Ultrasonography Findings of Testicular Tuberculosis in Nepalese Patients: A Case Series.

JNMA; journal of the Nepal Medical Association Pub Date : 2024-12-01 Epub Date: 2024-12-31 DOI:10.31729/jnma.8835
Madan Thapa, Sushmit Kafle, Pratik Lamichhane, Suresh Thapa
{"title":"Ultrasonography Findings of Testicular Tuberculosis in Nepalese Patients: A Case Series.","authors":"Madan Thapa, Sushmit Kafle, Pratik Lamichhane, Suresh Thapa","doi":"10.31729/jnma.8835","DOIUrl":null,"url":null,"abstract":"<p><p>Extrapulmonary tuberculosis constitutes about 20% of all cases of tuberculosis. It involves organs other than the lungs, such as lymph nodes, the genitourinary tract, abdomen, skin, joints and bones, and meninges. Tuberculosis of the testis is a rare disease. The diagnosis of testicular tuberculosis could be confused with testicular cancer, sarcoidosis or metastases. Herein, we describe the ultrasonography of five patients with testicular tuberculosis. This case series highlights the importance of ultrasonography in the diagnosis of rare form of extra pulmonary tuberculosis.</p>","PeriodicalId":520657,"journal":{"name":"JNMA; journal of the Nepal Medical Association","volume":"62 280","pages":"850-853"},"PeriodicalIF":0.0000,"publicationDate":"2024-12-01","publicationTypes":"Journal Article","fieldsOfStudy":null,"isOpenAccess":false,"openAccessPdf":"https://www.ncbi.nlm.nih.gov/pmc/articles/PMC11930051/pdf/","citationCount":"0","resultStr":null,"platform":"Semanticscholar","paperid":null,"PeriodicalName":"JNMA; journal of the Nepal Medical Association","FirstCategoryId":"1085","ListUrlMain":"https://doi.org/10.31729/jnma.8835","RegionNum":0,"RegionCategory":null,"ArticlePicture":[],"TitleCN":null,"AbstractTextCN":null,"PMCID":null,"EPubDate":"2024/12/31 0:00:00","PubModel":"Epub","JCR":"","JCRName":"","Score":null,"Total":0}
引用次数: 0

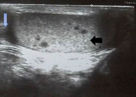
Abstract

Extrapulmonary tuberculosis constitutes about 20% of all cases of tuberculosis. It involves organs other than the lungs, such as lymph nodes, the genitourinary tract, abdomen, skin, joints and bones, and meninges. Tuberculosis of the testis is a rare disease. The diagnosis of testicular tuberculosis could be confused with testicular cancer, sarcoidosis or metastases. Herein, we describe the ultrasonography of five patients with testicular tuberculosis. This case series highlights the importance of ultrasonography in the diagnosis of rare form of extra pulmonary tuberculosis.

Abstract Image

Abstract Image

Abstract Image

尼泊尔患者睾丸结核的超声检查结果:一个病例系列。
肺外结核约占所有结核病例的20%。它涉及肺以外的器官,如淋巴结、泌尿生殖道、腹部、皮肤、关节和骨骼以及脑膜。睾丸结核是一种罕见的疾病。睾丸结核的诊断可能与睾丸癌、结节病或转移相混淆。本文报告5例睾丸结核患者的超声检查结果。本病例系列强调超声检查在诊断罕见的肺外结核中的重要性。
本文章由计算机程序翻译,如有差异,请以英文原文为准。
求助全文
约1分钟内获得全文 求助全文
来源期刊
自引率
0.00%
发文量
0
×
引用
GB/T 7714-2015
复制
MLA
复制
APA
复制
导出至
BibTeX EndNote RefMan NoteFirst NoteExpress
×
提示
您的信息不完整,为了账户安全,请先补充。
现在去补充
×
提示
您因"违规操作"
具体请查看互助需知
我知道了
×
提示
确定
请完成安全验证×
copy
已复制链接
快去分享给好友吧!
我知道了
右上角分享
点击右上角分享
0
联系我们:info@booksci.cn Book学术提供免费学术资源搜索服务,方便国内外学者检索中英文文献。致力于提供最便捷和优质的服务体验。 Copyright © 2023 布克学术 All rights reserved.
京ICP备2023020795号-1
ghs 京公网安备 11010802042870号
Book学术文献互助
Book学术文献互助群
群 号:604180095
Book学术官方微信