Single center experience with a novel single-branched thoracic stent graft.

IF 1.5 Q3 CARDIAC & CARDIOVASCULAR SYSTEMS
Theodoros Kratimenos, Dimitra Tachmetzidi Papoutsi, Panagiotis Petaloudis, Nefeli Ntinou, Myrto Papadopoulou, Vasileios Panou, Evaggelia Kalaitzidou, Dimitrios Tomais, Ilias Samiotis, Loukia Alexopoulou-Prounia, Panagiotis Dedeilias, Mihalis Argiriou
{"title":"Single center experience with a novel single-branched thoracic stent graft.","authors":"Theodoros Kratimenos, Dimitra Tachmetzidi Papoutsi, Panagiotis Petaloudis, Nefeli Ntinou, Myrto Papadopoulou, Vasileios Panou, Evaggelia Kalaitzidou, Dimitrios Tomais, Ilias Samiotis, Loukia Alexopoulou-Prounia, Panagiotis Dedeilias, Mihalis Argiriou","doi":"10.1186/s42155-025-00545-y","DOIUrl":null,"url":null,"abstract":"<p><strong>Background: </strong>Thoracic endovascular aortic repair (TEVAR) has been a feasible treatment option since the first stent graft was approved by the FDA in 2005, and is now the recommended method for treating most descending aorta pathology in the current clinical practice guidelines. Indications for TEVAR include descending aorta aneurysms, traumatic aortic injury and pathology that presents as acute aortic syndrome. More often than not the lesion that needs to be excluded is quite close or contains the distal aortic arch, thus requiring the coverage of the left subclavian artery (LSA) origin, a practice that has been associated with severe complications. Contraindications to LSA coverage resulted in the development of various surgical and endovascular LSA revascularization techniques.</p><p><strong>Materials and methods: </strong>Branched stent grafts containing a single branch for the LSA are a rapidly evolving technology regarding LSA reconstruction during TEVAR. The aim of this article is to demonstrate our center's experience using a novel off-the-shelf single-branched stent graft, the GORE® TAG® Thoracic Branch Endoprosthesis (TBE) (W. L. Gore & Associates, Inc, Flagstaff, Ariz, USA). The GORE® TAG® TBE is commercially available in Europe since early 2024. We have so far, since February 2024, treated 12 patients using this endograft, successfully treating all types of aortic lesions.</p><p><strong>Conclusions: </strong>Branched TEVAR is becoming a feasible option for treating descending aorta pathology, without covering the LSA. Moreover, the development of off-the-shelf branched stent grafts, enables physicians to treat patients in the emergency setting, aside from planned procedures.</p>","PeriodicalId":52351,"journal":{"name":"CVIR Endovascular","volume":"8 1","pages":"57"},"PeriodicalIF":1.5000,"publicationDate":"2025-07-08","publicationTypes":"Journal Article","fieldsOfStudy":null,"isOpenAccess":false,"openAccessPdf":"https://www.ncbi.nlm.nih.gov/pmc/articles/PMC12237835/pdf/","citationCount":"0","resultStr":null,"platform":"Semanticscholar","paperid":null,"PeriodicalName":"CVIR Endovascular","FirstCategoryId":"1085","ListUrlMain":"https://doi.org/10.1186/s42155-025-00545-y","RegionNum":0,"RegionCategory":null,"ArticlePicture":[],"TitleCN":null,"AbstractTextCN":null,"PMCID":null,"EPubDate":"","PubModel":"","JCR":"Q3","JCRName":"CARDIAC & CARDIOVASCULAR SYSTEMS","Score":null,"Total":0}
引用次数: 0

Abstract

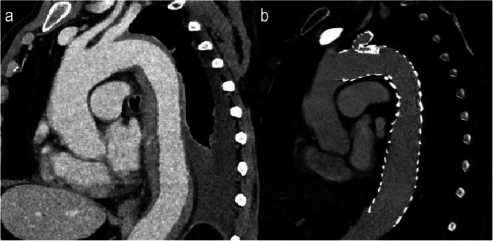
Background: Thoracic endovascular aortic repair (TEVAR) has been a feasible treatment option since the first stent graft was approved by the FDA in 2005, and is now the recommended method for treating most descending aorta pathology in the current clinical practice guidelines. Indications for TEVAR include descending aorta aneurysms, traumatic aortic injury and pathology that presents as acute aortic syndrome. More often than not the lesion that needs to be excluded is quite close or contains the distal aortic arch, thus requiring the coverage of the left subclavian artery (LSA) origin, a practice that has been associated with severe complications. Contraindications to LSA coverage resulted in the development of various surgical and endovascular LSA revascularization techniques.

Materials and methods: Branched stent grafts containing a single branch for the LSA are a rapidly evolving technology regarding LSA reconstruction during TEVAR. The aim of this article is to demonstrate our center's experience using a novel off-the-shelf single-branched stent graft, the GORE® TAG® Thoracic Branch Endoprosthesis (TBE) (W. L. Gore & Associates, Inc, Flagstaff, Ariz, USA). The GORE® TAG® TBE is commercially available in Europe since early 2024. We have so far, since February 2024, treated 12 patients using this endograft, successfully treating all types of aortic lesions.

Conclusions: Branched TEVAR is becoming a feasible option for treating descending aorta pathology, without covering the LSA. Moreover, the development of off-the-shelf branched stent grafts, enables physicians to treat patients in the emergency setting, aside from planned procedures.

Abstract Image

Abstract Image

Abstract Image

新型单支胸腔支架单中心移植的经验。
背景:自2005年FDA批准首个支架植入术以来,胸腔血管内主动脉修复(TEVAR)一直是一种可行的治疗选择,目前在当前的临床实践指南中,TEVAR是治疗大多数降主动脉病理的推荐方法。TEVAR的适应症包括降主动脉动脉瘤、外伤性主动脉损伤和表现为急性主动脉综合征的病理。通常情况下,需要排除的病变非常接近或包含主动脉弓远端,因此需要覆盖左锁骨下动脉(LSA)起源,这种做法与严重的并发症有关。LSA覆盖的禁忌症导致了各种手术和血管内LSA重建术的发展。材料和方法:支状支架包含一个单一的LSA分支,是一项快速发展的技术,用于TEVAR期间的LSA重建。本文的目的是展示我们中心使用一种新型的现成的单支支架移植物GORE®TAG®胸椎分支内假体(TBE) (W. L. GORE & Associates, Inc, Flagstaff, Ariz, USA)的经验。GORE®TAG®TBE于2024年初在欧洲上市。自2024年2月以来,我们已经使用这种内移植物治疗了12名患者,成功治疗了所有类型的主动脉病变。结论:分支TEVAR正在成为治疗降主动脉病理的可行选择,而无需覆盖LSA。此外,现成的支状支架移植的发展,使医生能够在紧急情况下治疗病人,除了计划的程序。
本文章由计算机程序翻译,如有差异,请以英文原文为准。
求助全文
约1分钟内获得全文 求助全文
来源期刊
CVIR Endovascular
CVIR Endovascular Medicine-Radiology, Nuclear Medicine and Imaging
CiteScore
2.30
自引率
0.00%
发文量
59
×
引用
GB/T 7714-2015
复制
MLA
复制
APA
复制
导出至
BibTeX EndNote RefMan NoteFirst NoteExpress
×
提示
您的信息不完整,为了账户安全,请先补充。
现在去补充
×
提示
您因"违规操作"
具体请查看互助需知
我知道了
×
提示
确定
请完成安全验证×
copy
已复制链接
快去分享给好友吧!
我知道了
右上角分享
点击右上角分享
0
联系我们:info@booksci.cn Book学术提供免费学术资源搜索服务,方便国内外学者检索中英文文献。致力于提供最便捷和优质的服务体验。 Copyright © 2023 布克学术 All rights reserved.
京ICP备2023020795号-1
ghs 京公网安备 11010802042870号
Book学术文献互助
Book学术文献互助群
群 号:604180095
Book学术官方微信