Primary Intracranial Adenoid Cystic Carcinoma: A Case Report.

JNMA; journal of the Nepal Medical Association Pub Date : 2025-02-01 Epub Date: 2025-02-28 DOI:10.31729/jnma.8890
Pralisha Maharjan, Gopi Aryal, Reena Rana
{"title":"Primary Intracranial Adenoid Cystic Carcinoma: A Case Report.","authors":"Pralisha Maharjan, Gopi Aryal, Reena Rana","doi":"10.31729/jnma.8890","DOIUrl":null,"url":null,"abstract":"<p><p>Adenoid cystic carcinoma (ACC) is a rare slow-growing but aggressive malignant tumor arising from the epithelial cells of mucous-secreting glands. Primary intracranial ACC is one of the rarest entity. We report a case of a 61 years old male presenting with difficulty in swallowing, slurring of speech, generalized body weakness. Patient had residual right cerebellopontine angle (CPA) mass causing midline shift and fourth ventricular obstruction on MRI. Patient underwent right retrosigmoid craniotomy with excision of CPA mass. Histopathological examination confirmed the case as primary intracranial ACC.</p>","PeriodicalId":520657,"journal":{"name":"JNMA; journal of the Nepal Medical Association","volume":"63 282","pages":"117-119"},"PeriodicalIF":0.0000,"publicationDate":"2025-02-01","publicationTypes":"Journal Article","fieldsOfStudy":null,"isOpenAccess":false,"openAccessPdf":"https://www.ncbi.nlm.nih.gov/pmc/articles/PMC11930298/pdf/","citationCount":"0","resultStr":null,"platform":"Semanticscholar","paperid":null,"PeriodicalName":"JNMA; journal of the Nepal Medical Association","FirstCategoryId":"1085","ListUrlMain":"https://doi.org/10.31729/jnma.8890","RegionNum":0,"RegionCategory":null,"ArticlePicture":[],"TitleCN":null,"AbstractTextCN":null,"PMCID":null,"EPubDate":"2025/2/28 0:00:00","PubModel":"Epub","JCR":"","JCRName":"","Score":null,"Total":0}
引用次数: 0

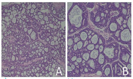
Abstract

Adenoid cystic carcinoma (ACC) is a rare slow-growing but aggressive malignant tumor arising from the epithelial cells of mucous-secreting glands. Primary intracranial ACC is one of the rarest entity. We report a case of a 61 years old male presenting with difficulty in swallowing, slurring of speech, generalized body weakness. Patient had residual right cerebellopontine angle (CPA) mass causing midline shift and fourth ventricular obstruction on MRI. Patient underwent right retrosigmoid craniotomy with excision of CPA mass. Histopathological examination confirmed the case as primary intracranial ACC.

Abstract Image

Abstract Image

Abstract Image

原发性颅内腺样囊性癌1例报告。
腺样囊性癌(ACC)是一种罕见的生长缓慢但侵袭性的恶性肿瘤,起源于粘液分泌腺的上皮细胞。原发性颅内ACC是一种罕见的疾病。我们报告一个病例61岁的男性表现为吞咽困难,言语不清,全身无力。患者右侧桥小脑角(CPA)肿块残留,MRI表现为中线移位及第四脑室梗阻。患者行右乙状窦后开颅术,切除CPA肿块。组织病理学检查证实为原发性颅内ACC。
本文章由计算机程序翻译,如有差异,请以英文原文为准。
求助全文
约1分钟内获得全文 求助全文
来源期刊
自引率
0.00%
发文量
0
×
引用
GB/T 7714-2015
复制
MLA
复制
APA
复制
导出至
BibTeX EndNote RefMan NoteFirst NoteExpress
×
提示
您的信息不完整,为了账户安全,请先补充。
现在去补充
×
提示
您因"违规操作"
具体请查看互助需知
我知道了
×
提示
确定
请完成安全验证×
copy
已复制链接
快去分享给好友吧!
我知道了
右上角分享
点击右上角分享
0
联系我们:info@booksci.cn Book学术提供免费学术资源搜索服务,方便国内外学者检索中英文文献。致力于提供最便捷和优质的服务体验。 Copyright © 2023 布克学术 All rights reserved.
京ICP备2023020795号-1
ghs 京公网安备 11010802042870号
Book学术文献互助
Book学术文献互助群
群 号:604180095
Book学术官方微信