Connecting the dots: Exploring bronchocentric granulomatosis in paediatric leukaemia.

IF 0.5 Q4 RADIOLOGY, NUCLEAR MEDICINE & MEDICAL IMAGING
BJR Case Reports Pub Date : 2025-07-07 eCollection Date: 2025-07-01 DOI:10.1093/bjrcr/uaaf033
Tanvi Pendse, Priscilla Joshi, Rucha Puranik, Divya Patel
{"title":"Connecting the dots: Exploring bronchocentric granulomatosis in paediatric leukaemia.","authors":"Tanvi Pendse, Priscilla Joshi, Rucha Puranik, Divya Patel","doi":"10.1093/bjrcr/uaaf033","DOIUrl":null,"url":null,"abstract":"<p><p>Bronchocentric granulomatosis is a rare form of granulomatous disease characterized by peribronchiolar or peribronchial necrotizing granulomas.<sup>1</sup> The imaging findings are non-specific and include nodular or mass-like lesions and pneumonic consolidation.<sup>2</sup> We present a case of bronchocentric granulomatosis in a patient with Pre-B-cell acute lymphoblastic leukaemia. The aim of the case report is to make the radiologist aware of this condition and emphasize the importance of multimodality approach which along with clinical findings helps in reaching a diagnosis and managing this rare complication.</p>","PeriodicalId":45216,"journal":{"name":"BJR Case Reports","volume":"11 4","pages":"uaaf033"},"PeriodicalIF":0.5000,"publicationDate":"2025-07-07","publicationTypes":"Journal Article","fieldsOfStudy":null,"isOpenAccess":false,"openAccessPdf":"https://www.ncbi.nlm.nih.gov/pmc/articles/PMC12240466/pdf/","citationCount":"0","resultStr":null,"platform":"Semanticscholar","paperid":null,"PeriodicalName":"BJR Case Reports","FirstCategoryId":"1085","ListUrlMain":"https://doi.org/10.1093/bjrcr/uaaf033","RegionNum":0,"RegionCategory":null,"ArticlePicture":[],"TitleCN":null,"AbstractTextCN":null,"PMCID":null,"EPubDate":"2025/7/1 0:00:00","PubModel":"eCollection","JCR":"Q4","JCRName":"RADIOLOGY, NUCLEAR MEDICINE & MEDICAL IMAGING","Score":null,"Total":0}
引用次数: 0

Abstract

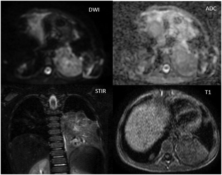
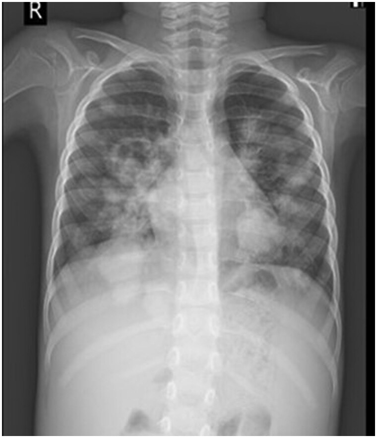
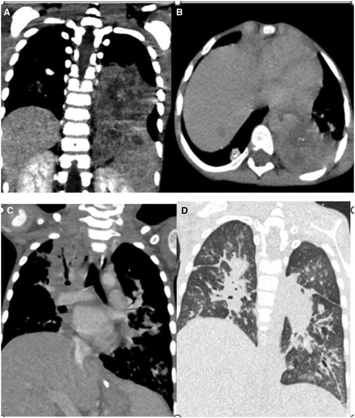
Bronchocentric granulomatosis is a rare form of granulomatous disease characterized by peribronchiolar or peribronchial necrotizing granulomas.1 The imaging findings are non-specific and include nodular or mass-like lesions and pneumonic consolidation.2 We present a case of bronchocentric granulomatosis in a patient with Pre-B-cell acute lymphoblastic leukaemia. The aim of the case report is to make the radiologist aware of this condition and emphasize the importance of multimodality approach which along with clinical findings helps in reaching a diagnosis and managing this rare complication.

Abstract Image

Abstract Image

Abstract Image

连接点:探讨支气管中心性肉芽肿病在儿科白血病。
支气管中心性肉芽肿病是一种罕见的肉芽肿疾病,以细支气管周围或支气管周围坏死性肉芽肿为特征影像学表现无特异性,包括结节或肿块样病变和肺实变我们报告一例支气管中心性肉芽肿病的病人与前b细胞急性淋巴细胞白血病。病例报告的目的是使放射科医生意识到这种情况,并强调多模式方法的重要性,这种方法与临床发现一起有助于达到诊断和管理这种罕见的并发症。
本文章由计算机程序翻译,如有差异,请以英文原文为准。
求助全文
约1分钟内获得全文 求助全文
来源期刊
BJR Case Reports
BJR Case Reports RADIOLOGY, NUCLEAR MEDICINE & MEDICAL IMAGING-
自引率
0.00%
发文量
77
审稿时长
11 weeks
×
引用
GB/T 7714-2015
复制
MLA
复制
APA
复制
导出至
BibTeX EndNote RefMan NoteFirst NoteExpress
×
提示
您的信息不完整,为了账户安全,请先补充。
现在去补充
×
提示
您因"违规操作"
具体请查看互助需知
我知道了
×
提示
确定
请完成安全验证×
copy
已复制链接
快去分享给好友吧!
我知道了
右上角分享
点击右上角分享
0
联系我们:info@booksci.cn Book学术提供免费学术资源搜索服务,方便国内外学者检索中英文文献。致力于提供最便捷和优质的服务体验。 Copyright © 2023 布克学术 All rights reserved.
京ICP备2023020795号-1
ghs 京公网安备 11010802042870号
Book学术文献互助
Book学术文献互助群
群 号:604180095
Book学术官方微信