Odontogenic Keratocyst, Orthokeratinized Odontogenic Cyst and Epidermoid Cyst - an Immunohistochemical Comparison.

IF 1.8 Q3 DENTISTRY, ORAL SURGERY & MEDICINE
Luka Manojlović, Matija Mamić, Karolina Krstanac, Sven Seiwerth, Spomenka Manojlović
{"title":"Odontogenic Keratocyst, Orthokeratinized Odontogenic Cyst and Epidermoid Cyst - an Immunohistochemical Comparison.","authors":"Luka Manojlović, Matija Mamić, Karolina Krstanac, Sven Seiwerth, Spomenka Manojlović","doi":"10.15644/asc59/2/7","DOIUrl":null,"url":null,"abstract":"<p><strong>Objectives: </strong>There are two types of keratinized cystic lesions arising in the jaw - developmental cysts of odontogenic origin (odontogenic keratocyst - OKC and orthokeratinized odontogenic cyst - OOC) and epidermoid cyst (EC) of undetermined origin. These lesions have overlapping histopathological features and their treatment depends on the correct diagnosis. The aim of our study was to determine diagnostically relevant differences between these cysts and to establish criteria for diagnosing intraosseous EC.</p><p><strong>Materials and methods: </strong>An immunohistochemical analysis comprised of various cytokeratins, carcinoembryonic antigen (CEA), epithelial membrane antigen (EMA), epithelial cell adhesion molecules family member BerEP4, apoptosis-related markers bcl-2 and calretinin, stem cell marker CD44, tumor suppressor gene p63 and proliferation activity marker Ki-67 was performed on 25 OKCs, 8 OOCs and 11 ECs.</p><p><strong>Results: </strong>CK5/6 was positive in all layers of both OKCs and OOCs, but only in the basal layer of all ECs. CK8/18 and CK19 revealed strong basal and suprabasal positivity in all OKCs, weak basal positivity in OOCs, and negative expression in all ECs. BerEP4 and Bcl-2 revealed positivity in all OKCs while being negative in OOCs and ECs.</p><p><strong>Conclusions: </strong>The results of our study suggest that BerEP4 and Bcl-2 positivity may be useful in distinguishing between OKCs and the other keratinized jaw cysts. Orthokeratinized lesions within the jaw should be defined as OOCs, while intraosseal EC should be diagnosed only if immunohistochemical staining points to ectodermal origin, thus suggesting congenital or post-traumatic inclusion of the oral epithelium.</p>","PeriodicalId":7154,"journal":{"name":"Acta Stomatologica Croatica","volume":"59 2","pages":"179-189"},"PeriodicalIF":1.8000,"publicationDate":"2025-06-01","publicationTypes":"Journal Article","fieldsOfStudy":null,"isOpenAccess":false,"openAccessPdf":"https://www.ncbi.nlm.nih.gov/pmc/articles/PMC12239640/pdf/","citationCount":"0","resultStr":null,"platform":"Semanticscholar","paperid":null,"PeriodicalName":"Acta Stomatologica Croatica","FirstCategoryId":"1085","ListUrlMain":"https://doi.org/10.15644/asc59/2/7","RegionNum":0,"RegionCategory":null,"ArticlePicture":[],"TitleCN":null,"AbstractTextCN":null,"PMCID":null,"EPubDate":"","PubModel":"","JCR":"Q3","JCRName":"DENTISTRY, ORAL SURGERY & MEDICINE","Score":null,"Total":0}
引用次数: 0

Abstract

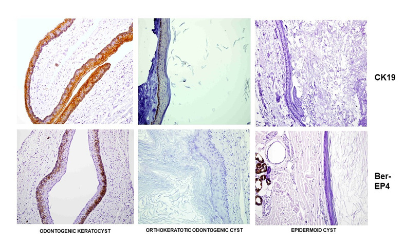
Objectives: There are two types of keratinized cystic lesions arising in the jaw - developmental cysts of odontogenic origin (odontogenic keratocyst - OKC and orthokeratinized odontogenic cyst - OOC) and epidermoid cyst (EC) of undetermined origin. These lesions have overlapping histopathological features and their treatment depends on the correct diagnosis. The aim of our study was to determine diagnostically relevant differences between these cysts and to establish criteria for diagnosing intraosseous EC.

Materials and methods: An immunohistochemical analysis comprised of various cytokeratins, carcinoembryonic antigen (CEA), epithelial membrane antigen (EMA), epithelial cell adhesion molecules family member BerEP4, apoptosis-related markers bcl-2 and calretinin, stem cell marker CD44, tumor suppressor gene p63 and proliferation activity marker Ki-67 was performed on 25 OKCs, 8 OOCs and 11 ECs.

Results: CK5/6 was positive in all layers of both OKCs and OOCs, but only in the basal layer of all ECs. CK8/18 and CK19 revealed strong basal and suprabasal positivity in all OKCs, weak basal positivity in OOCs, and negative expression in all ECs. BerEP4 and Bcl-2 revealed positivity in all OKCs while being negative in OOCs and ECs.

Conclusions: The results of our study suggest that BerEP4 and Bcl-2 positivity may be useful in distinguishing between OKCs and the other keratinized jaw cysts. Orthokeratinized lesions within the jaw should be defined as OOCs, while intraosseal EC should be diagnosed only if immunohistochemical staining points to ectodermal origin, thus suggesting congenital or post-traumatic inclusion of the oral epithelium.

Abstract Image

Abstract Image

Abstract Image

牙源性角化囊肿、矫形角化牙源性囊肿和表皮样囊肿的免疫组化比较。
目的:在颌骨中出现两种类型的角化囊性病变——牙源性发育性囊肿(牙源性角化囊肿- OKC和牙源性正形角化囊肿- OOC)和来源不明的表皮样囊肿(EC)。这些病变具有重叠的组织病理学特征,其治疗取决于正确的诊断。我们研究的目的是确定这些囊肿之间的诊断相关差异,并建立诊断骨内囊肿的标准。材料和方法:对25例OKCs、8例OOCs和11例ECs进行了免疫组化分析,包括各种细胞角蛋白、癌胚抗原(CEA)、上皮膜抗原(EMA)、上皮细胞粘附分子家族成员BerEP4、凋亡相关标志物bcl-2和calretinin、干细胞标志物CD44、肿瘤抑制基因p63和增殖活性标志物Ki-67。结果:CK5/6在OKCs和OOCs的所有层均呈阳性,但仅在所有eccs的基底层呈阳性。CK8/18和CK19在所有OKCs中呈强烈的基础和基础上阳性,在OOCs中呈弱基础阳性,在所有eccs中呈阴性表达。BerEP4和Bcl-2在所有OKCs中呈阳性,而在OOCs和eccs中呈阴性。结论:我们的研究结果表明,BerEP4和Bcl-2阳性可能有助于区分OKCs和其他角化颌骨囊肿。颌骨内的正角化病变应被定义为OOCs,而骨内EC只有在免疫组织化学染色指向外胚层起源时才应被诊断,从而提示先天性或创伤后口腔上皮包涵。
本文章由计算机程序翻译,如有差异,请以英文原文为准。
求助全文
约1分钟内获得全文 求助全文
来源期刊
Acta Stomatologica Croatica
Acta Stomatologica Croatica DENTISTRY, ORAL SURGERY & MEDICINE-
CiteScore
2.40
自引率
28.60%
发文量
32
审稿时长
12 weeks
期刊介绍: The Acta Stomatologica Croatica (ASCRO) is a leading scientific non-profit journal in the field of dental, oral and cranio-facial sciences during the past 44 years in Croatia. ASCRO publishes original scientific and clinical papers, preliminary communications, case reports, book reviews, letters to the editor and news. Review articles are published by invitation from the Editor-in-Chief by acclaimed professionals in distinct fields of dental medicine. All manuscripts are subjected to peer review process.
×
引用
GB/T 7714-2015
复制
MLA
复制
APA
复制
导出至
BibTeX EndNote RefMan NoteFirst NoteExpress
×
提示
您的信息不完整,为了账户安全,请先补充。
现在去补充
×
提示
您因"违规操作"
具体请查看互助需知
我知道了
×
提示
确定
请完成安全验证×
copy
已复制链接
快去分享给好友吧!
我知道了
右上角分享
点击右上角分享
0
联系我们:info@booksci.cn Book学术提供免费学术资源搜索服务,方便国内外学者检索中英文文献。致力于提供最便捷和优质的服务体验。 Copyright © 2023 布克学术 All rights reserved.
京ICP备2023020795号-1
ghs 京公网安备 11010802042870号
Book学术文献互助
Book学术文献互助群
群 号:604180095
Book学术官方微信