Programmed Death Ligand-1 Expression in Gastric Cancer Cases in Zambia.

Husna Munshi, Chibamba Mumba, Mupeta Songwe, Violet Kayamba
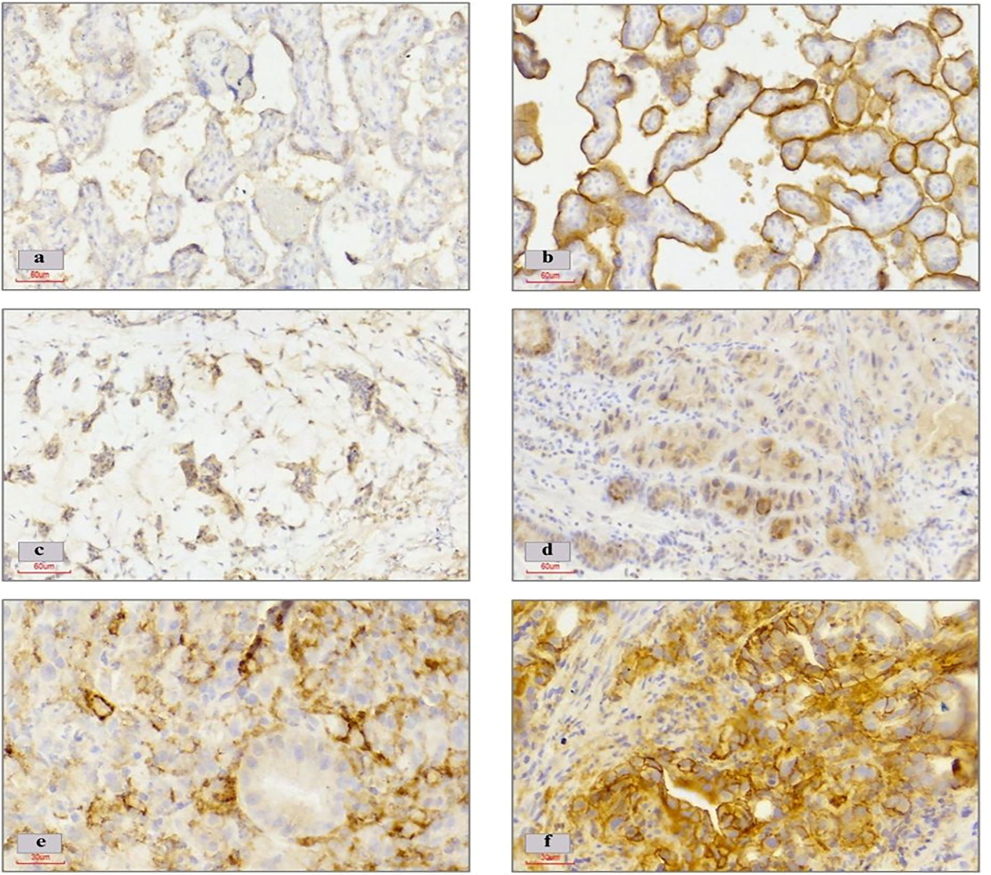
{"title":"Programmed Death Ligand-1 Expression in Gastric Cancer Cases in Zambia.","authors":"Husna Munshi, Chibamba Mumba, Mupeta Songwe, Violet Kayamba","doi":"10.53974/unza.jabs.9.2.1492","DOIUrl":null,"url":null,"abstract":"<p><p>Gastric cancer is a highly fatal disease in Zambia due to delayed diagnosis, aggressiveness of the disease and ineffective treatment. Programmed death ligand-1 is a key biomarker of gastric cancer, linked to immune evasion and response to anti-Programmed death ligand-1 therapies. This study aimed to evaluate the expression of in gastric cancer cases and its association with various clinicopathological prognostic factors in Zambia. This pilot study utilized archived formalin-fixed, paraffin-embedded tissue blocks from patients diagnosed with gastric cancer at the University Teaching Hospitals in Lusaka, Zambia. A total of 41 gastric cancer samples were examined, with 65.9% female (27) and 34.1% male (14), and a median age of 63 years (interquatile range: 56-76). The slides were stained with Haematoxylin and Eosin, followed by immunohistochemical analysis to assess Programmed Death Ligand-1 expression, which was evaluated using a combined positive scoring system. Statistical analysis was conducted using STATA to evaluate the data version 15. Six patients (14.6%) exhibited positive expression of Programmed Death Ligand-1, with a combined positive score of 1 or higher. However, our analysis did not reveal any significant associations between PD-L1 expression and any of the clinicopathological variables assessed. We found that a small proportion (14.6 %) of GCs in our population expresses Programmed Death Ligand-1, a potentially therapeutically actionable patient group.</p>","PeriodicalId":520938,"journal":{"name":"Journal of agricultural and biomedical sciences","volume":"9 2","pages":""},"PeriodicalIF":0.0000,"publicationDate":"2025-04-01","publicationTypes":"Journal Article","fieldsOfStudy":null,"isOpenAccess":false,"openAccessPdf":"https://www.ncbi.nlm.nih.gov/pmc/articles/PMC12245711/pdf/","citationCount":"0","resultStr":null,"platform":"Semanticscholar","paperid":null,"PeriodicalName":"Journal of agricultural and biomedical sciences","FirstCategoryId":"1085","ListUrlMain":"https://doi.org/10.53974/unza.jabs.9.2.1492","RegionNum":0,"RegionCategory":null,"ArticlePicture":[],"TitleCN":null,"AbstractTextCN":null,"PMCID":null,"EPubDate":"2025/6/4 0:00:00","PubModel":"Epub","JCR":"","JCRName":"","Score":null,"Total":0}
引用次数: 0

Abstract

Gastric cancer is a highly fatal disease in Zambia due to delayed diagnosis, aggressiveness of the disease and ineffective treatment. Programmed death ligand-1 is a key biomarker of gastric cancer, linked to immune evasion and response to anti-Programmed death ligand-1 therapies. This study aimed to evaluate the expression of in gastric cancer cases and its association with various clinicopathological prognostic factors in Zambia. This pilot study utilized archived formalin-fixed, paraffin-embedded tissue blocks from patients diagnosed with gastric cancer at the University Teaching Hospitals in Lusaka, Zambia. A total of 41 gastric cancer samples were examined, with 65.9% female (27) and 34.1% male (14), and a median age of 63 years (interquatile range: 56-76). The slides were stained with Haematoxylin and Eosin, followed by immunohistochemical analysis to assess Programmed Death Ligand-1 expression, which was evaluated using a combined positive scoring system. Statistical analysis was conducted using STATA to evaluate the data version 15. Six patients (14.6%) exhibited positive expression of Programmed Death Ligand-1, with a combined positive score of 1 or higher. However, our analysis did not reveal any significant associations between PD-L1 expression and any of the clinicopathological variables assessed. We found that a small proportion (14.6 %) of GCs in our population expresses Programmed Death Ligand-1, a potentially therapeutically actionable patient group.

Abstract Image

Abstract Image

程序性死亡配体-1在赞比亚胃癌病例中的表达。
在赞比亚,胃癌是一种高度致命的疾病,因为它的诊断延迟,疾病的侵袭性和治疗无效。程序性死亡配体-1是胃癌的关键生物标志物,与免疫逃避和对抗程序性死亡配体-1治疗的反应有关。本研究旨在评估其在赞比亚胃癌病例中的表达及其与各种临床病理预后因素的关系。这项试点研究利用了来自赞比亚卢萨卡大学教学医院诊断为胃癌的患者的存档的福尔马林固定石蜡包埋组织块。共41例胃癌标本,女性27例,占65.9%,男性14例,占34.1%,中位年龄63岁(四分位间:56 ~ 76岁)。切片用血红素和伊红染色,然后进行免疫组织化学分析以评估程序性死亡配体-1的表达,使用联合阳性评分系统进行评估。采用STATA对数据版本15进行统计分析。6例(14.6%)患者出现程序性死亡配体-1阳性表达,综合阳性评分为1分及以上。然而,我们的分析并未揭示PD-L1表达与任何临床病理变量之间的显著关联。我们发现,在我们的人群中,一小部分(14.6%)的GCs表达程序性死亡配体-1,这是一个潜在的可治疗的患者群体。
本文章由计算机程序翻译,如有差异,请以英文原文为准。
求助全文
约1分钟内获得全文 求助全文
来源期刊
自引率
0.00%
发文量
0
×
引用
GB/T 7714-2015
复制
MLA
复制
APA
复制
导出至
BibTeX EndNote RefMan NoteFirst NoteExpress
×
提示
您的信息不完整,为了账户安全,请先补充。
现在去补充
×
提示
您因"违规操作"
具体请查看互助需知
我知道了
×
提示
确定
请完成安全验证×
copy
已复制链接
快去分享给好友吧!
我知道了
右上角分享
点击右上角分享
0
联系我们:info@booksci.cn Book学术提供免费学术资源搜索服务,方便国内外学者检索中英文文献。致力于提供最便捷和优质的服务体验。 Copyright © 2023 布克学术 All rights reserved.
京ICP备2023020795号-1
ghs 京公网安备 11010802042870号
Book学术文献互助
Book学术文献互助群
群 号:604180095
Book学术官方微信