Direct percutaneous treatment of iatrogenic superior gluteal artery injury using angioseal aclosure device: a novel technique.

IF 1.5 Q3 CARDIAC & CARDIOVASCULAR SYSTEMS
Kheng Song Leow, Arash Jaberi, Robert Beecroft
{"title":"Direct percutaneous treatment of iatrogenic superior gluteal artery injury using angioseal aclosure device: a novel technique.","authors":"Kheng Song Leow, Arash Jaberi, Robert Beecroft","doi":"10.1186/s42155-025-00574-7","DOIUrl":null,"url":null,"abstract":"<p><strong>Background: </strong>Iatrogenic superior gluteal artery injury (SGA) following bone marrow biopsy is rare but potentially life-threatening. Due to the deep intrapelvic location of the vessel, conventional management with manual compression or surgical repair is challenging. Traditional management via endovascular coil embolization requires arterial access and vessel sacrifice. Case presentation We present a case of SGA injury resulting from a bone marrow biopsy in a patient with suspected T-cell lymphoma. The injury was successfully managed using a 6 french Angioseal closure device applied directly through the biopsy puncture site in the gluteal region, with the patient maintained in the lateral decubitus position. The approach achieved immediate hemostasis while preserving arterial patency.</p><p><strong>Conclusion: </strong>This represents the first reported use of an Angioseal device for direct percutaneous treatment of iatrogenic SGA injury. This technique offers an effective hemostasis and vessel preservation, expanding the interventional radiology's armamentarium.</p>","PeriodicalId":52351,"journal":{"name":"CVIR Endovascular","volume":"8 1","pages":"58"},"PeriodicalIF":1.5000,"publicationDate":"2025-07-08","publicationTypes":"Journal Article","fieldsOfStudy":null,"isOpenAccess":false,"openAccessPdf":"https://www.ncbi.nlm.nih.gov/pmc/articles/PMC12238683/pdf/","citationCount":"0","resultStr":null,"platform":"Semanticscholar","paperid":null,"PeriodicalName":"CVIR Endovascular","FirstCategoryId":"1085","ListUrlMain":"https://doi.org/10.1186/s42155-025-00574-7","RegionNum":0,"RegionCategory":null,"ArticlePicture":[],"TitleCN":null,"AbstractTextCN":null,"PMCID":null,"EPubDate":"","PubModel":"","JCR":"Q3","JCRName":"CARDIAC & CARDIOVASCULAR SYSTEMS","Score":null,"Total":0}
引用次数: 0

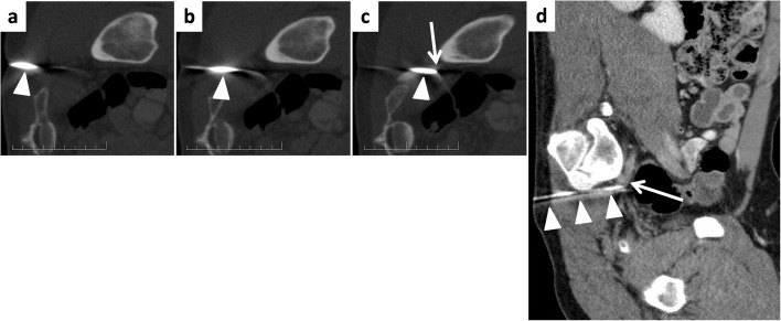
Abstract

Background: Iatrogenic superior gluteal artery injury (SGA) following bone marrow biopsy is rare but potentially life-threatening. Due to the deep intrapelvic location of the vessel, conventional management with manual compression or surgical repair is challenging. Traditional management via endovascular coil embolization requires arterial access and vessel sacrifice. Case presentation We present a case of SGA injury resulting from a bone marrow biopsy in a patient with suspected T-cell lymphoma. The injury was successfully managed using a 6 french Angioseal closure device applied directly through the biopsy puncture site in the gluteal region, with the patient maintained in the lateral decubitus position. The approach achieved immediate hemostasis while preserving arterial patency.

Conclusion: This represents the first reported use of an Angioseal device for direct percutaneous treatment of iatrogenic SGA injury. This technique offers an effective hemostasis and vessel preservation, expanding the interventional radiology's armamentarium.

Abstract Image

Abstract Image

Abstract Image

血管封闭装置直接经皮治疗医源性臀上动脉损伤:一种新技术。
背景:骨髓活检后医源性臀上动脉损伤(SGA)是罕见的,但可能危及生命。由于血管位于深盆腔内,传统的人工压迫或手术修复是具有挑战性的。传统的血管内线圈栓塞治疗需要动脉通路和血管牺牲。我们提出一个病例SGA损伤导致骨髓活检的病人怀疑t细胞淋巴瘤。使用6 french Angioseal封闭装置直接穿过臀区活检穿刺部位,使患者保持侧卧位,成功处理了损伤。该方法在保持动脉通畅的同时实现了即时止血。结论:这是首次报道使用血管密封装置直接经皮治疗医源性SGA损伤。这项技术提供了有效的止血和血管保存,扩大了介入放射学的设备。
本文章由计算机程序翻译,如有差异,请以英文原文为准。
求助全文
约1分钟内获得全文 求助全文
来源期刊
CVIR Endovascular
CVIR Endovascular Medicine-Radiology, Nuclear Medicine and Imaging
CiteScore
2.30
自引率
0.00%
发文量
59
×
引用
GB/T 7714-2015
复制
MLA
复制
APA
复制
导出至
BibTeX EndNote RefMan NoteFirst NoteExpress
×
提示
您的信息不完整,为了账户安全,请先补充。
现在去补充
×
提示
您因"违规操作"
具体请查看互助需知
我知道了
×
提示
确定
请完成安全验证×
copy
已复制链接
快去分享给好友吧!
我知道了
右上角分享
点击右上角分享
0
联系我们:info@booksci.cn Book学术提供免费学术资源搜索服务,方便国内外学者检索中英文文献。致力于提供最便捷和优质的服务体验。 Copyright © 2023 布克学术 All rights reserved.
京ICP备2023020795号-1
ghs 京公网安备 11010802042870号
Book学术文献互助
Book学术文献互助群
群 号:604180095
Book学术官方微信