APOE deficiency triggers anti-tumour activity of macrophages in liver cancer

IF 5 3区 医学 Q1 BIOTECHNOLOGY & APPLIED MICROBIOLOGY
Xintong Xia, Zijun Zhou, Xiaoxiao Zheng, Chaoyong Tu, Hao Liu, Zhiming Hu, Tao Ma, Yuexiao Tang, Wei Chen
{"title":"APOE deficiency triggers anti-tumour activity of macrophages in liver cancer","authors":"Xintong Xia, Zijun Zhou, Xiaoxiao Zheng, Chaoyong Tu, Hao Liu, Zhiming Hu, Tao Ma, Yuexiao Tang, Wei Chen","doi":"10.1038/s41417-025-00936-2","DOIUrl":null,"url":null,"abstract":"Macrophage infiltration correlates with poor prognosis in patients with liver cancer and resistance to immunotherapy. However, it is difficult to target tumour-associated macrophages (TAMs) because of their inherent heterogeneity. Specific TAM subsets may exhibit distinct functions in tumorigenesis. Herein, we identify a TAM subset characterised by elevated APOE expression, which is correlated with poor overall survival of patients with HCC. The APOE+ TAM intensity is highly elevated in ICB non-responder tumours and negatively correlated with CD8+ T cell infiltration. Pathway analysis and cell interaction reveal that APOE+ TAMs suppress CD8+ T cells through signal integration and cholesterol efflux. Furthermore, APOE deficiency in macrophages delays tumour growth and promotes the infiltration of CD8+ T cells. Using an immunotherapy-resistant mouse model, we showed that APOE blockade synergises with anti-PD-1 therapy and inhibits tumour growth. Our results elucidate the crucial role of APOE+ TAMs in the formation of immunosuppressive microenvironments and offer a potential therapeutic target for ICB combined therapy.","PeriodicalId":9577,"journal":{"name":"Cancer gene therapy","volume":"32 9","pages":"949-962"},"PeriodicalIF":5.0000,"publicationDate":"2025-07-14","publicationTypes":"Journal Article","fieldsOfStudy":null,"isOpenAccess":false,"openAccessPdf":"","citationCount":"0","resultStr":null,"platform":"Semanticscholar","paperid":null,"PeriodicalName":"Cancer gene therapy","FirstCategoryId":"3","ListUrlMain":"https://www.nature.com/articles/s41417-025-00936-2","RegionNum":3,"RegionCategory":"医学","ArticlePicture":[],"TitleCN":null,"AbstractTextCN":null,"PMCID":null,"EPubDate":"","PubModel":"","JCR":"Q1","JCRName":"BIOTECHNOLOGY & APPLIED MICROBIOLOGY","Score":null,"Total":0}
引用次数: 0

Abstract

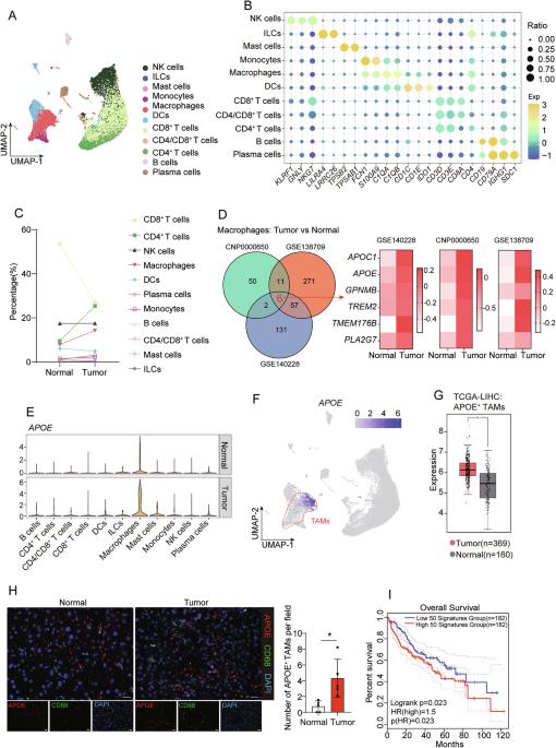
Macrophage infiltration correlates with poor prognosis in patients with liver cancer and resistance to immunotherapy. However, it is difficult to target tumour-associated macrophages (TAMs) because of their inherent heterogeneity. Specific TAM subsets may exhibit distinct functions in tumorigenesis. Herein, we identify a TAM subset characterised by elevated APOE expression, which is correlated with poor overall survival of patients with HCC. The APOE+ TAM intensity is highly elevated in ICB non-responder tumours and negatively correlated with CD8+ T cell infiltration. Pathway analysis and cell interaction reveal that APOE+ TAMs suppress CD8+ T cells through signal integration and cholesterol efflux. Furthermore, APOE deficiency in macrophages delays tumour growth and promotes the infiltration of CD8+ T cells. Using an immunotherapy-resistant mouse model, we showed that APOE blockade synergises with anti-PD-1 therapy and inhibits tumour growth. Our results elucidate the crucial role of APOE+ TAMs in the formation of immunosuppressive microenvironments and offer a potential therapeutic target for ICB combined therapy.

Abstract Image

APOE缺乏触发肝癌巨噬细胞抗肿瘤活性。
巨噬细胞浸润与肝癌患者预后不良及免疫治疗耐药相关。然而,由于肿瘤相关巨噬细胞(tam)固有的异质性,很难靶向它们。特定的TAM亚群可能在肿瘤发生中表现出不同的功能。在此,我们确定了以APOE表达升高为特征的TAM亚群,这与HCC患者的总生存率较低相关。APOE+ TAM强度在ICB无应答肿瘤中高度升高,且与CD8+ T细胞浸润呈负相关。途径分析和细胞相互作用揭示APOE+ tam通过信号整合和胆固醇外排抑制CD8+ T细胞。此外,巨噬细胞缺乏APOE可延缓肿瘤生长并促进CD8+ T细胞的浸润。通过免疫治疗抵抗小鼠模型,我们发现APOE阻断与抗pd -1治疗协同作用并抑制肿瘤生长。我们的研究结果阐明了APOE+ tam在免疫抑制微环境形成中的关键作用,并为ICB联合治疗提供了潜在的治疗靶点。
本文章由计算机程序翻译,如有差异,请以英文原文为准。
求助全文
约1分钟内获得全文 求助全文
来源期刊
Cancer gene therapy
Cancer gene therapy 医学-生物工程与应用微生物
CiteScore
10.20
自引率
0.00%
发文量
150
审稿时长
4-8 weeks
期刊介绍: Cancer Gene Therapy is the essential gene and cellular therapy resource for cancer researchers and clinicians, keeping readers up to date with the latest developments in gene and cellular therapies for cancer. The journal publishes original laboratory and clinical research papers, case reports and review articles. Publication topics include RNAi approaches, drug resistance, hematopoietic progenitor cell gene transfer, cancer stem cells, cellular therapies, homologous recombination, ribozyme technology, antisense technology, tumor immunotherapy and tumor suppressors, translational research, cancer therapy, gene delivery systems (viral and non-viral), anti-gene therapy (antisense, siRNA & ribozymes), apoptosis; mechanisms and therapies, vaccine development, immunology and immunotherapy, DNA synthesis and repair. Cancer Gene Therapy publishes the results of laboratory investigations, preclinical studies, and clinical trials in the field of gene transfer/gene therapy and cellular therapies as applied to cancer research. Types of articles published include original research articles; case reports; brief communications; review articles in the main fields of drug resistance/sensitivity, gene therapy, cellular therapy, tumor suppressor and anti-oncogene therapy, cytokine/tumor immunotherapy, etc.; industry perspectives; and letters to the editor.
×
引用
GB/T 7714-2015
复制
MLA
复制
APA
复制
导出至
BibTeX EndNote RefMan NoteFirst NoteExpress
×
提示
您的信息不完整,为了账户安全,请先补充。
现在去补充
×
提示
您因"违规操作"
具体请查看互助需知
我知道了
×
提示
确定
请完成安全验证×
copy
已复制链接
快去分享给好友吧!
我知道了
右上角分享
点击右上角分享
0
联系我们:info@booksci.cn Book学术提供免费学术资源搜索服务,方便国内外学者检索中英文文献。致力于提供最便捷和优质的服务体验。 Copyright © 2023 布克学术 All rights reserved.
京ICP备2023020795号-1
ghs 京公网安备 11010802042870号
Book学术文献互助
Book学术文献互助群
群 号:604180095
Book学术官方微信