Addressing chronic wasting disease in Korean farms: topsoil removal and 2N NaOH treatment before cervid restocking.

IF 1.6 3区 生物学 Q4 BIOCHEMISTRY & MOLECULAR BIOLOGY
Prion Pub Date : 2025-12-01 Epub Date: 2025-07-08 DOI:10.1080/19336896.2025.2527588
Kyung-Je Park, Hoo-Chang Park, Yu-Ran Lee, In-Soon Roh, Gordon Mitchell, Young Pyo Choi, Hyun-Joo Sohn
{"title":"Addressing chronic wasting disease in Korean farms: topsoil removal and 2N NaOH treatment before cervid restocking.","authors":"Kyung-Je Park, Hoo-Chang Park, Yu-Ran Lee, In-Soon Roh, Gordon Mitchell, Young Pyo Choi, Hyun-Joo Sohn","doi":"10.1080/19336896.2025.2527588","DOIUrl":null,"url":null,"abstract":"<p><p>Chronic wasting disease (CWD) is a highly contagious prion disease occurring in free-ranging and farmed cervids. In the Republic of Korea, cases of CWD continue to be detected almost annually, on both new and occasionally previously infected farms. CWD-infected animals contaminate soil and other environmental components by shedding prions through their excreta. Since shed prions remain infectious for years in the environment, they can act as infectivity reservoirs facilitating horizontal transmission of CWD. To prevent the further spread of CWD and allow farms to resume operations, control measures on infected farms, including topsoil removal and thorough environmental treatment with 2N NaOH, have been implemented in the Republic of Korea. Restocking remediated farms with cervids was permitted after confirming the absence of prion seeding activity in soil samples using protein misfolding cyclic amplification (PMCA). A total of 215 samples from 18 remediated farms were collected and analysed using PMCA, with only 3 samples from 3 farms displaying prion seeding activity. While the disease control measures effectively eliminated prion seeding activity in CWD-affected farms, CWD recurred at two of the 18 remediated farms 4 to 5 years after restocking animals. It remains unclear whether the recurrence of CWD at the two farms was due to residual prions in the environment after the control measures, or the introduction of the infected animals from other farms. This uncertainty is heightened by the annual occurrence of CWD at multiple farms and the absence of a traceability system for farmed cervids.</p>","PeriodicalId":54585,"journal":{"name":"Prion","volume":"19 1","pages":"20-27"},"PeriodicalIF":1.6000,"publicationDate":"2025-12-01","publicationTypes":"Journal Article","fieldsOfStudy":null,"isOpenAccess":false,"openAccessPdf":"https://www.ncbi.nlm.nih.gov/pmc/articles/PMC12239807/pdf/","citationCount":"0","resultStr":null,"platform":"Semanticscholar","paperid":null,"PeriodicalName":"Prion","FirstCategoryId":"99","ListUrlMain":"https://doi.org/10.1080/19336896.2025.2527588","RegionNum":3,"RegionCategory":"生物学","ArticlePicture":[],"TitleCN":null,"AbstractTextCN":null,"PMCID":null,"EPubDate":"2025/7/8 0:00:00","PubModel":"Epub","JCR":"Q4","JCRName":"BIOCHEMISTRY & MOLECULAR BIOLOGY","Score":null,"Total":0}
引用次数: 0

Abstract

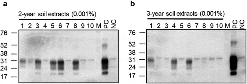
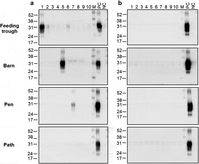
Chronic wasting disease (CWD) is a highly contagious prion disease occurring in free-ranging and farmed cervids. In the Republic of Korea, cases of CWD continue to be detected almost annually, on both new and occasionally previously infected farms. CWD-infected animals contaminate soil and other environmental components by shedding prions through their excreta. Since shed prions remain infectious for years in the environment, they can act as infectivity reservoirs facilitating horizontal transmission of CWD. To prevent the further spread of CWD and allow farms to resume operations, control measures on infected farms, including topsoil removal and thorough environmental treatment with 2N NaOH, have been implemented in the Republic of Korea. Restocking remediated farms with cervids was permitted after confirming the absence of prion seeding activity in soil samples using protein misfolding cyclic amplification (PMCA). A total of 215 samples from 18 remediated farms were collected and analysed using PMCA, with only 3 samples from 3 farms displaying prion seeding activity. While the disease control measures effectively eliminated prion seeding activity in CWD-affected farms, CWD recurred at two of the 18 remediated farms 4 to 5 years after restocking animals. It remains unclear whether the recurrence of CWD at the two farms was due to residual prions in the environment after the control measures, or the introduction of the infected animals from other farms. This uncertainty is heightened by the annual occurrence of CWD at multiple farms and the absence of a traceability system for farmed cervids.

Abstract Image

Abstract Image

解决韩国农场的慢性消瘦病:在养鱼前去除表土和2N NaOH处理。
慢性消耗性疾病(CWD)是一种高度传染性的朊病毒疾病,发生在散养和养殖的猪中。在大韩民国,几乎每年都继续在新的和偶尔感染过的农场中发现CWD病例。感染cwd的动物通过排泄物排出朊病毒,污染土壤和其他环境成分。由于脱落朊病毒在环境中保持多年的传染性,它们可以作为传染性宿主,促进CWD的水平传播。为防止CWD进一步蔓延并使养殖场恢复生产,韩国对受感染的养殖场采取了控制措施,包括清除表土和用2N NaOH进行彻底的环境处理。在使用蛋白质错误折叠循环扩增(PMCA)确认土壤样品中没有朊病毒播种活性后,允许在修复农场重新放养cerves。使用PMCA对18个修复农场的215份样本进行了收集和分析,其中3个农场的3份样本显示有朊病毒播种活性。虽然疾病控制措施有效地消除了受CWD影响的农场的朊病毒播种量,但在18个修复的农场中,有两个在放养动物4至5年后再次出现CWD。目前尚不清楚这两个农场的CWD复发是由于采取控制措施后环境中残留了朊病毒,还是由于从其他农场引进了受感染的动物。每年在多个养殖场发生的CWD以及缺乏养殖提供者的可追溯系统加剧了这种不确定性。
本文章由计算机程序翻译,如有差异,请以英文原文为准。
求助全文
约1分钟内获得全文 求助全文
来源期刊
Prion
Prion 生物-生化与分子生物学
CiteScore
5.20
自引率
4.30%
发文量
13
审稿时长
6-12 weeks
期刊介绍: Prion is the first international peer-reviewed open access journal to focus exclusively on protein folding and misfolding, protein assembly disorders, protein-based and structural inheritance. The goal is to foster communication and rapid exchange of information through timely publication of important results using traditional as well as electronic formats. The overriding criteria for publication in Prion are originality, scientific merit and general interest.
×
引用
GB/T 7714-2015
复制
MLA
复制
APA
复制
导出至
BibTeX EndNote RefMan NoteFirst NoteExpress
×
提示
您的信息不完整,为了账户安全,请先补充。
现在去补充
×
提示
您因"违规操作"
具体请查看互助需知
我知道了
×
提示
确定
请完成安全验证×
copy
已复制链接
快去分享给好友吧!
我知道了
右上角分享
点击右上角分享
0
联系我们:info@booksci.cn Book学术提供免费学术资源搜索服务,方便国内外学者检索中英文文献。致力于提供最便捷和优质的服务体验。 Copyright © 2023 布克学术 All rights reserved.
京ICP备2023020795号-1
ghs 京公网安备 11010802042870号
Book学术文献互助
Book学术文献互助群
群 号:604180095
Book学术官方微信