERY
Gland surgery Pub Date : 2025-06-30 Epub Date: 2025-06-26 DOI:10.21037/gs-2025-51
Jiayue Zou, Daobin Wang, Danyang Shen, Yizhang Zhu, Weigang Zhang, Lei Qin, Xiaofeng Xue
{"title":"Gastrointestinal perforation caused by a pancreaticojejunal anastomotic stent: a postoperative case report following pancreaticoduodenectomy.","authors":"Jiayue Zou, Daobin Wang, Danyang Shen, Yizhang Zhu, Weigang Zhang, Lei Qin, Xiaofeng Xue","doi":"10.21037/gs-2025-51","DOIUrl":null,"url":null,"abstract":"<p><strong>Background: </strong>Placement of a support tube during pancreaticojejunal anastomosis has been shown to reduce the incidence of postoperative pancreatic fistula in patients with a non-dilated pancreatic duct. However, increasing reports of long-term complications, such as the presence of an indwelling support tube in the anastomosis, have raised concerns. Despite this, short-term complications, such as gastrointestinal perforation in the absence of tube displacement, remain relatively rare.</p><p><strong>Case description: </strong>This report describes a 59-year-old female patient who underwent radical pancreaticoduodenectomy for pancreatic ductal adenocarcinoma (T2N0M0). On the 8th postoperative day, she developed back pain, followed by a sudden increase in body temperature, elevated inflammatory markers, and a significant increase in amylase levels in the drainage fluid. Enhanced abdominal computed tomography revealed that one side of the pancreatic duct support tube had penetrated the abdominal cavity, resulting in posterior peritoneal effusion. Emergency removal of the support tube and repair of the intestinal perforation were performed. The patient had an uneventful recovery after surgery and was discharged on day 20 following the second operation.</p><p><strong>Conclusions: </strong>In cases of postoperative abdominal or low back pain accompanied by signs of infection, complications related to the support tube should be considered. Further studies are needed to evaluate the necessity of placing a pancreatic duct support tube, as well as the timing for its removal after the completion of the anastomosis.</p>","PeriodicalId":12760,"journal":{"name":"Gland surgery","volume":"14 6","pages":"1161-1167"},"PeriodicalIF":1.6000,"publicationDate":"2025-06-30","publicationTypes":"Journal Article","fieldsOfStudy":null,"isOpenAccess":false,"openAccessPdf":"https://www.ncbi.nlm.nih.gov/pmc/articles/PMC12261358/pdf/","citationCount":"0","resultStr":null,"platform":"Semanticscholar","paperid":null,"PeriodicalName":"Gland surgery","FirstCategoryId":"3","ListUrlMain":"https://doi.org/10.21037/gs-2025-51","RegionNum":3,"RegionCategory":"医学","ArticlePicture":[],"TitleCN":null,"AbstractTextCN":null,"PMCID":null,"EPubDate":"2025/6/26 0:00:00","PubModel":"Epub","JCR":"Q3","JCRName":"SURGERY","Score":null,"Total":0}
引用次数: 0

Abstract

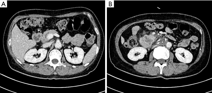
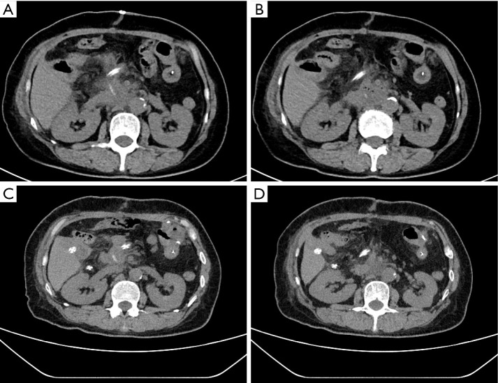
Background: Placement of a support tube during pancreaticojejunal anastomosis has been shown to reduce the incidence of postoperative pancreatic fistula in patients with a non-dilated pancreatic duct. However, increasing reports of long-term complications, such as the presence of an indwelling support tube in the anastomosis, have raised concerns. Despite this, short-term complications, such as gastrointestinal perforation in the absence of tube displacement, remain relatively rare.

Case description: This report describes a 59-year-old female patient who underwent radical pancreaticoduodenectomy for pancreatic ductal adenocarcinoma (T2N0M0). On the 8th postoperative day, she developed back pain, followed by a sudden increase in body temperature, elevated inflammatory markers, and a significant increase in amylase levels in the drainage fluid. Enhanced abdominal computed tomography revealed that one side of the pancreatic duct support tube had penetrated the abdominal cavity, resulting in posterior peritoneal effusion. Emergency removal of the support tube and repair of the intestinal perforation were performed. The patient had an uneventful recovery after surgery and was discharged on day 20 following the second operation.

Conclusions: In cases of postoperative abdominal or low back pain accompanied by signs of infection, complications related to the support tube should be considered. Further studies are needed to evaluate the necessity of placing a pancreatic duct support tube, as well as the timing for its removal after the completion of the anastomosis.

Abstract Image

Abstract Image

Abstract Image

胰空肠吻合支架引起胃肠道穿孔:胰十二指肠切除术后一例报告。
背景:在胰空肠吻合术中放置支撑管已被证明可以减少胰管未扩张患者术后胰瘘的发生率。然而,越来越多的长期并发症的报道,如吻合口留置支持管的存在,引起了人们的关注。尽管如此,短期并发症,如胃肠道穿孔在没有管移位,仍然相对罕见。病例描述:本报告报告一例59岁女性患者因胰管腺癌(T2N0M0)行根治性胰十二指肠切除术。术后第8天,患者出现背部疼痛,随后体温突然升高,炎症标志物升高,引流液中淀粉酶水平显著升高。增强腹部计算机断层显示一侧胰管支撑管穿透腹腔,导致腹膜后积液。紧急拔除支撑管并修复肠穿孔。患者术后恢复顺利,第二次手术后第20天出院。结论:术后腹部或下背部疼痛伴有感染征象的患者应考虑与支撑管相关的并发症。需要进一步的研究来评估放置胰管支持管的必要性,以及在吻合完成后取出胰管的时间。
本文章由计算机程序翻译,如有差异,请以英文原文为准。
求助全文
约1分钟内获得全文 求助全文
来源期刊
Gland surgery
Gland surgery Medicine-Surgery
CiteScore
3.60
自引率
0.00%
发文量
113
期刊介绍: Gland Surgery (Gland Surg; GS, Print ISSN 2227-684X; Online ISSN 2227-8575) being indexed by PubMed/PubMed Central, is an open access, peer-review journal launched at May of 2012, published bio-monthly since February 2015.
×
引用
GB/T 7714-2015
复制
MLA
复制
APA
复制
导出至
BibTeX EndNote RefMan NoteFirst NoteExpress
×
提示
您的信息不完整,为了账户安全,请先补充。
现在去补充
×
提示
您因"违规操作"
具体请查看互助需知
我知道了
×
提示
确定
请完成安全验证×
copy
已复制链接
快去分享给好友吧!
我知道了
右上角分享
点击右上角分享
0
联系我们:info@booksci.cn Book学术提供免费学术资源搜索服务,方便国内外学者检索中英文文献。致力于提供最便捷和优质的服务体验。 Copyright © 2023 布克学术 All rights reserved.
京ICP备2023020795号-1
ghs 京公网安备 11010802042870号
Book学术文献互助
Book学术文献互助群
群 号:604180095
Book学术官方微信