Posterior Reversible Encephalopathy Syndrome Leading to Diagnosis of Acute Postinfectious Glomerulonephritis in a Pediatric Patient: A Case Report.

IF 0.5 Q4 PEDIATRICS
Case Reports in Pediatrics Pub Date : 2025-07-02 eCollection Date: 2025-01-01 DOI:10.1155/crpe/9946572
Samuel B Hayworth, Desalyn L Johnson, Erinn O Schmit
{"title":"Posterior Reversible Encephalopathy Syndrome Leading to Diagnosis of Acute Postinfectious Glomerulonephritis in a Pediatric Patient: A Case Report.","authors":"Samuel B Hayworth, Desalyn L Johnson, Erinn O Schmit","doi":"10.1155/crpe/9946572","DOIUrl":null,"url":null,"abstract":"<p><p><b>History:</b> An 8-year-old previously healthy female presented to the emergency department after new-onset seizure activity. Three days prior, she experienced severe headaches and rash over her left lower extremity. She developed nonbilious, nonbloody emesis on the day prior to admission. The morning of presentation, she was found unresponsive, exhibiting right gaze deviation and clenched jaw concerning for seizure activity. Further history revealed recent Group A streptococcal pharyngitis, which had been treated with a 10-day regimen of amoxicillin. During this time, her mother reported decreased oral intake but normal urinary output, without dysuria or hematuria. <b>Physical Examination:</b> Vital signs were notable for temperature of 101.7 degrees Fahrenheit, heart rate of 100 beats per minute, blood pressure of 167/97, respiratory rate of 28, and oxygen saturation of 96% on room air. The patient was drowsy but arousable. Her neck was supple without evidence of meningismus. A skin exam revealed an erythematous, crusting rash, resembling contact dermatitis on the left lower extremity below the knee. The patient was somnolent but oriented to self and able to follow simple commands. Cranial nerves II-XII were intact bilaterally. Sensory, motor, and coordination were unremarkable. <b>Laboratory, Imaging, and Procedures:</b> Laboratory findings included leukocytosis, microscopic hematuria, decreased C3 and C4 levels, and positive antistreptolysin O (ASO) titers. A lumbar puncture was conducted with unremarkable cerebrospinal fluid (CSF) indices. Imaging revealed hypoattenuation in the occipital lobes on computed tomography (CT) venogram and hyperintensities in bilateral occipital lobes on magnetic resonance imaging (MRI) T2 fluid-attenuated inversion recovery (FLAIR) sequences, consistent with posterior reversible encephalopathy syndrome (PRES). <b>Discussion:</b> PRES in pediatric patients has been associated with a variety of conditions including hypertension (idiopathic or secondary), renal disorders, autoimmune disorders, and hematologic or oncologic conditions. However, PRES secondary to acute postinfectious glomerulonephritis (PIGN) is rare. Hematuria on the urinalysis led to obtaining complement levels, and further elucidation of history helped to narrow the differential to PIGN due to streptococcal infection with confirmatory positive ASO antibody titer. This case highlights a rare sequala of a commonly seen pediatric infection.</p>","PeriodicalId":9623,"journal":{"name":"Case Reports in Pediatrics","volume":"2025 ","pages":"9946572"},"PeriodicalIF":0.5000,"publicationDate":"2025-07-02","publicationTypes":"Journal Article","fieldsOfStudy":null,"isOpenAccess":false,"openAccessPdf":"https://www.ncbi.nlm.nih.gov/pmc/articles/PMC12240652/pdf/","citationCount":"0","resultStr":null,"platform":"Semanticscholar","paperid":null,"PeriodicalName":"Case Reports in Pediatrics","FirstCategoryId":"1085","ListUrlMain":"https://doi.org/10.1155/crpe/9946572","RegionNum":0,"RegionCategory":null,"ArticlePicture":[],"TitleCN":null,"AbstractTextCN":null,"PMCID":null,"EPubDate":"2025/1/1 0:00:00","PubModel":"eCollection","JCR":"Q4","JCRName":"PEDIATRICS","Score":null,"Total":0}
引用次数: 0

Abstract

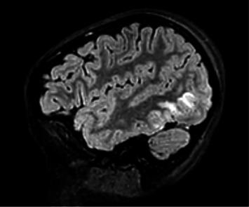
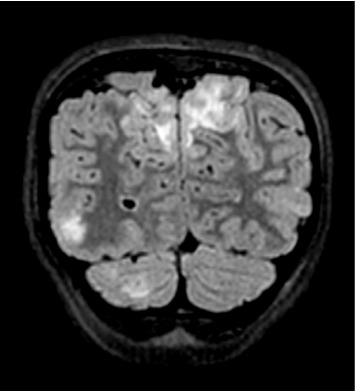
History: An 8-year-old previously healthy female presented to the emergency department after new-onset seizure activity. Three days prior, she experienced severe headaches and rash over her left lower extremity. She developed nonbilious, nonbloody emesis on the day prior to admission. The morning of presentation, she was found unresponsive, exhibiting right gaze deviation and clenched jaw concerning for seizure activity. Further history revealed recent Group A streptococcal pharyngitis, which had been treated with a 10-day regimen of amoxicillin. During this time, her mother reported decreased oral intake but normal urinary output, without dysuria or hematuria. Physical Examination: Vital signs were notable for temperature of 101.7 degrees Fahrenheit, heart rate of 100 beats per minute, blood pressure of 167/97, respiratory rate of 28, and oxygen saturation of 96% on room air. The patient was drowsy but arousable. Her neck was supple without evidence of meningismus. A skin exam revealed an erythematous, crusting rash, resembling contact dermatitis on the left lower extremity below the knee. The patient was somnolent but oriented to self and able to follow simple commands. Cranial nerves II-XII were intact bilaterally. Sensory, motor, and coordination were unremarkable. Laboratory, Imaging, and Procedures: Laboratory findings included leukocytosis, microscopic hematuria, decreased C3 and C4 levels, and positive antistreptolysin O (ASO) titers. A lumbar puncture was conducted with unremarkable cerebrospinal fluid (CSF) indices. Imaging revealed hypoattenuation in the occipital lobes on computed tomography (CT) venogram and hyperintensities in bilateral occipital lobes on magnetic resonance imaging (MRI) T2 fluid-attenuated inversion recovery (FLAIR) sequences, consistent with posterior reversible encephalopathy syndrome (PRES). Discussion: PRES in pediatric patients has been associated with a variety of conditions including hypertension (idiopathic or secondary), renal disorders, autoimmune disorders, and hematologic or oncologic conditions. However, PRES secondary to acute postinfectious glomerulonephritis (PIGN) is rare. Hematuria on the urinalysis led to obtaining complement levels, and further elucidation of history helped to narrow the differential to PIGN due to streptococcal infection with confirmatory positive ASO antibody titer. This case highlights a rare sequala of a commonly seen pediatric infection.

Abstract Image

Abstract Image

后可逆脑病综合征导致急性感染后肾小球肾炎的儿科患者的诊断:一个病例报告。
病史:一名8岁健康女性,新发癫痫发作后就诊于急诊科。三天前,她经历了严重的头痛和左下肢皮疹。入院前一天出现无胆汁、无血性呕吐。在就诊当天上午,患者发现无反应,表现为右眼偏斜和下颌紧咬,可能有癫痫发作。进一步的病史显示最近的A群链球菌性咽炎,曾用10天阿莫西林治疗。在此期间,她的母亲报告口服摄入量减少,但尿量正常,无排尿困难或血尿。体格检查:生命体征明显,体温101.7华氏度,心率100次/分,血压167/97,呼吸率28,室内空气氧饱和度96%。病人昏昏欲睡,但能清醒过来。她的脖子柔软,没有脑膜的痕迹。皮肤检查显示左下肢膝盖以下有红斑、结痂性皮疹,类似接触性皮炎。患者有睡意,但以自我为导向,能够遵循简单的命令。双侧脑神经II-XII完整。感觉、运动和协调能力无显著差异。实验室,影像学和检查:实验室结果包括白细胞增多,显微镜下血尿,C3和C4水平降低,抗溶血素O (ASO)滴度阳性。腰椎穿刺,脑脊液(CSF)指数无明显变化。CT静脉图显示枕叶低衰减,磁共振成像(MRI) T2液体衰减反转恢复(FLAIR)序列显示双侧枕叶高强度,符合后可逆脑病综合征(PRES)。讨论:儿童患者的PRES与多种疾病相关,包括高血压(特发性或继发性)、肾脏疾病、自身免疫性疾病、血液学或肿瘤学疾病。然而,继发于急性感染后肾小球肾炎(PIGN)的PRES是罕见的。尿检血尿可获得补体水平,进一步阐明病史有助于缩小与链球菌感染(ASO抗体效价证实阳性)引起的PIGN的差异。本病例突出了一种常见的儿科感染的罕见后遗症。
本文章由计算机程序翻译,如有差异,请以英文原文为准。
求助全文
约1分钟内获得全文 求助全文
来源期刊
自引率
11.10%
发文量
48
审稿时长
13 weeks
×
引用
GB/T 7714-2015
复制
MLA
复制
APA
复制
导出至
BibTeX EndNote RefMan NoteFirst NoteExpress
×
提示
您的信息不完整,为了账户安全,请先补充。
现在去补充
×
提示
您因"违规操作"
具体请查看互助需知
我知道了
×
提示
确定
请完成安全验证×
copy
已复制链接
快去分享给好友吧!
我知道了
右上角分享
点击右上角分享
0
联系我们:info@booksci.cn Book学术提供免费学术资源搜索服务,方便国内外学者检索中英文文献。致力于提供最便捷和优质的服务体验。 Copyright © 2023 布克学术 All rights reserved.
京ICP备2023020795号-1
ghs 京公网安备 11010802042870号
Book学术文献互助
Book学术文献互助群
群 号:604180095
Book学术官方微信