Treatment outcomes of symptomatic internal iliac artery aneurysms.

Lily P Wu, Jessica Dei-Asamoa, Olutobi A Sanuade
{"title":"Treatment outcomes of symptomatic internal iliac artery aneurysms.","authors":"Lily P Wu, Jessica Dei-Asamoa, Olutobi A Sanuade","doi":"10.4314/gmj.v59i1.7","DOIUrl":null,"url":null,"abstract":"<p><p>Isolated internal iliac artery aneurysm (IIIAA) is a rare condition, with limited information available about its symptoms and surgical treatment outcomes, particularly in Ghana. This case report presents the 4-year surgical treatment outcomes of three patients (aged 42, 58, and 22 years) with IIIAA, each exhibiting different clinical presentations. All patients experienced pelvic pain and difficulty walking but had uneventful post-operative recoveries. They made significant progress with physiotherapy and were able to mobilise with a Zimmer frame before discharge. Currently, all three patients are mobilising unaided, and post-operative Computed Tomography (CT) scans show no complications. This report highlights the importance of early diagnosis to minimise complications and improve the prognosis for IIIAA, which often presents asymptomatically and can manifest with a wide range of clinical findings. The study underscores the effectiveness of open surgical repair in achieving positive outcomes for IIIAA patients in Ghana.</p><p><strong>Funding: </strong></p>","PeriodicalId":94319,"journal":{"name":"Ghana medical journal","volume":"59 1","pages":"37-42"},"PeriodicalIF":0.0000,"publicationDate":"2025-03-01","publicationTypes":"Journal Article","fieldsOfStudy":null,"isOpenAccess":false,"openAccessPdf":"https://www.ncbi.nlm.nih.gov/pmc/articles/PMC12224128/pdf/","citationCount":"0","resultStr":null,"platform":"Semanticscholar","paperid":null,"PeriodicalName":"Ghana medical journal","FirstCategoryId":"1085","ListUrlMain":"https://doi.org/10.4314/gmj.v59i1.7","RegionNum":0,"RegionCategory":null,"ArticlePicture":[],"TitleCN":null,"AbstractTextCN":null,"PMCID":null,"EPubDate":"","PubModel":"","JCR":"","JCRName":"","Score":null,"Total":0}
引用次数: 0

Abstract

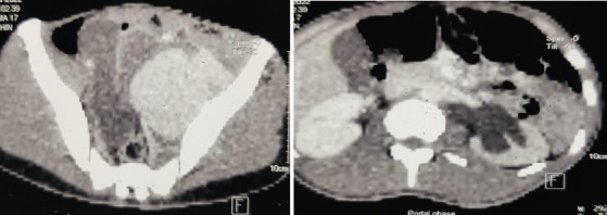
Isolated internal iliac artery aneurysm (IIIAA) is a rare condition, with limited information available about its symptoms and surgical treatment outcomes, particularly in Ghana. This case report presents the 4-year surgical treatment outcomes of three patients (aged 42, 58, and 22 years) with IIIAA, each exhibiting different clinical presentations. All patients experienced pelvic pain and difficulty walking but had uneventful post-operative recoveries. They made significant progress with physiotherapy and were able to mobilise with a Zimmer frame before discharge. Currently, all three patients are mobilising unaided, and post-operative Computed Tomography (CT) scans show no complications. This report highlights the importance of early diagnosis to minimise complications and improve the prognosis for IIIAA, which often presents asymptomatically and can manifest with a wide range of clinical findings. The study underscores the effectiveness of open surgical repair in achieving positive outcomes for IIIAA patients in Ghana.

Funding:

Abstract Image

Abstract Image

Abstract Image

症状性髂内动脉瘤的治疗结果。
孤立性髂内动脉动脉瘤(IIIAA)是一种罕见的疾病,有关其症状和手术治疗结果的信息有限,特别是在加纳。本病例报告报告了3例IIIAA患者(年龄分别为42岁、58岁和22岁)4年的手术治疗结果,每位患者均表现出不同的临床表现。所有患者均经历盆腔疼痛和行走困难,但术后恢复顺利。他们在物理治疗方面取得了重大进展,出院前能够使用齐默框架活动。目前,所有三名患者都可以在没有帮助的情况下活动,术后计算机断层扫描(CT)显示没有并发症。该报告强调早期诊断对于减少并发症和改善IIIAA预后的重要性,IIIAA通常表现为无症状,并且可以表现为广泛的临床表现。该研究强调了开放式手术修复在加纳IIIAA患者中取得积极结果的有效性。资助:
本文章由计算机程序翻译,如有差异,请以英文原文为准。
求助全文
约1分钟内获得全文 求助全文
来源期刊
CiteScore
1.10
自引率
0.00%
发文量
0
×
引用
GB/T 7714-2015
复制
MLA
复制
APA
复制
导出至
BibTeX EndNote RefMan NoteFirst NoteExpress
×
提示
您的信息不完整,为了账户安全,请先补充。
现在去补充
×
提示
您因"违规操作"
具体请查看互助需知
我知道了
×
提示
确定
请完成安全验证×
copy
已复制链接
快去分享给好友吧!
我知道了
右上角分享
点击右上角分享
0
联系我们:info@booksci.cn Book学术提供免费学术资源搜索服务,方便国内外学者检索中英文文献。致力于提供最便捷和优质的服务体验。 Copyright © 2023 布克学术 All rights reserved.
京ICP备2023020795号-1
ghs 京公网安备 11010802042870号
Book学术文献互助
Book学术文献互助群
群 号:604180095
Book学术官方微信